Autori: Dott. Leonardo Palazzo, Dott.ssa Cristina Rossi, Dott. Fulvio Floridi, Dott.ssa Nicoletta Sansone, Dott. Salvatore Belcastro.
Il limitato spessore osseo in senso verticale dei settori mascellari posteriori dovuto ai danni causati dalla malattia parodontale e alla pneumatizzazione del seno mascellare rende particolarmente difficoltoso l’uso di protesi a supporto implantare. Partendo da una corretta diagnosi l’elevazione laterale del seno mascellare può essere considerato, attualmente, un intervento di routine e predicibile nella ricostruzione preimplantare del mascellare atrofico superiore.
Il settore posteriore superiore atrofico, però, può essere gestito anche attraverso un approccio conservativo che prevede l’intervento di mini rialzo del seno mascellare (Little Sinus Lifting) e l’impiego di impianti inclinati inseriti nella regione della tuberosità o posizionati nel sito post-estrattivo dei molari al fine di utilizzare al massimo l’osso disponibile. Il Little Sinus Lifting o “accesso crestale” prevede il sollevamento a cielo coperto della membrana endosinusale attraverso l’alveolo chirurgico preparato per il posizionamento dell’impianto. Tale tecnica non può essere considerata un’alternativa al grande rialzo in quanto ha delle indicazioni diverse. Essa è una procedura chirurgica semplice, di scarsa invasività e scarsa morbilità post-operatoria. Nella nostra pratica clinica eseguiamo il mini rialzo in presenza di una cresta residua con altezza minima di 5 mm e non utilizziamo materiale riempitivo.
La tecnica chirurgica del Little Sinus Lifting senza riempitivi può essere descritta come segue: si esegue l’incisione crestale e il sollevamento di un lembo mucoperiosteo e si prepara il sito implantare fino in corrispondenza del pavimento del seno. A questa profondità si dovrà arrivare non solo con la fresa pilota, ma con tutte le frese o gli osteotomi concavi necessari per il collocamento dell’impianto scelto. Si procederà con l’osteotomo convesso che viene inserito all’interno dell’alveolo e picchiettato con un martelletto fino a 2-4 mm al di là del sito implantare precedentemente preparato. Se si è stati accorti, il pavimento del seno e con esso la membrana intatta, si solleverà tramite una frattura a legno verde. Si toglie, quindi, la sonda, si esegue la manovra diagnostica del “Valsalva” per il controllo dell’integrità della membrana e si mette l’impianto. Dai 2 a 4 mm di nuovo osso si formeranno intorno alla parte apicale dell’impianto.
L’approccio conservativo, qui descritto, si avvale anche di impianti inclinati nella regione della tuberosità o di impianti post-estrattivi immediati negli alveoli dei molari persi per problemi parodontali o carie destruente. La preparazione del sito chirurgico avviene attraverso l’uso di osteotomi concavi e convessi al fine di compattare e migliorare la qualità dell’osso.
Caso clinico 1
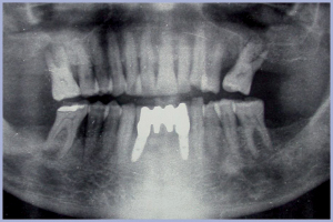
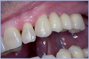
Paziente di anni 50 con edentulia parziale del settore postero-superiore di destra. L’OPT e il Dentascan da noi richiesti evidenziavano grave atrofia verticale. Il piano di trattamento ha previsto l’inserimento di due impianti in zona 16 (mini rialzo) e in zona distale al 17 con osteotomi concavi e convessi. La paziente è stata riabilitata con protesi fissa a supporto implantare (figg.1-12).
- Figg. 1, 2, 3 – OPT e Dentascan pre-operatoria che evidenzia grave atrofia verticale del settore posteriore superiore di destra
- Fig. 2
- Fig. 3
- Fig. 4 – Rx post-operatoria: da evidenziare l’assenza di stabilità primaria dell’impianto in zona 1.6
- Fig. 5 – Rx di controllo a 4 mesi: si evidenzia neoformazione ossea intorno all’impianto in zona 1.6
- Fig. 6 – Impronte
- Fig. 7 – Monconi preparati in laboratorio
- Fig. 8 – Armatura metallica
- Fig. 9 – Manufatto protesico definitivo
- Figg. 10, 11 – Consegna
- Fig. 11
- Fig. 12 – Rx a 48 mesi dal carico
Caso clinico 2
Paziente di anni 65. L’OPT evidenziava una grave parodontite degli elementi posteriori di sinistra. Abbiamo estratto gli elementi dentali compromessi facendo attenzione a risparmiare quanto più possibile i tessuti molli e l’osso alveolare residuo. Dopo adeguata toilette chirurgica degli alveoli e preparazione conservativa dei siti implantari con l’uso di osteotomi concavi e convessi abbiamo inserito un impianto in zona 2.5 e due impianti rispettivamente nella radice palatina e nella radice mesio-vestibolare del 2.7. Il paziente è stato riabilitato con protesi fissa a supporto implantare (figg.13-23).
- Fig. 13 – OPT pre-operatoria che evidenzia grave parodontite degli elementi 2.5 e 2.7
- Fig. 14 – Controllo radiografico a 4 mesi dall’intervento
- Fig. 15 – Impronta: transfer con analoghi inseriti
- Figg. 16,17 – Monconi preparati in laboratorio e armatura metallica
- Fig. 18 – Visione intraorale dei monconi preparati in laboratorio
- Fig. 19 – Visione intraorale dell’armatura metallica
- Fig. 20 – Manufatto protesico definitivo
- Figg. 21, 22 – Visione intraorale del manufatto protesico definitivo
- Fig. 22
- Fig. 23 – Follow up a 48 mesi
Caso clinico 3
Paziente di anni 60. L’OPT evidenziava una grave parodontite del 1.6 e del 2.6. Sono stati inseriti quattro impianti rispettivamente in zona 16 ed in zona distale all’1.7 con estrema inclinazione e in posizione 2.5 e 2.7. Gli alveoli sono stati preparati con gli osteotomi concavi e convessi. Il paziente è stato riabilitato con protesi fissa a supporto implantare (figg. 24-34).
- Fig. 24 – OPT pre-operatoria che evidenzia grave compromissione parodontale degli elementi 1.6 e 2.6
- Fig. 25 – Visione intraorale degli impianti posizionati in zona 1.6 e in zona distale al 1.7
- Fig. 26 – Rx di controllo a 4 mesi dall’intervento
- Fig. 27 – Visione intraorale dei transfer
- Fig. 28 – Impronta: il transfer distale è rimasto bloccato nel materiale d’impronta nonostante l’eccessiva inclinazione dell’impianto in zona distale all’1.7
- Fig. 29 – Monconi preparati in laboratorio
- Fig. 30 – Visione intraorale dei monconi preparati in laboratorio
- Fig. 31 – Visione intraorale del manufatto protesico definitivo
- Figg. 32, 33 – Settori sup. DX e SX: follow up radiografico a 3 anni dal carico
- Fig. 33
- Fig. 34 – Follow up radiologico a 5 anni dal carico. Notare l’eccellente mantenimento osseo marginale a livello degli impianti
Caso clinico 4
Paziente di anni 50 con grave compromissione parodontale degli elementi 2.3, 2.6 e 2.7. Sono stati posizionati quattro impianti rispettivamente in zona 2.3, 2.4, 2.5 e nell’alveolo post-estrattivo della radice palatina del 2.6. Il paziente è stato riabilitato con una protesi fissa a supporto implantare a quattro mesi dall’intervento di chirurgia implantare (figg. 35-48).
- Fig. 35 – Ortopantomografia
- Fig. 36 – Dentascan: sezione coronale dell’elemento 2.6. Si noti la scarsa disponibilità ossea in senso verticale
- Fig. 37 – Monconi preparati in laboratorio
- Fig. 38 – Check estetico-funzionale
- Fig. 39 – Visione intraorale dei monconi preparati in laboratorio
- Fig. 40 – Visione intraorale del check estetico-funzionale
- Figg. 41, 42 – Visione intraorale dell’armatura metallica
- Fig. 42
- Fig. 43 – Manufatto protesico definitivo
- Figg. 44, 45 – Consegna
- Fig. 45
- Fig. 46 – Controllo a 3 mesi dal carico
- Fig. 47 – Controllo a 1 anno dal carico
- Fig. 48 – Follow up a 4 anni
Conclusioni
Le alternative terapeutiche descritte permettono di evitare interventi di grande rialzo del seno mascellare, senza rinunciare a un’elevata percentuale di successo. Queste alternative riducono il rischio di insorgenza di complicanze post-operatorie, consentono di ridurre i tempi di attesa e, in caso di fallimento, non compromettono la possibilità di attuare in un secondo tempo altre terapie riabilitative. Nel raggiungimento di questi eccellenti risultati in termini di mantenimento osseo marginale nel tempo, gioca un ruolo importante la connessione protesica del sistema Exacone® (cono Morse puro e un esagono di riposizionamento) che consente un’ottima stabilità dell’unità moncone-impianto, una drastica riduzione del microgap e dei micromovimenti.
Realizzazioni protesiche: Laboratorio Wilocs S.r.l. – Roma















































