Autore: Dott. Antonio Monicelli.
Paziente femminile non fumatrice di anni 65. La paziente si presenta in data 14/03/06 con formula dentaria superiore 15-14-13-12-11-21-22-23 e inferiore 35-34-33-32-31-42-43-44-46-47, malattia parodontale cronica dell’adulto con presenza di tartaro, sanguinamento e sondaggio parodontale su tutti gli elementi (figg. 1, 2); la paziente rifiuta a priori la protesi parziale rimovibile per motivi funzionali.
Si pianifica il piano di trattamento iniziale che sarà in un primo momento chirurgico parodontale: si procede all’estrazione di 15,14,31,34 che per parodontopatia non hanno più supporto osseo e mobilità di grado 3 e si eseguono interventi a lembo sugli elementi residui. Nel frattempo il 35 è stato perduto spontaneamente. Il 32 e il 42, dopo scaling e root planing risultano di mobilità grado 2, vengono quindi sottoposti a cura canalare e ortodonticamente fatti migrare verso i canini viciniori e trattati con odontoplastica incisale per ovviare all’estrusione susseguente alla malattia parodontale (figg. 3-5).
Si procede quindi alla fase conservativo-protesica: si esegue otturazione 47 occlusale in amalgama data la non visibilità dell’elemento e si sostituisce la vecchia amalgama su 46 con intarsio M.O.D. in Adoro; si decide a questo punto di ripristinare il settore incisale inferiore con uno splintaggio-ponte Maryland su 44-43-42-41-31-32-33 in modo da bloccare elementi parodontopatici e ripristinare 2 incisivi centrali inferiori mentre alla visita la paziente ne aveva già perso uno (figg. 6-10). La decisione di non ricorrere all’implantologia in questa sede è stata motivata dalla duplice esigenza di splintare gli elementi residui e ripristinare i mancanti, cosa che era possibile ottenere con un solo intervento protesico classico.
Nel tempo impiegato dal trattamento protesico abbiamo avuto la guarigione ossea dei siti estrattivi e viene quindi pianificato il trattamento implantare con impianti Exacone® Leone. Si inseriscono quindi 2 impianti: uno in sede 14 (ø 4.8 L 12 mm) e l’altro in sede 15 (ø 4,8 L 10 mm) con tecnica flapless dato che la base ossea si presenta con profilo piatto e si inseriscono subito tappi di guarigione standard (figg. 11, 12).
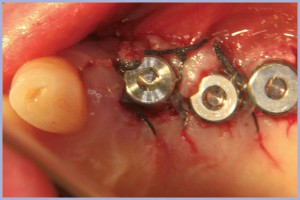
In una seduta successiva si inseriscono 3 impianti: in sede 24 (ø 4.1 L 12 mm), 25 (ø 4,1 L 10 mm) e 26 (ø 4,8 L 8 mm) aprendo un lembo, apponendo osso sintetico in zona vestibolare per la scarsità di osso e inserendo comunque tappi di guarigione standard vista la buona stabilità primaria (figg. 13-15).
Si passa quindi all’arcata inferiore dove vengono posti 3 impianti in sede 34 (ø 4.1 L 12 mm), 35 (ø 4,1 L 10 mm) e 36 (ø 4,1 L 8 mm) aprendo un lembo con incisione paramarginale linguale per ottenere a guarigione avvenuta il dislocamento della gengiva aderente vestibolarmente agli impianti appena messi grazie ai tappi di guarigione standard, spianando la corticale ossea per ovviare al suo profilo troppo acuto non congruo con la testa piatta dell’impianto (figg. 16,17). A distanza di 9 mesi dall’inserimento degli ultimi impianti si procede con la presa d’impronta, il confezionamento (figg. 18-26) e la consegna della protesi definitiva (figg. 27-32).
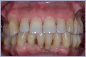
Il controllo clinico e radiografico a due anni e mezzo dall’applicazione della protesi definitiva evidenzia un buon mantenimento del lavoro implantare e protesico (figg. 33-38), la paziente, molto migliorata nella compliance ai dettami della salute orale dal momento della prima visita in poi, si mantiene collaborante nell’igiene domiciliare e nei controlli di igiene semestrale.
- Fig. 1
- Fig. 2
- Fig. 3
- Fig. 4
- Fig. 5
- Fig. 6
- Fig. 7
- Fig. 8
- Figg. 9
- Fig. 10
- Fig. 11
- Fig. 12
- Fig. 13
- Fig. 14
- Fig. 15
- Fig. 16
- Fig. 17
- Fig. 18
- Fig. 19
- Fig. 20
- Fig. 21
- Fig. 22
- Fig. 23
- Fig. 24
- Fig. 25
- Fig. 26
- Fig. 27
- Fig. 28
- Fig. 29
- Fig. 30
- Fig. 31
- Fig. 32
- Fig. 33
- Fig. 34
- Fig. 35
- Fig. 36
- Fig. 37
- Fig. 38
Realizzazioni protesiche:Â Laboratorio odontotecnico Azimut Dentale – Pisa






































