Autore: Dott. Riccardo Della Ciana.
L’impianto Exacone® con la sua connessione conica senza vite, garantisce non solo la chiusura del gap tra moncone e impianto, ma permette anche molte tecniche alternative a quelle tradizionali che aiutano a ottenere ottimi risultati estetici in grado di mantenersi nel tempo. Nel primo caso presentato qui di seguito, data la giovane età del paziente, era fondamentale usare un sistema che garantisse il mantenimento dei tessuti periimplantari negli anni e inoltre è stata adottata la tecnica di cementazione extra-orale. Il secondo e il terzo caso sono impianti post-estrattivi immediati, sui quali abbiamo subito posizionato dei tappi di guarigione. Questi hanno guidato la fase di maturazione dei tessuti molli periimplantari ottimizzando il risultato estetico del restauro finale.
Caso 1
In questo giovane adulto, giunto alla nostra osservazione verso la fine della crescita puberale, si osserva l’agenesia di numerosi elementi dentari permanenti (fig. 1). In particolare: 12, 22, 25, 17, 18, 27, 35, 45, 47, 48, 37, 38. Si osservava inoltre la presenza in arcata degli elementi decidui relativi alle agenesie (52, 62, 65, 75, 85), in un quadro occlusale e scheletrico di prima classe, normodivergente con over-bite e diastemi multipli (figg. 2-4). In accordo con i genitori abbiamo intrapreso il seguente programma di riabilitazione:
1) Iniziare subito con: un trattamento ortodontico multibrackets al fine di correggere il morso profondo, ottimizzare gli spazi residui e correggere alcune rotazioni;
2) A breve termine (alla fine della crescita scheletrica): una riabilitazione implantoprotesica per gli elementi 12, 22, 35, 45;
3) A medio termine (nella terza decade di vita): la riabilitazione degli elementi 25, 17, 37 e 47, peraltro importante per il quadro estetico e funzionale.
Durante la terapia ortodontica gli elementi decidui 52 e 62 (incisivi laterali decidui) sono stati modificati con “additional” in composito per renderli simili, nel colore e nella forma ai denti definitivi. Mentre gli elementi decidui 75 e 85 sono stati ridotti nella dimensione mesiodistale (sliding), fino a raggiungere la stessa dimensione di 34 e 44. Questo ha consentito di controllare meglio gli spazi. Al termine del trattamento ortodontico (fase 1) abbiamo atteso la fine della crescita scheletrica, valutata con il metodo della maturazione delle vertebre cervicali (MVC), per poi passare alla fase implantoprotesica (fig. 5). Gli impianti sono stati posizionati come da progetto iniziale nelle posizioni 12, 22, 35 e 45, realizzando contestualmente le estrazioni dei relativi decidui (post-estrattivi immediati). Abbiamo utilizzato impianti Exacone® Leone di diametro 3,3 e lunghezza 14 per le posizioni 12 e 22 e per le posizioni 35 e 45 di diametro 4,1 e lunghezza 10. Per il posizionamento degli impianti ho utilizzato un lembo a spessore parziale, con incisioni paramarginali ai denti adiacenti e senza rilasci verticali. La preparazione dei siti implantari è stata fatta con Sonosurgery® (Komet) e osteotomi Leone. Nella fase di osteointegrazione, l’estetica anteriore è stata mantenuta con denti in composito splintati. La riabilitazione è stata poi completata con corone in zirconio-ceramica, cementate in extra-orale e con un restauro in composito sul margine mesiale del 21 (figg. 6-14).
La connessione conica pura degli impianti Exacone® dava la migliore garanzia, sia per la chiusura del gap impianto-moncone attraverso una connessione conica, che per l’utilizzo di un moncone in titanio pieno. Infatti, qualora il nostro paziente avesse avuto una crescita scheletrica residua nella fase post implantare, il margine di connessione impianto-moncone sarebbe potuto migrare apicalmente andandosi a posizionare ben al di sotto della cresta marginale. Ora, una connessione che non avesse garantito un perfetto sigillo del gap impianto-moncone, avrebbe certamente innescato un processo di flogosi (per la penetrazione batterica nel lume implantare attraverso un moncone cavo), con il conseguente riassorbimento osseo tissutale in una zona di fondamentale importanza estetica.
- Fig. 1 – OPT iniziale: si notano le agenesie multiple
- Figg. 2, 3, 4 – Situazione iniziale: si notano i diastemi e il morso profondo
- Fig. 3
- Fig. 4
- Fig. 5 – Fase finale della terapia ortodontica. Gli impianti in posizione 35 e 45 sono già stati posizionati
- Figg. 6, 7 – Prova dei monconi in titanio
- Fig. 7
- Fig. 8 – Prova delle cappette in zirconia
- Figg. 9,10, 11 – Cementazione extra-orale e posizionamento delle corone definitive
- Fig. 10
- Fig. 11
- Figg. 12, 13 – Risultato finale: buona integrazione estetica e funzionale della corona. Si nota anche il restauro in composito sul 21
- Fig. 13
- Fig. 14 – OPT finale: si nota il perfetto stato del margine osseo periimplantare
Caso 2
Questo giovane paziente è giunto alla nostra osservazione per la riabilitazione protesica del 22 di cui residuava una radice necrotica, con lesione periapicale e mobilità (fig. 15). Si decideva per una riabilitazione implantare che avrebbe consentito una prognosi di gran lunga maggiore rispetto a quella offerta dalla canonica endodonzia, ricostruzione e corona. Si è quindi proceduto ad applicare un impianto post-estrattivo immediato. Effettuato un lembo a spessore parziale, con incisioni paramarginali ai denti adiacenti e senza rilasc
- Fig. 15 – OPT iniziale
- Fig. 16 – OPT post intervento
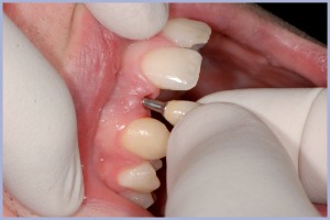
- Fig. 17 – Inserimento permanente del moncone in titanio
- Fig. 18 – Prova della cappetta in zirconia e presa del colore
- Fig. 19 – Provvisorio in resina sul moncone definitivo
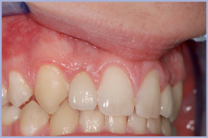
- Figg. 20, 21, 22, 23 – Corona definitiva in zirconia ceramica, ben integrata a livello estetico e funzionale
- Fig. 21
- Fig. 22
- Fig. 23
- Fig. 24 – Controllo Rx finale
i verticali, dopo un’attenta estrazione del residuo radicolare, volta a salvaguardare l’integrità della corticale vestibolare e un courettage dell’alveolo post-estrattivo, si è preparato il sito implantare con frese ed osteotomi Leone. Abbiamo, quindi, posizionato un impianto Exacone® di diametro 4,1 lunghezza 14 mm e, di seguito, un tappo di guarigione da 5 mm di tragitto transmucoso (fig. 16). Dopo un periodo di osteointegrazione di tre mesi, il caso è stato completato con una corona in zirconia-ceramica (figg. 17-24).
Caso 3
Questa paziente è giunta alla nostra osservazione per la riabilitazione protesica del 45. Il dente, precedentemente devitalizzato e ricostruito, era gravemente compromesso da una carie secondaria della corona e da una frattura del terzo prossimale della radice nel cui canale beava una vite endocanalare (fig. 25). La situazione imponeva, quindi, una riabilitazione implantare che avesse consentito un’ottima prognosi a lungo termine. Si è quindi proceduto ad applicare un impianto post-estrattivo immediato. Effettuato un lembo a spessore parziale, con incisioni paramarginali ai denti adiacenti e senza rilasci verticali, dopo un’attenta estrazione del residuo radicolare ed un courettage dell’alveolo post-estrattivo, si è preparato il sito implantare con frese Leone e Sonosurgery® (Komet). Abbiamo, quindi, posizionato un impianto di diametro 4,8, lunghezza 12 mm e, di seguito, un tappo di guarigione da 5 mm di tragitto transmucoso (fig. 26). Dopo un periodo di osteointegrazione di tre mesi, il caso è stato completato con una corona in zirconia-ceramica (figg. 27-32).
- Fig. 25 – OPT iniziale
- Fig. 26 – OPT in fase chirurgica, prima dell’applicazione del tappo di guarigione
- Fig. 27 – Inserimento permanente del moncone in titanio
- Fig. 28 – Si può apprezzare il perfetto stato dei tessuti periimplantari
- Figg. 29, 30, 31 – Corona definitiva in zirconia ceramica, ben integrata a livello estetico e funzionale
- Fig. 30
- Fig. 31
- Fig. 32 – Rx finale, notare la completa assenza di “cono di riassorbimento”
Realizzazioni protesiche: Odontotecnico Sig. Roberto Tumbarello – Ancona
































