Autori: Dott. Salvatore Belcastro, Dott. Mario Guerra.
Introduzione
Le agenesie dentali rappresentano una tipologia di edentulia in cui la riabilitazione implanto-protesica ha radicalmente cambiato l’approccio terapeutico, rispetto a quelli che erano gli orientamenti dell’epoca pre-implantologica.
Rivestono un ruolo primario nell’ambito delle anomalie dentarie, in relazione alla loro incidenza, significativamente più alta rispetto ad altre forme di anomalie quali quelle di forma, di struttura o di volume, soprattutto in quanto interessano spesso regioni ad alta valenza estetica quali quella degli incisivi laterali superiori.
Da un punto di vista teorico la gestione delle agenesie dentali, e in particolare di quella degli incisivi laterali superiori, può essere effettuata con la chiusura degli spazi o con la sostituzione protesica degli elementi dentali mancanti. I motivi che spingono verso una delle due decisioni terapeutiche sono molteplici, in particolare di carattere ortodontico, e vanno dalla classe dentale e scheletrica, alla presenza o meno di affollamenti o diastemi, al valore di overbite ed overjet presente, ecc. La terapia implanto-protesica, come già accennato all’inizio di questa discussione, ha radicalmente cambiato l’approccio diagnostico aumentando, in modo considerevole, la quota di pazienti destinati alla sostituzione protesica degli elementi dentali agenesici a dispetto di quella destinata alla chiusura degli spazi, ciò per due principali ordini di motivi.
Da un lato gli approcci ortodontici moderni tendono sempre meno al ricorso delle estrazioni dentali anche nei casi di affollamenti importanti, in virtù di meccaniche (low fricton) in grado di gestire agevolmente tali situazioni; a questo si associa la moderna tendenza estetica che preferisce “bocche piene di denti” piuttosto che arcate contratte derivanti da una gestione estrattiva. In questa ottica anche la gestione delle agenesie viene sempre più spesso condotta tramite sostituzione degli elementi mancanti piuttosto che con la chiusura degli spazi.
L’altro importante motivo, che spinge sempre più i clinici verso una soluzione sostitutiva delle agenesie dentali, è rappresentato dal fatto che la terapia implanto-protesica, adeguatamente condotta, annulla gli svantaggi legati, al contrario, alle riabilitazioni protesiche convenzionali. Le alternative terapeutiche erano in passato rappresentate da tre tipi di riabilitazioni: la protesi fissa convenzionale, i ponti adesivi tipo Maryland Bridge e la protesi rimovibile.
La protesi fissa convenzionale, classicamente estesa da canino a canino, comportava una inaccettabile mutilazione degli elementi pilastro (canini ed incisivi centrali) che da elementi dentali in genere perfettamente sani venivano trasformati in monconi, spesso sottoposti anche a terapia canalare, con possibili conseguenze negative per tutta la vita del paziente.
I ponti adesivi tipo Maryland Bridge, a causa delle frequenti decementazioni, rappresentano in realtà delle soluzioni protesiche temporanee o semi-temporanee.
Allo stesso modo anche le riabilitazioni protesiche di tipo rimovibile possono essere considerate solo come riabilitazioni provvisorie; nessun ragazzo o ragazza, affetto da agenesia degli incisivi laterali superiori, è, al giorno d’oggi, disposto a portare a vita una protesi rimovibile.
Caso clinico esemplificativo
Nel presente caso clinico si tratta della sostituzione implanto-protesica di due incisivi laterali superiori agenesici in una Paziente di sesso femminile. L’agenesia degli incisivi laterali era associata a mesio-dislocazione dei canini al posto degli incisivi laterali e dunque l’obiettivo terapeutico era rappresentato dalla sostituzione dei denti mancanti in zona canina e dalla trasformazione protesica dei canini permanenti presenti in incisivi laterali.
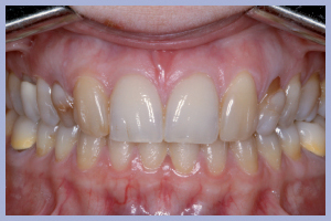
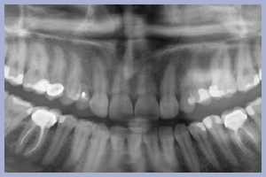
L’esame clinico iniziale (Figg. 1, 2) metteva in evidenza una buona situazione dento-parodontale generale; l’igiene orale e la collaborazione da parte della paziente, fortemente motivata alla soluzione del problema, erano ottime. L’esame radiologico ortopanoramico iniziale (Fig. 3) mostrava una buona quantità di osso apicalmente alle radici degli elementi decidui che apparivano sottili e parzialmente riassorbite. Il progetto terapeutico prevedeva un posizionamento implantare post-estrattivo immediato associato a carico immediato non funzionale tramite l’utilizzo di monconi temporanei e corone in resina precedentemente allestite, da ribasare in bocca dopo la preparazione dei monconi.
L’intervento procedeva attraverso i seguenti momenti:
– Estrazione minimamente traumatica degli elementi dentali (Figg. 4-6);
– Sondaggio alveolare e revisione chirurgica (Figg. 7-8);
– Preparazione del sito implantare con tecnica flapless (Figg. 9-10);
– Inserimento implantare (Figg. 11-14);
– Posizionamento e preparazione dei monconi temporanei (Figg. 15-20);
– Adattamento e consegna delle corone provvisorie (Figg. 15-20).
Dopo l’estrazione, eseguita con i consueti passaggi di scollamento-lussazione-estrazione, la revisione chirurgica tramite cucchiaio alveolare consentiva la completa rimozione dei frustoli di tessuto di granulazione e di legamento parodontale residuo. La preparazione del sito implantare veniva effettuata con approccio flapless, ovvero senza l’esecuzione del lembo.
Una volta determinato, sul versante palatale dell’alveolo, il giusto asse di preparazione, si lavorava fino alla profondità programmata; la sequenza di frese comunemente impiegate per il diametro implantare da posizionare completava la preparazione dell’alveolo chirurgico. Non era richiesto l’uso della fresa svasatrice dal momento che a livello cervicale l’alveolo presentava un diametro maggiore di quello implantare.
Il posizionamento di due impianti Max Stability da 3,75 mm di diametro e 12 mm di lunghezza ha consentito l’ottenimento di una elevata stabilità primaria, essenziale per portare a termine il carico immediato programmato. Nel caso dell’impianto Max Stability, la forma tronco-conica è associata alla presenza di spire molto prominenti che garantiscono un’elevata stabilizzazione anche in osso di qualità scadente.
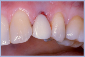
Il posizionamento implantare è stato seguito dal posizionamento e dalla preparazione intra-orale dei monconi temporanei e dalla successiva consegna, previa ribasatura, delle corone provvisorie. Durante la fase di attesa dell’osteointegrazione degli impianti si procedeva alla preparazione protesica dei canini (nella posizione dei laterali) per ottenere, tramite ricopertura protesica, la forma degli incisivi laterali.
A distanza di 3 mesi dal posizionamento implantare si procedeva alla rimozione dei manufatti provvisori (monconi temporanei con relativa corona e corone provvisorie a livello degli incisivi laterali) ed alla rilevazione di una impronta degli impianti e dei monconi naturali (Figg. 21-22).
I successivi passaggi portavano all’allestimento dei manufatti definitivi in zirconia-ceramica. In particolare venivano allestite tramite procedura CAD-CAM delle cappette in zirconia da incollare sui monconi per ottenerne una individualizzazione estetica; sempre con procedura CAD-CAM si ottenevano le strutture in zirconia successivamente ceramizzate per ottenere i manufatti definitivi (Figg. 23-25).
La consegna dei manufatti a supporto implantare veniva effettuata previa cementazione extra-orale degli stessi (Figg. 26-28).
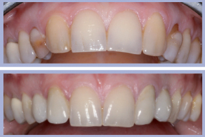
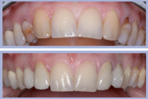
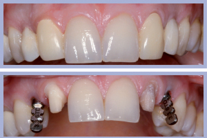
La valutazione clinica al momento della consegna dei manufatti e clinico-radiologica a 3 mesi dalla consegna manifestava una completa integrazione tissutale con eccellente recupero estetico e funzionale (Figg. 29-30).
Approfondimento tematico: la cementazione extra-orale
Si forniscono di seguito alcune indicazioni a proposito di questa procedura che, se correttamente utilizzata, può generare importanti vantaggi clinici.
Nel caso di elementi singoli, qualora dopo le opportune prove si verifichi che l’asse di inserimento della corona sia corrispondente a quello di inserimento del moncone, si può procedere alla cementazione extra-orale della corona stessa.
In pratica si procede nel modo seguente.
Per prima cosa si inserisce il moncone; in seguito si prova la corona e si fanno le opportune valutazioni estetiche e funzionali (occlusione, punti di contatto ecc.).
Infine, se l’unità è ritenuta pronta per la consegna, si rimuove sia la corona che il moncone.
Si applica (ancora senza cementarla) la corona al moncone e se l’unità moncone-corona si inserisce (e si stabilizza con una semplice pressione) all’interno dell’impianto, è possibile procedere alla cementazione extra-orale.
I vantaggi sono rappresentati da una ottima detersione del cemento evitando dunque quelle complicanze di carattere infiammatorio scatenate dal cemento stesso, in particolare quando i margini di chiusura delle corone protesiche siano ad un livello intra-sulculare profondo.
I limiti di tale approccio sono legati alle eventuali difficoltà riscontrabili nell’attivazione della connessione conometrica autobloccante. Il primo aspetto è legato all’applicazione della forza impulsiva sulla corona protesica invece che direttamente sul moncone. Oltre a quello di frattura della ceramica (mai sperimentato nel nostro gruppo di lavoro), il rischio maggiore consiste in un’attivazione non efficace della connessione a causa di una insufficiente entità della forza o di una sua errata direzione di applicazione. Tale rischio, che è ovviamente maggiore nei casi di eccessiva angolazione corona-impianto (in questi casi la cementazione extra-orale è sconsigliata), si traduce in un cedimento della connessione con distacco del moncone dall’impianto stesso. Un altro aspetto che può indurre delle difficoltà è legato ai punti di contatto con i denti adiacenti o ai tessuti molli, che, se non correttamente condizionati, oppure in caso di profilo di emergenza della corona inadeguato, possono impedire al moncone di ingaggiarsi del tutto nell’impianto, rendendo impossibile una corretta attivazione della connessione.
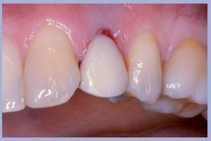
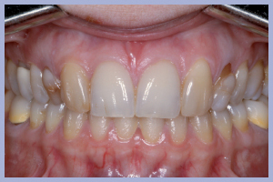
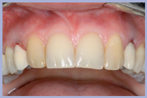
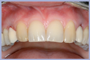
- Fig. 1 – Agenesia dei laterali superiori con mesio-dislocazione dei canini permanenti al posto degli incisivi laterali. Visione frontale
- Figg. 2a, b – Visioni laterali dei canini decidui
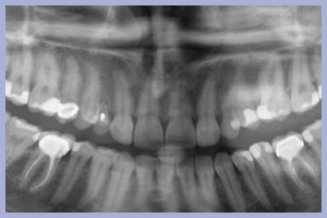
- Fig. 3 – Ortopantomografia iniziale
- Figg. 4a, b – Scollamento
- Figg. 5a, b – Estrazione dei canini da latte
- Figg. 6a, b – Estrazione dei canini da latte
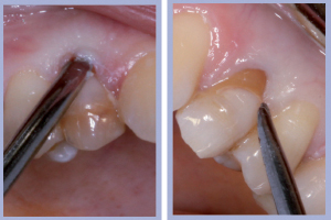
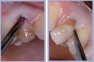
- Figg. 7a, b – Toilette chirurgica
- Figg. 8a, b – Mappatura alveolare tramite sonda parodontale
- Figg. 9a, b – Preparazione del sito di destra
- Figg. 10a, b – Preparazione del sito di sinistra
- Figg. 11a, b – Inserimento dell’impianto di destra. Max Stability da 3,75 x 12 mm
- Figg. 12a, b – Impianto di destra inserito
- Figg. 13a, b – Inserimento dell’impianto di sinistra. Max Stability da 3,75 x 12 mm
- Figg. 14a, b – Impianto di sinistra inserito
- Figg. 15a, b – Inserimento e preparazione del moncone temporaneo di destra
- Figg. 16a, b – Consegna della corona provvisoria in resina di destra
- Figg. 17a, b – Inserimento e preparazione del moncone temporaneo di sinistra
- Fig. 18 – Consegna della corona provvisoria in resina di sinistra
- Fig. 19 – Visione d’insieme al termine dell’intervento
- Figg. 20a, b, c – Controllo clinico e radiologico a 2 settimane dall’intervento
- Fig. 20b,c
- Figg. 21a, b – Situazione clinica al momento dell’impronta per i manufatti definitivi in zirconia-ceramica
- Figg. 22a, b – Particolari dei transfer da impronta e dei monconi preparati
- Figg. 23a, b – Monconi customizzati e cappette in zirconia pronti per la prova
- Figg. 24a, b – Particolari delle cappette e dei monconi customizzati
- Fig. 25 – Impronta di posizione delle cappette in zirconia
- Fig. 26 – Cementazione extra-orale dei manufatti
- Figg. 27a, b – Consegna dei manufatti
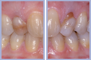
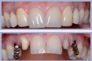
- Figg. 28a, b – Confronto tra inizio e fine trattamento
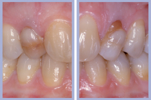
- Figg. 29a, b Manufatti di destra e radiografia di controllo. Si noti l’ottima integrazione tissutale
- Figg. 30a, b – Manufatti di sinistra e radiografia di controllo































