Autori: Dott. Francesco Linguanti, Dott. Luigi Ziaco, Dott. Federico Bellini.
Introduzione
Il trattamento implanto-protesico delle edentulie totali o comunque gravi, rappresenta una sfida importante della moderna implantologia.
È sempre più frequente la richiesta da parte dei pazienti di protesi più performanti in sostituzione delle vecchie protesi rimovibili tradizionali.
La giusta scelta del tipo di riabilitazione non può prescindere da un attento studio preliminare del singolo caso clinico al fine di ottenere il migliore posizionamento implantare in ragione della protesi correttamente programmata.
Caso clinico
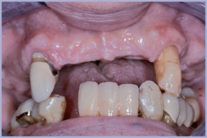
Paziente di sesso maschile, di anni 70, in apparente buona salute, portatore da diversi anni di una protesi parziale rimovibile, pervenuto alla nostra attenzione con la richiesta di una riabilitazione protesica di tipo fisso.
L’anamnesi, l’esame obiettivo, lo studio dei modelli e della ceratura diagnostica (Figg. 1-3), insieme all’analisi delle indagini radiografiche richieste (Figg. 4-7), permettono di programmare una riabilitazione protesica fissa di tutta l’arcata mascellare superiore tramite 12 corone in metallo-ceramica supportate da 8 impianti endossei.
L’inserimento degli impianti è guidato dalla dima chirurgica ricavata dalla ceratura diagnostica (Fig. 8).
In particolare si inseriscono 8 impianti Exacone® Leone, in due interventi distinti, nelle seguenti posizioni: 1.2 (3,3×14 mm), 1.4 (4,1×14 mm), 1.5 (4,1×12 mm), 1.6 (4,1×8 mm), 2.2 (3,3×12 mm), 2.4 (4,1×12 mm), 2.5 (4,1X12 mm), 2.6 (4,1×10 mm), procedendo con la tecnica bifasica al fine di permettere al paziente di utilizzare la vecchia protesi rimovibile (opportunamente ribasata) durante il periodo dell’osteointegrazione (Figg. 9-11).
Dopo 3 mesi dalla prima fase chirurgica, si provvede alla scopertura implantare e al posizionamento dei tappi di guarigione (Fig. 12).
In questa fase si sostituisce la vecchia protesi rimovibile con una protesi provvisoria fissa in resina cementata sui tappi di guarigione e sui monconi ricavati dalla limatura dei denti residui.
Dopo 2 settimane si rileva l’impronta utilizzando gli appositi transfer (Figg. 13-15).
Si decide di utilizzare i monconi MultiTech potendo così avvalersi della tecnologia CAD/CAM. In particolare, si eseguono la scansione e la progettazione telescopica dei monconi e della struttura metallica con Zenotec Scan S100 (Wieland), mentre il fresaggio delle cere necessarie per il confezionamento dei monconi e della struttura metallica si effettua con il fresatore AT1 (Wieland) (Figg. 16-18).
Si provano poi i monconi consegnati dal laboratorio e dopo averne accertata la congruenza si procede alla loro inconatura (Fig. 19).
Contestualmente si esegue l’estrazione dei denti residui al fine di permettere la prova della struttura protesica che sarà poi inglobata nell’impronta di posizione, utile al laboratorio per l’esecuzione della fase di ceramizzazione (Figg. 20, 21). Nella stessa seduta si applicano dei nuovi provvisori fissi in resina cementandoli questa volta ai monconi implantari (Fig. 22).
L’ultima fase del lavoro è la consegna del manufatto protesico definitivo (Figg. 23, 24).
Follow up radiologico a 9 mesi dalla consegna del manufatto protesico definitivo (Fig. 25).
- Figg. 1, 2 – Situazione clinica iniziale
- Fig. 2
- Fig. 3 – Modelli e ceratura diagnostica
- Fig. 4 – Radiografia OPT iniziale
- Figg. 5-7 – TC pre-operatoria
- Fig. 6
- Fig. 7
- Fig. 8 – Dima chirurgica ricavata dalla ceratura diagnostica
- Fig. 9 – Impianti Exacone® inseriti in sede 1.2, 1.4, 1.5 e 1.6 con tappi di chiusura
- Fig. 10 – Impianti Exacone® inseriti in sede 2.2, 2.4, 2.5 e 2.6 con tappi di chiusura
- Fig. 11 – Controllo radiografico post-operatorio
- Fig. 12 – Visione dei siti di sinistra: riapertura e posizionamento dei tappi di guarigione
- Fig. 13 – Visione dei siti di destra: tessuto gengivale guarito intorno ai tappi di guarigione
- Fig. 14 – Situazione clinica al momento dell’impronta
- Fig. 15 – Impronta con i transfer
- Fig. 16 – Progettazione CAD dei monconi personalizzati
- Fig. 17 – Monconi MultiTech personalizzati sul modello
- Fig. 18 – Struttura metallica realizzata con tecnologia CAD/CAM
- Fig. 19 – Inserzione definitiva dei monconi ed estrazione dei denti residui
- Fig. 20 – Prova della struttura metallica
- Fig. 21 – Struttura metallica inglobata nell’impronta di posizione
- Fig. 22 – Provvisori fissi in resina cementati sui monconi implantari
- Figg. 23, 24 – Consegna del manufatto protesico definitivo
- Fig. 24
- Fig. 25 – Ortopanoramica di controllo a 9 mesi dalla consegna del manufatto protesico definitivo
Conclusione
Qualsiasi trattamento implanto-protesico deve essere programmato alla luce di un rigoroso studio preliminare comprendente un’accurata anamnesi, l’esame obiettivo, lo studio dei modelli in gesso, della ceratura diagnostica e degli esami strumentali. Anche le richieste e le aspettative del paziente, correttamente informato e motivato, meritano la giusta considerazione al fine di poter eseguire riabilitazioni protesiche adeguate che soddisfino coloro che richiedono le nostre cure.
Realizzazioni protesiche:Â Laboratorio odontotecnico Stefano Pascoli – Roma

























