Autore: Dott. Massimo Natale.
La necessità di risolvere le problematiche del cavo orale nel più breve tempo possibile, trova riscontro nella sempre più pressante richiesta del paziente di accorciare tempi e disagi del trattamento odontoiatrico. Ma se questo concetto è genericamente applicabile alla maggior parte delle nostre discipline specialistiche, in implantologia soccombe ai tempi critici dell’osteointegrazione.
Anticipando eccessivamente i tempi della protesizzazione, infatti, il rischio della mancata osteointegrazione è reale, soprattutto nel periodo delicatissimo che va dalla terza settimana di posa della vite implantare, fino a circa l’inizio del secondo mese, quando la “risalita osteoblastica” consente finalmente il recupero di una certa stabilità. Così, in implantologia il concetto della “velocità del trattamento” è da applicare fondamentalmente al numero totale delle sedute, e non già alla durata complessiva della terapia.
D’altronde, e cambiando per un attimo la prospettiva, anche il professionista ha un giovamento dalla riduzione complessiva del numero di sedute, intanto in termini di riduzione dei costi, ma anche come possibilità di riduzione della parcella complessiva, con l’obiettivo di rendere più accessibile il trattamento implanto-protesico. Condizione quest’ultima da non sottovalutare, alla luce del momento di crisi economica globale.
Sono state queste le motivazioni che mi hanno spinto, ad inizio 2011, ad inserire in studio un sistema CAD-CAM (Cerec, Sirona) e, subito dopo, ad interessarmi dei sistemi implantari con moncone pieno.
Come noto, tale sistema CAD-CAM prevede, a grandi linee, la presa di un’impronta digitale, sfruttando un’apposita telecamera Cerec Bluecam. I dati acquisiti sono gestiti direttamente dall’odontoiatra, tramite un software dedicato, col quale si procede alla registrazione dei punti di riferimento (in particolare, spalla del moncone virtuale) e quindi alla modellazione dell’elemento.
Una volta ottenuta una corona congrua, da un punto di vista delle emergenze, delle inclinazioni, dell’occlusione e, in generale, della modellazione (totalmente gestita dall’odontoiatra), il progetto da virtuale si trasforma in reale, grazie ad un apposito fresatore che “lima” un blocchetto in ceramica fino ad ottenerne una copia fedelissima del nostro progetto. A quel punto, l’elemento in ceramica viene provato, colorato, cristallizzato in forno a circa 900°C e, quindi, incollato. La precisione del sistema è sorprendente, così come è entusiasmante poter gestire in prima persona tutti i vari passaggi, dalla modellazione alle emergenze, fino al colore. Ancora più entusiasmante è osservare la reazione del paziente, meravigliato nell’assistere in diretta a tutte le fasi della “creazione” del suo nuovo dente.
Con questi presupposti, l’idea era di applicare la metodica CAD-CAM non solo ai monconi naturali, ma anche nelle riabilitazioni implanto-protesiche, con particolare riferimento all’impianto singolo, situazione clinica particolarmente frequente.
La necessità di rilevare un’impronta digitale del moncone implantare induce l’esclusione delle metodiche avvitate, a tutto vantaggio delle connessioni conometriche. Ciò in quanto il moncone “a ingaggio” è pieno, quindi fresabile e adattabile, e senza viti passanti.
Dopo un’attenta disamina dei sistemi maggiormente presenti sul mercato, ho adottato l’impianto Exacone® Leone, caratterizzato da moncone pieno e quindi perfettamente congruo alle esigenze del sistema CAD-CAM. La componentistica protesica offre diversi tipi di monconi pieni, i cilindrici totalmente fresabili, ma anche gli anatomici, già dotati di spalla, disponibili dritti, inclinati 15° o 25°che consentono l’adattamento alle situazioni ed emergenze più diverse, da scegliere in vari tratti transmucosi (altezza spalla 1, 2 o 3 mm) che ne permettono l’adattamento alle più frequenti situazioni di spessore della mucosa.
Inoltre, inserendo questo tipo di impianti, ho potuto verificare la bontà del concetto del “platform-switching”, situazione anatomica caratterizzata da un diametro minore del collo del moncone rispetto al diametro dell’impianto. La sovrapposizione della mucosa che ne consegue, è in grado di mantenere il sigillo batterico e, quindi, evitare la perdita dei livelli ossei crestali. I risultati sono stati più che soddisfacenti: in un periodo di 6 mesi, su 87 impianti singoli messi e già protesizzati, tutti controllati con radiografie pre-operatorie e pre-protesiche, in nessun caso ho assistito a perdita dei livelli crestali, né fortunatamente a casi di periimplantite.
Inoltre, ho potuto raggiungere l’obiettivo prefissato di ridurre al minimo le sedute di lavoro: in condizioni normali (buona disponibilità ossea orizzontale, quindi nessuna necessità di rigenerazione o espansione di cresta), sono sufficienti 2 sedute di lavoro per protesizzare il pilastro implantare, secondo il seguente flusso:
1a seduta: esame clinico, check radiologico e preventivo
2a seduta: posa dell’impianto e del tappo di guarigione
3a seduta: rimozione dei punti di sutura
4a seduta: controllo a 1 mese
5a seduta controllo a 2 mesi
6a seduta: a 3-4 mesi dall’intervento, rimozione del tappo di guarigione, scelta e posa del moncone, adattamento del moncone, presa dell’impronta digitale e consegna del manufatto protesico.
Come evidente dalla soprastante sequenza, le uniche due sedute “di lavoro” sono la seconda (posa dell’impianto) e la sesta (protesizzazione).
1° Caso clinico
Il paziente, non fumatore di sesso maschile età 43 anni, si presenta nel mio studio nel maggio 2011.
Esibisce un vecchio ponte in oro resina da tre elementi, da 1.5 a 1.7, vistosamente abraso ed esteticamente inaccettabile.
Propongo al paziente la posa di un impianto in sede 1.6, e la realizzazione di tre elementi singoli, in modo da ottimizzare l’estetica e i punti di contatto, nonché facilitare le manovre di igienizzazione (filo interdentale).
Il paziente accetta il piano di trattamento e nella seduta successiva, procedo con la posa del pilastro implantare in sede 1.6. Vista la buona disponibilità sia orizzontale che verticale, scelgo un impianto Exacone® 4,8×12 mm di lunghezza. Il tunnel implantare viene realizzato utilizzando il Piezosurgery, quindi sagomato con le apposite frese del sistema implantare Leone, e infine avvitando l’impianto con micromotore, a basso numero di giri e con torque compreso tra i 35 e i 45 N·cm. Poiché questo caso lo consentiva (distanza del pavimento del seno mascellare di 12,5 mm misurata in TC Cone Beam), la preparazione del tunnel implantare e l’avvitamento dell’impianto sono avvenute facendo in modo che la punta dell’impianto impatti la corticale del pavimento del seno mascellare, secondo il principio del bicorticalismo. L’intervento si conclude con la posa del tappo di guarigione e due punti di sutura mesiali e distali al tappo stesso. Nella stessa seduta, il vecchio ponte viene abbondantemente scaricato nella zona dell’intervento e ricementato con cemento provvisorio.
A distanza di 3 mesi, procedo con la protesizzazione dei due monconi adiacenti (1.7 e 1.5), sfruttando sempre il sistema Cerec. Nel mese successivo (quindi, a 4 mesi dal posizionamento implantare), finalizzo il caso con la protesizzazione del pilastro implantare. In particolare, sfruttando la perpendicolarità dell’impianto all’asse occlusale, ho utilizzato un moncone anatomico dritto con spalla 2 mm.
Ingaggiando il moncone nell’apposito manico, ne ho abbassato l’altezza, fino a dimensioni adeguate da consentirmi un appropriato spessore di ceramica a livello occlusale. Inoltre, con apposite frese taglia-corone in carburo di tungsteno, ho provveduto a ritoccare leggermente la spalla a livello vestibolare, in modo da avere un’emergenza appena sotto gengivale ed evitare così la fastidiosa visibilità del bordo metallico. Quando la forma del moncone è apparsa congrua, sia da un punto di vista degli spessori che delle previsioni estetiche, ho ingaggiato il moncone sull’impianto e, quindi, ho preso l’impronta digitale. Il software propone un elemento virtuale, che noi editiamo sempre, per ottimizzarne le emergenze, l’inclinazione e i punti di contatto, sia interprossimali che occlusali. Infine, scelto il colore, ho prelevato il relativo blocchetto in ceramica grezza (non cristallizzata; nel mio caso vetroceramica a base di disilicato di litio (LS2), IPS e.max® CAD – Ivoclar/Vivadent), a bassa trasparenza (LT) per ridurre al minimo la visibilità del moncone in titanio.
Il blocchetto viene inserito nell’apposito fresatore, e quando pronto (circa 7-10 minuti), provato in bocca, eventualmente ritoccato, quindi glasato, colorato e caratterizzato (colletto, solchi occlusali, eventuali decalcificazioni etc.).
L’elemento protesico, a questo punto, viene messo in forno per ceramica a circa 900°C per circa 30 minuti. Come ultimo passaggio, la corona viene nuovamente provata, perfettamente pulita, internamente condizionata (acido fluoridrico per 20 secondi, silano per 1 minuto e, quindi, adesivo), e infine incollata con apposito cemento auto e foto polimerizzante, opaco bianco per “mascherare” il sottostante moncone in titanio.
In questo caso, in due sole sedute “di lavoro” (riferendoci esclusivamente alla posa e protesizzazione del pilastro implantare) siamo riusciti a restituire al paziente sia la masticazione che l’estetica, in condizioni ottimali per ciò che riguarda la possibilità di gestire al meglio le manovre igieniche, evitando impronte, elementi provvisori ed eventuali discrepanze per ciò che attiene modellazione e colore.
- Fig.1 – OPT pre-oFig.1 – OPT pre-operatoria: è ancora presente il vecchio ponte in oro-resina ad estensione 15-17peratoria: è ancora presente il vecchio ponte in oro-resina ad estensione 15-17
- Fig. 2 – OPT eseguita Fig. 2 – OPT eseguita a distanza di circa 4 mesi dall’inserimento dell’impianto Exacone® 4.8×12 mm con tecnica monofasica, immediatamente prima della protesizzazione dell’impianto con sistema CAD-CAM. Notare la punta dell’impianto che impatta sulla corticale del pavimento del seno mascellarea distanza di circa 4 mesi dall’inserimento dell’impianto Exacone® 4.8×12 mm con tecnica monofasica, immediatamente prima della protesizzazione dell’impianto con sistema CAD-CAM. Notare la punta dell’impianto che impatta sulla corticale del pavimento del seno mascellare
- Fig. 3 – Tappo di guarigione e occlusione
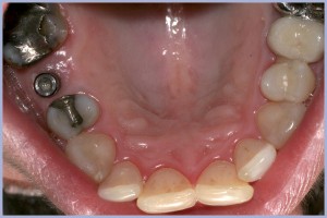
- Fig. 4 – Visione occlusale del tappo di guarigione e dei due elementi contigui (1.5 e 1.7) già protesizzati col sistema Cerec
- Fig. 5 – Immagine del collo dell’impianto ricoperto da mucosa, secondo il concetto del Platform Switching
- Fig. 6 – Prova del moncone dritto con spalla (moncone anatomico Exacone® 360°). Risulta evidente non solo la necessità di regolarne l’altezza, ma anche l’emergenza della spalla in titanio
- Fig. 7 – Il moncone viene ingaggiato sull’apposito manico e adeguatamente fresato, modificandone così l’altezza della spalla
- Fig. 8 – Prova del moncone e verifica della congruità della spalla rispetto all’altezza dei tessuti
- Fig. 9 – Prova del moncone e verifica dell’altezza. Ne segue ingaggio sull’impianto e apposita lucidatura con fresa multilama
- Fig. 10 – La scansione CAD-CAM impone tre tipi di ripresa: del moncone (e denti contigui), dell’emiarcata antagonista e dell’occlusione in massima intercuspidazione
- Fig. 11 – Particolare del modello 3D appena ricostruito dal software subito dopo le riprese con la telecamera CEREC Bluecam
- Figg. 12 e 13 – Particolare vestibolare e occlusale del moncone. Il margine blu indica la linea di chiusura della corona
- Fig. 13
- Figg. 14 e 15 – Il sistema propone una corona, che viene editata dall’odontoiatra: punti di contatto, emergenza della corona e struttura anatomica possono essere modificati e adattati a piacimento, tenendo conto della situazione occlusale ed estetica del paziente
- Fig. 15
- Fig. 16 – Anatomia definitiva della “corona virtuale” prima del fresaggio
- Figg. 17, 18 – A fresaggio avvenuto, si ottiene una corona grezza, non ancora cristallizzata, che viene provata, adattata, detersa, glasata e colorata
- Fig. 18
- Fig. 19 – Particolare della colorazione su ceramica non cristallizzata. Notare le caratterizzazioni del colletto e dei solchi occlusali
- Figg. 20, 21 – La ceramizzazione avviene in forno, a circa 900 gradi. Al termine, la corona appare cristallizzata e perfettamente caratterizzata: solchi, colletto, piccole decalcificazioni bianche a livello di cuspidi e creste marginali
- Fig. 21
- Fig. 22 – Prova della corona
- Figg. 23a, 23b – Confronto progettazione CAD – situazione clinica con corona appena cementata: la situazione reale ripete esattamente la simulazione virtuale avvenuta in fase di disegno e progettazione
- Fig. 23b
2° Caso clinico
Paziente non fumatrice di sesso femminile, età 42 anni, si presenta nel mio studio lamentando un forte dolore, improvvisamente avvertito in masticazione su una corona in lega porcellana sull’elemento 1.5 (secondo premolare superiore destro). Il “crack” improvviso seguito dal dolore acuto, induce l’ipotesi di frattura radicolare, confermata dall’evidente mobilità e dolenzia in palpazione e percussione. L’esame radiologico scongiura qualsiasi lesione apicale, d’altronde il trauma è recentissimo (giorno precedente). Per questo, si procede rapidamente con la seduta di estrazione dell’elemento fratturato e contestuale posa di un impianto post-estrattivo. Il tutto eseguito con apparecchio ad ultrasuoni per chirurgia (Piezosurgery) e con manovre estrattive assolutamente caute e poco traumatiche, in modo da non lesionare la corticale vestibolare. Ad estrazione avvenuta, e verificata l’integrità della parete vestibolare con apposito cucchiaio da osso, si procede con la tunnelizzazione apicale, e l’avvitamento (manipolo a basso numero di giri, torque compreso tra 35 e 45 N·cm) di un impianto Leone Exacone®, diametro 4,1 lunghezza 12 mm. Anche in questo caso, abbiamo potuto impattare la punta dell’impianto con la parete mediale del seno mascellare, secondo il principio del “bicorticalismo”. Ad avvitamento avvenuto, si pongono il tappo di guarigione e due punti di sutura.
A distanza di 8 giorni si procede con la rimozione dei punti di sutura.
A distanza di 1 mese si effettua il primo controllo.
A distanza di 2 mesi dall’intervento si procede col secondo controllo.
A distanza di almeno un ulteriore mese (3-4 mesi dall’intervento), se tutto il decorso post-operatorio è stato normale, come nel caso descritto, si procede con la rimozione del tappo di guarigione e il posizionamento di un moncone in titanio (in questo caso, un moncone cilindrico) che viene opportunamente sagomato, tramite frese taglia corone in carburo di tungsteno. Quando il moncone soddisfa tutti i parametri relativi agli spessori della ceramica e alle emergenze funzionali ed estetiche, viene ingaggiato e rilevato tramite la telecamera Cerec Bluecam.
A questo punto, si procede con la costruzione virtuale dell’elemento dentario, tramite apposito software e secondo la metodica già esposta nel caso precedente.
Anche in questo caso, in sole due sedute “operative” e nel giro di 4 mesi (tempo minimo per rispettare i normali fenomeni di rimodellamento osseo, specialmente nel mascellare superiore e in un post-estrattivo) abbiamo restituito alla paziente sia l’estetica che la normo-funzione, evitando le impronte e saltando tutte le fasi di laboratorio.
La tecnologia CAD-CAM è oggi uno dei nuovi traguardi della moderna odontoiatria. L’adozione di un sistema implantare a connessione conometrica e con moncone pieno consente di sfruttare appieno tale tecnologia, limitando il numero di sedute, evitando le impronte e i vari passaggi di laboratorio, riducendo fortemente tempi e fastidi per il paziente, con risultati estetici e funzionali più che soddisfacenti.
- Fig. 24 – L’elemento dentario 1.5 appare mobile e dolente. L’OPT non mostra ancora segni di particolari lesioni apicali. Si opta quindi per un impianto post-estrattivo immediato
- Fig. 25 – Elemento dentario 1.5 subito dopo l’estrazione. Notare la frattura radicolare
- Fig. 26 – OPT a 4 mesi dalla posa dell’impianto post-estrattivo in tecnica monofasica, e poco prima della protesizzazione. Notare anche in questo caso l’appoggio bicorticale dell’impianto
- Figg. 27, 28 – Visione laterale e occlusale del tappo di guarigione
- Fig. 28
- Fig. 29 – Immagine del pozzetto implantare (cono Morse ed esagono interno) subito dopo la rimozione del tappo di guarigione
- Fig. 30 – Il moncone, subito dopo adattamento e fresatura, viene ingaggiato, ed è pronto per le riprese con la telecamera Bluecam
- Fig. 31 – Le tre riprese necessarie per progettare la corona definitiva: moncone e denti adiacenti, emiarcata antagonista e rapporto occlusale
- Fig. 32 – Verifica sul software dei rapporti occlusali
- Fig. 33 – Modello virtuale in occlusione subito dopo la ripresa definitiva
- Figg. 34, 35 – Disegno dei margini di chiusura della corona
- Fig. 35
- Fig. 36 – Visione in trasparenza della corona: tale funzione (“edit”) consente di verificare l’esatto rapporto tra la corona in fase di progettazione e il moncone sottostante
- Fig. 37 – La corona definitiva al termine della progettazione virtuale
- Fig. 38 – La corona definitiva in funzione “trim”, particolarmente utile per la verifica della congruità dei punti di contatto
- Fig. 39 – La corona definitiva appena prima del fresaggio
- Figg. 40a, 40b – Confronto: la corona in fase di progettazione virtuale e in bocca alla paziente al termine della cottura e della relativa cristallizzazione
- Fig. 40b
- Fig. 41 – Il sorriso della paziente al termine della seduta











































