Autori: Dott. Claudio Gallo, Dott.ssa Irene Pastore, Dott.ssa Marta Beghetto.
Il presente lavoro prende in considerazione il caso clinico di una paziente di anni 24 diversamente abile ma collaborante alle cure ambulatoriali che all’età di 16 mesi è stata accidentalmente ustionata al volto e ad altre zone del corpo. La paziente è seguita presso l’ambulatorio dell’U.O.S. di Odontoiatria di Comunità di Piove di Sacco (ULSS 16 di Padova) dal 2005 e giunge alla nostra attenzione con visita in urgenza per frattura corono-radicolare degli elementi 21 e 22 avvenuta circa 15 giorni prima a seguito di incidente stradale in motorino. In accordo con la paziente si decide di procedere con il posizionamento di due impianti post-estrattivi (Exacone® – Leone) in sede di 21 e 22 e successiva riabilitazione protesica in metallo-ceramica.
La paziente, oggi ventiquattrenne, viene seguita periodicamente presso l’ambulatorio odontoiatrico dell’U.O. di Odontoiatria di Comunità (Ospedale di Piove di Sacco – ULSS 16 Padova) dall’età di 12 anni. La paziente è collaborante alle terapie ambulatoriali anche se la presenza di importanti esiti cicatriziali al volto ne compromettono la compliance per terapie odontoiatriche di lunga durata che richiedono una normale apertura del cavo orale. In anamnesi, infatti, si segnala, all’età di 16 mesi, un’ustione estesa a volto, collo, braccio sinistro, coscia destra e coscia sinistra; la paziente è stata sottoposta a circa sette interventi di chirurgia plastica e nel 2007 ad intervento di espansione cutanea con “palloncino”. All’esame obiettivo si evidenzia un iposviluppo del mascellare conseguente a riduzione volumetrica facciale legata ai cheloidi post-ustione in età infantile (riduzione dell’elasticità cutanea ed effetto fionda della muscolatura) (Figg. 1-3).
Il processo di guarigione delle ferite da ustione avviene attraverso una complessa interazione tra mediatori chimici, cellule e proteine strutturali, che cooperano per restituire ai tessuti lesi le loro proprietà. Quando a livello cutaneo vengono alterati i normali equilibri che regolano questo processo, si ha un rimodellamento anomalo della matrice extracellulare ed uno scompaginamento dell’architettura tessutale, che danno luogo alla cicatrice patologica, esito frequente nelle ustioni profonde. La classificazione attuale suddivide le cicatrici patologiche in: ipertrofica, retraente, ipertrofico-retraente ed atrofica.[1]
La cicatrice ipertrofica è la più frequente e si presenta come una lesione cutanea rilevata che si mantiene dentro i limiti originari della lesione iniziale. Raramente questi limiti sono superati; in tal caso si parla allora di cheloide.[1] I cheloidi sono caratterizzati da un’anormale crescita di tessuto fibrotico con aspetto cicatriziale che solitamente fa seguito ad un trauma o ad un’irritazione e che difficilmente si attenua nel tempo. Se si considera come evento traumatico un’ustione, i cheloidi sono il processo riparativo che si presenta nelle ustioni di terzo grado. Infatti gli annessi cutanei colpiti non saranno più rigenerati e la riparazione del tessuto avviene attraverso sostituzione con tessuto fibroso con functio lesa della zona colpita.[2]
La cicatrice retraente è una coartazione cutanea determinata da forze centripete responsabili di una riduzione della superficie talora di notevole entità e possono provocare difetti cutanei importanti che necessitano di interventi urgenti di integrazione per prevenire l’instaurarsi di deformità anche gravi.[1] La cicatrice ipertrofico-retraente è l’associazione delle due tipologie sopra menzionate.[1]
La cicatrice atrofica è la più rara ed ha un aspetto sottile e rugoso con scarso tessuto sottocutaneo. L’atrofia di solito si verifica dopo innesti cutanei posizionati in diretto contatto con aponeurosi, periostio e fascia muscolare. È da sottolineare come grave complicanza della cicatrice atrofica che interessa in particolare le cicatrici da ustione di vecchia data (30 anni o più) la possibile insorgenza di neoplasia con istotipo a cellule squamose.[1]
Le ustioni che avvengono in età pediatrica sono caratterizzate solitamente da lesioni a profondità variabile, dette “a carta geografica” in quanto, accanto ad una zona con ustione dermica superficiale, si passa senza soluzione di continuità ad una dermica profonda o sottodermica.[3]
A settembre 2015 la paziente viene visitata con urgenza per frattura corono-radicolare degli elementi dentari 21 e 22 a seguito di incidente stradale. Nella stessa seduta si esegue uno splintaggio in materiale composito degli elementi 11 e 13 (data l’agenesia dell’elemento 12) che presentano mobilità (Figg. 4 e 5).
La paziente viene rivalutata a distanza di 15 giorni: viene presa un’impronta di masticazione in materiale siliconico Zetaplus (Zhermack SpA) al fine di studiare il caso per un’eventuale riabilitazione implanto-protesica in sede 21 e 22. È da sottolineare come in questo caso la difficoltà operativa sia dovuta alla ridotta apertura del cavo orale per una elevata tensione esercitata dai cheloidi presenti a livello del volto (Figg. 6 e 7).
Il mese successivo si procede con le estrazioni delle radici degli elementi 21 e 22 (Figg. 8 e 9) e il posizionamento nella stessa seduta di due impianti post-estrattivi immediati.
In questo caso non si è optato per una riabilitazione implanto-protesica a carico immediato in quanto la paziente è collaborante alle cure ambulatoriali e la rima labiale ridotta in dimensioni a causa dei cheloidi non espone molto la zona edentula.
In sede di intervento si rileva un’inclinazione radicolare anomala dell’elemento 22 in quanto l’apice appare mesializzato. Dal punto di vista chirurgico si tenta di correggere tale inclinazione con un impianto Exacone® post-estrattivo con diametro di 4,1 mm e lunghezza di 10 mm (Figg. 10-13).
In zona 21 l’osso appare più morbido al passaggio delle frese e di conseguenza si opta per un impianto di diametro maggiore per assicurare una maggiore stabilità primaria della fixture stessa. In tale zona si posiziona pertanto, a livello della linea ossea alveolare post-estrattiva, un impianto Exacone® con diametro di 4,8 mm e lunghezza di 10 mm. Il colletto dell’impianto si trova circa 2 mm al di sotto della corticale (Figg. 14-17).
La diversa qualità ossea del sito 21 rispetto al sito 22 può essere legata alla flogosi cronica radicolare ed alla storia clinica dell’elemento dentale trattato endodonticamente in giovane età (12 anni). Si esegue una sutura a punti staccati con filo non riassorbibile 3/0 (Fig. 18).
Ad una settimana di distanza si rivede la paziente per controllo e dopo 15 giorni si rimuove la sutura. Mensilmente la paziente si presenta alle visite di controllo stabilite che evidenziano una buona guarigione dei tessuti ed una adeguata igiene del cavo orale, e successivamente si inizia la riabilitazione protesica.
Inizialmente si procede alla scopertura degli impianti endossei, alla prova dei monconi preinclinati a 15° e al loro fissaggio (Fig. 19).
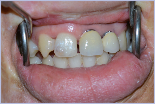
Si effettua poi la preparazione intra-orale degli abutment, operando la limatura e la riduzione in altezza (Figg. 20 e 21), e si rilevano le impronte in materiale siliconico mediante l’ausilio di un cucchiaio individuale realizzato dal laboratorio odontotecnico (Fig. 22). Si esegue inoltre una cera di masticazione e successivamente tutto il materiale viene inviato al laboratorio per la realizzazione delle corone in metallo-ceramica. Si effettua, successivamente, la prova delle cappette in metallo e si rileva la cera di masticazione (Figg. 23 e 24); si registra inoltre il colore. Segue la prova finale del lavoro protesico e la successiva cementazione delle corone in metallo-ceramica (Figg. 25-30).
L’impianto Exacone®, grazie alle caratteristiche peculiari della connessione a cono Morse, trova un valido impiego in quei pazienti diversamente abili, soprattutto non collaboranti, che necessitano di riabilitazione implanto-protesica in sede estetica. Tale intervento solitamente viene effettuato in un’unica seduta in regime di anestesia generale mediante l’inserimento di impianto con carico immediato.[4, 5]
La connessione del sistema Exacone®, priva di vite passante, permette una più agevole operatività durante la fase di preparazione dei monconi, che può essere effettuata direttamente alla poltrona, e la presa dell’impronta, riducendo il numero dei passaggi che in questa tipologia di pazienti può risultare di difficile gestione. Preserva inoltre dalle possibili complicanze protesiche, riducendo al minimo la necessità di dover intervenire nuovamente a livello della protesi, e garantisce un perfetto sigillo microbiologico evitando quindi complicanze di tipo infettivo.[6, 7, 8, 9, 10]
- Fig. 1 – Paziente, visione frontale
- Fig. 2 – Paziente, visione del profilo sinistro
- Fig. 3 – Paziente, visione del profilo destro
- Fig. 4 – Trauma corono-radicolare degli elementi 21 e 22
- Fig. 5 – Ortopantomografia
- Fig. 6 – Rilevamento di un’impronta in materiale siliconico per la valutazione protesica iniziale
- Fig. 7 – Impronta in silicone
- Fig .8 – Anestesia plessica con vasocostrittore
- Fig. 9 – Estrazione delle radici
- Fig. 10 – Preparazione dei siti post-estrattivi per l’inserimento degli impianti
- Fig. 11 – Impianto dentale utilizzato per il sito 22
- Figg. 12, 13 – Inserimento dell’impianto Ø 4,1 mm e posizionamento del tappo di chiusura
- Fig. 13
- Fig. 14 – Impianto dentale utilizzato per il sito 21
- Figg. 15-17 – Inserimento dell’impianto Ø 4,8 mm e posizionamento del tappo di chiusura
- Fig. 16
- Fig. 17
- Fig. 18 – Sutura a punti staccati
- Fig. 19 – Fissaggio dei monconi preinclinati a 15° agli impianti
- Fig. 20 – Preparazione intra-orale degli abutment
- Fig. 21 – Abutment a limatura e lucidatura ultimate
- Fig. 22 – Cucchiaio individuale realizzato dal laboratorio odontotecnico
- Fig. 23 – Cappette in metallo sul modello
- Fig. 24 – Prova delle cappette in metallo
- Fig. 25 – Corone in metallo-ceramica sul modello
- Fig. 26 – Corone cementate sugli abutment
- Fig. 27 – Visione palatale della protesi in bocca
- Fig. 28 – Sorriso e soddisfazione della paziente dopo la consegna protesica
- Fig. 29 – Profilo destro della paziente al termine del trattamento
- Fig. 30 – Profilo sinistro della paziente al termine del trattamento
Realizzazioni protesiche: Dental Free s.a.s. di Guariento M. – Padova
Bibliografia:
1. Fondazione per gli Studi e le Ricerche sulle Ustioni, Struttura Ospedaliera CTO di Torino.
2. Nardo B. Metodologia Clinica e Sistematica Medico-Chirurgica: Lezioni di Chirurgia Generale. Società Editrice Esculapio, 2013.
3. Grisolia GA. Le Ustioni in Età Pediatrica. Ed. SEE Firenze, 1999.
4. Dall’Oppio L. La seduta odontoiatrica nel disabile non collaborante. Dental Cadmos 2000; 5:65-69.
5. Nunn JH, Davidson G, Gordon PH, Storrs J. A retrospective review of a service to provide comprehensive dental care under general anesthesia. Spec Care Dentist 1995 May-Jun; 15(3):97-101.
6. Dibart S, Warbington W, Su MF, Skobe Z. In vitro evaluation of the implant-abutment bacterial seal: the locking taper system. Int J Oral Maxillofac Implants 2005; 20(5):732-737.
7. Giorgini G, Santangelo R, Bedini R, Pecci R, Manicone PF, Raffaelli L, Sanguinetti M, D’Addona A. Dimensional and microbiological in vitro analysis of a dental implant locking taper connection. J Biol Regul Homeost Agents 2013; 27(4):1077-88
8. Belcastro S, Palazzo L, Meli R, Guerra M. Studio clinico prospettico sulla sopravvivenza a medio termine di impianti a connessione conometrica. Quintessenza Internazionale 2009; 25(3):47-57
9. Mangano FG, Shibli JA, Sammons RL, Iaculli F, Piattelli A, Mangano C. Short (8-mm) locking-taper implants supporting single crowns in posterior region: a prospective clinical study with 1-to 10-years of follow-up. Clin Oral Impl Res 2014; 25(8):933-940
10. Mangano FG, Colombo M, Mangano C. Clinical evaluation of 762 single-tooth, locking-taper implants: a prospective study with 1- to 12- years of follow-up. J Dent Oral Care Med 2016; 2(2):1-11






























