Autore: Dott. Francesco Cortesi.
Il professore argentino A. A. Alonso afferma che “se c’è una parola che riassume il desiderio di un protesista rispetto agli impianti è che questi siano i sostituti dei denti naturali persi. Importante ai fini del successo riabilitativo è comprendere a pieno il ruolo che i denti hanno all’interno del sistema stomatognatico. Perché i denti sono fatti così? Qual è la loro funzione? Come si relazionano con il resto del sistema? Come si ammalano? Se queste e tante altre domande possono avere una risposta, con sicurezza allora saremo nelle condizioni di parlare degli impianti come loro sostituti.”
La sistematica D.AT.O dall’acronimo Disclusione – Allineamento Tridimensionale – Occlusione proposta dallo stesso professor Alonso ci ricorda che i denti non sono fatti solo per masticare! La bocca è infatti anche il luogo dove si esprime il sovraccarico psico-fisico-emozionale (lo stress) sotto forma di forza fisica che chiamiamo forza parafunzionale. Seguendo questa linea di pensiero, possiamo individuare nella fisiologia stomatognatica due momenti: un momento funzionale diurno (masticazione, deglutizione e fonazione), in cui i denti agiscono per presenza e quindi senza contatto fra loro se non nella fase finale dell’atto funzionale, e un momento parafunzionale fisiologicamente notturno dove i denti agiscono per contatto stretto (serramento e digrignamento) (Fig.1).
Questi due momenti li osserviamo agire su due piani differenti: il primo è un piano funzionale che si realizza attraverso una relazione denti-articolazione temporomandibolare (ATM) e l’altro si esprime in modo efficace su un piano che abbiamo chiamato parafunzionale, piano in cui si realizzano spazi uniformi con una relazione denti-cranio-cervicale (Fig. 2).
L’occlusione, intesa come la relazione di un insieme di denti, osservata focalizzandone le dinamiche parafunzionali, svolge una importante funzione di autoprotezione del Sistema e costituisce il terreno biomeccanico nel quale e attraverso il quale si determinano gli eventi patologici orali che possono manifestarsi in modo differente a seconda della specifica reattività e debolezza di ogni singolo paziente.
Caso clinico
Il seguente caso clinico riassume i concetti finora espressi, evidenziando come in questa paziente di sesso femminile di anni 64 è stato necessario agire sul terreno biomeccanico occlusale attraverso un approccio che potremmo chiamare sistemico per pacificare il sistema neuromuscolare, in questo caso altamente reattivo-disreattivo (Figg. 3-5).
L’obiettivo del nostro intervento, come vedremo, è stato quello di riuscire a concludere il trattamento riabilitativo orale iniziato e non terminato da diversi altri operatori che all’interno del loro trattamento avevano inserito numerosi impianti tutti perfettamente osteointegrati (Fig. 6).
Tra i vari sistemi implantari che la paziente aveva “ricevuto” ve ne era uno che non avevamo mai avuto l’occasione di conoscere. In posizione 14 e 22 (Figg. 7, 8) infatti abbiamo scoperto nel lontano 2007 il sistema Exacone® Leone che ci è sembrato immediatamente quello più corrispondente alle caratteristiche del dente naturale integro e lo strumento più consono al tipo di riabilitazione che da circa 15 anni perseguivamo come gruppo di Studio e di Lavoro D.AT.O Italia.
Nonostante la grande motivazione, diligenza e cura che la paziente dimostrava, i molteplici operatori che si sono succeduti non sono riusciti a concretizzare in termini protesici ciò che avevano preparato come supporto radicolare dentale ed implantare.
La paziente manifestava sintomi nevralgici e disfunzionali muscolo-articolari ed il “sistema” continuava con una modalità quasi autodistruttiva a decementare, rompere e frantumare le protesi provvisorie soprastanti generando sconforto e frustrazione. Da un punto di vista parodontale invece la risposta era eccellente nonostante l’imprecisione delle protesi.
Il primo obiettivo nel caso di una paziente disfunzionale e disreattiva è la pacificazione del suo sistema neuromuscolare che si ottiene solitamente con strumenti ad azione reversibile che vengono chiamati bite.
In questo caso, visto l’evidente disordine dentale presente, lo si è ottenuto riordinando l’occlusione con “informazioni dentali” di forma e dimensione corrispondenti alle sue necessità biomeccaniche parafunzionali. La sistematica D.AT.O nasce dall’osservazione di come la natura organizza e conforma le due riabilitazioni naturali nel bambino (occlusione decidua) e nell’adulto (occlusione permanente). Codifica un protocollo di diagnosi e di trattamento che segue lo stesso percorso arrivando ad ottenere come obiettivo l’occlusione terapeutica.
Il primo passo che riorganizza il Sistema Gnatico ripristinandone una relazione denti-ATM stabile e riprogrammandolo da un punto di vista neuromuscolare è la disclusione, intesa come relazione statica e dinamica dei denti anteriori (gruppo 1 inferiore e gruppo 2 superiore) ottenuta attraverso più fasi successive (Figg. 9-15).
Una volta ritrovata la corrispondenza e la funzione dei denti anteriori si procede ricercando l’allineamento tridimensionale dei denti posteriori trovando la curva che si sviluppa fra di essi. Questo lo si ottiene attraverso la determinazione di spazi uniformi fra i denti posteriori inferiori e superiori verificabile durante il movimento eccentrico guidato dai due canini (Figg. 16-18).
L’allineamento tridimensionale è il ponte biologico fra l’occlusione e la disclusione.
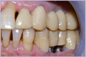
L’occlusione, cioè l’intima relazione fra le superfici occlusali dei denti posteriori è l’ultimo passaggio che permette di ottenere stabilità occlusale garantendo la funzione masticatoria (che avviene per presenza) ma anche e soprattutto la funzione di autoprotezione che corrisponde alla capacità di assorbire e neutralizzare, coi denti strettamente in contatto fra loro, le forze parafunzionali (Figg. 19 a-b, Fig. 20).
La pacificazione del sistema e il risultato clinico percepito ha dato fiducia alla paziente, l’ha resa cosciente della sua particolare reattività e sensibilità occlusale. Questo ha reso possibile, in un contesto di reciproca intesa e collaborazione, di procedere ulteriormente nel processo riabilitativo migliorando il sostegno di alcune zone critiche dell’arcata inferiore attraverso l’inserimento di 4 ulteriori impianti (nelle posizioni 35, 36, 45, 46) rimuovendo l’impianto fratturato (di tipo a connessione avvitata) in posizione 36. I nuovi impianti inseriti sono impianti Leone posizionati dall’eccellente intervento del Dr. Targetti. Dopo circa 4 mesi i nuovi impianti sono stati caricati integrandoli ai provvisori (Figg. 21-25).
Si è quindi finalizzato il caso con corone in ceramica seguendo e migliorando le forme iniziali (Figg. 26-28).
I compromessi di forma e dimensione legati in particolare alla premolarizzazione di tutti i denti posteriori inferiori e di quelli dell’emiarcata superiore di destra, costituiscono una limitazione strutturale importante in questa paziente particolarmente reattiva e biologicamente sensibile. Il risultato ottenuto protesicamente agisce, infatti, in modo efficace (per presenza) sul piano funzionale, ma risulta essere insufficiente durante la parafunzione (Figg. 29, 30 a-b).
La soluzione riabilitativa che risponde alle necessità neuromuscolari e parafunzionali della paziente, è un tipo di sostegno ortopedico chiamato CAOLC (Compensatore Anatomico Occlusale Lotti Cortesi). Il CAOLC è una placca bimascellare che sostiene in modo reversibile la struttura stomatognatica dentaria esprimendo, al di sopra di essa, in tutta la sua efficacia la funzione di autoprotezione sul piano parafunzionale (Figg. 31 a-b).
Lo fa in modo ciclico, per contatto stretto sulla relazione denti-cranio-cervicale supportando in modo coerente l’elevata reattività della paziente (Figg. 32-33).
Conclusioni
Il paziente disfunzionale è sicuramente il banco di prova più complesso e difficile da affrontare in riabilitazione orale: infatti la sua capacità di adattamento è molto limitata e richiede una risposta terapeutica il più conforme possibile alle richieste del sistema e a quelle dell’organismo.
Questo aspetto lo ritroviamo anche in implantologia nel paziente con elevata reattività parodontale, dove il punto critico risiede nella stabilità dell’osteointegrazione.
Il ruolo del terreno occlusale nel favorire lo stato di salute del sistema stomatognatico è clinicamente assodato, anche se la sua estrema complessità e variabilità tipologica rendono difficile e complessa la sua interpretazione diagnostica ed il successivo cambiamento terapeutico.
La nostra esperienza clinica e tecnica, supportata da 20 anni di lavoro e studio applicando la sistematica riabilitativa D.AT.O, ci dimostra come il successo terapeutico si fondi sulla adeguata interpretazione delle modalità reattive e delle dinamiche parafunzionali dei pazienti. La possibilità di instaurare una strategia terapeutica di insieme, che si realizzi sia sul piano funzionale che su quello parafunzionale, permette di raggiungere consapevolmente lo stato di salute desiderato dai pazienti.
Il CAOLC si è dimostrato particolarmente efficace come strumento di pacificazione neuro-muscolo-articolare e parodontale in tutti quei casi in cui la struttura stomatognatica occlusale necessitava di un supporto ortopedico che fosse in grado di compensarne le carenze biomeccaniche. L’obiettivo prioritario del CAOLC è mettere ordine sul disordine occlusale.
Realizzazioni protesiche: Laboratorio D.AT.O Luciano Lotti (Reggio Emilia)
Bibliografia
– Alonso A.A, Albertini J.S, Bechelli A.H: Oclusión y Diagnóstico en Riabilitación Oral. Buenos Aires: ed. Panamericana, 1999; p 637.
– Pasqualini U: Le patologie occlusali. Eziopatogenesi e Terapia. Principi e tecniche del riequilibrio dell’occlusione. Milano: ed. Masson, 1993; p 433.
– Echeverri Guzman E, Secherman Kovalski G: Neurofisiología de la oclusion. Fisiología mandibular. 9a ed., Bogotà: ed. Moserrat, LTDA, 1993; p 239.
– Cortesi F: Il modello Omotossicologico in Riabilitazione Orale. La sistematica D.AT.O dalla Diagnosi alla Terapia. Inquadramento dello stato dell’Occlusione dentaria nella Tavola delle Omotossicosi: Prima Parte La Med. Biol., 2011/4; 35-42.
– Cortesi F: Il modello Omotossicologico in Riabilitazione Orale. La sistematica D.AT.O dalla Diagnosi alla Terapia. Inquadramento dello stato dell’Occlusione dentaria nella Tavola delle Omotossicosi: Seconda Parte, La Med. Biol., 2012/1; 19-27.
– Ricciardi P. M: Biocibernetica dell’informazione – approccio scientifico alle tecniche di biorisonanza. Milano: ed. GUNA, 1995; 5-12.











































