Autore: Dott. Gratiliano Gai.
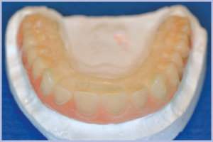
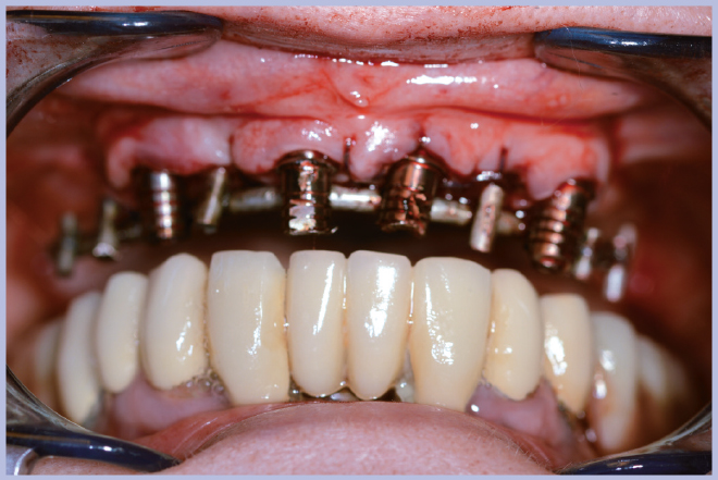
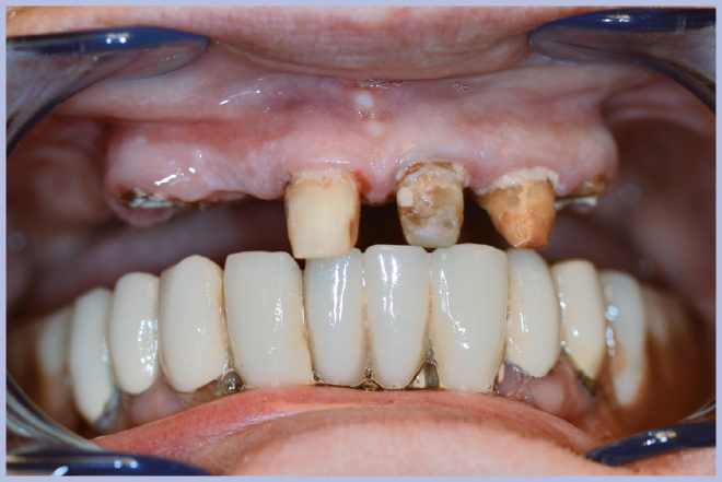
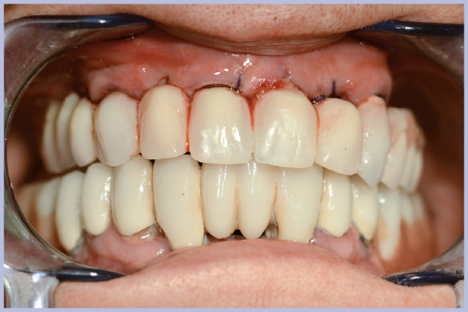
Si è presentata presso il nostro studio una paziente di 73 anni portatrice di una protesi mista (fissa e mobile) nel mascellare superiore (Fig. 1). Si è pianificata una riabilitazione immediata dell’intera arcata mediante tecnica tipo All-on-Four.
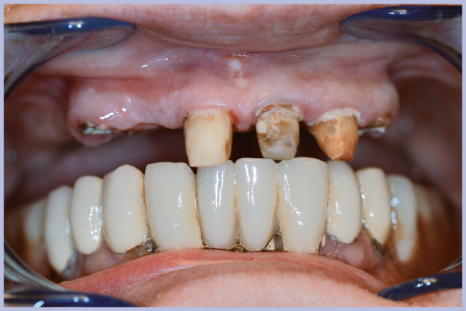
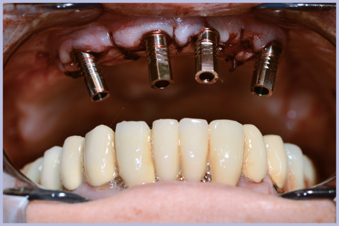
Dopo l’estrazione dei 3 elementi residui (Fig. 2), sono stati posizionati 4 impianti Max Stability Ø3,75 mm (2 di lunghezza 10 mm e 2 di lunghezza 12 mm).
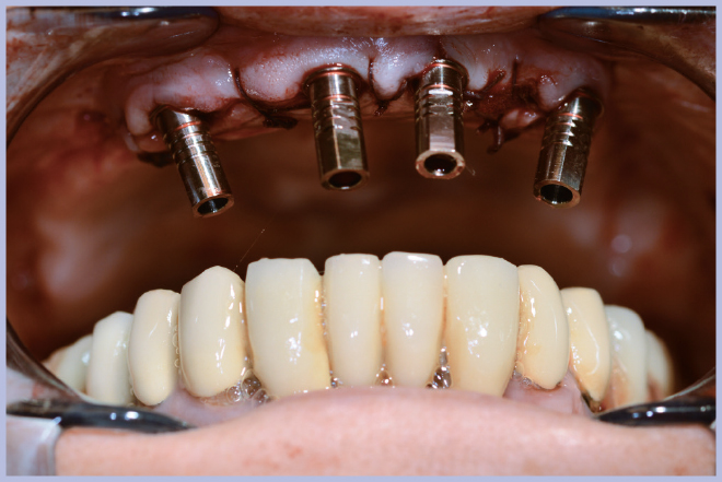
Dopo il posizionamento implantare si sono utilizzati 4 monconi per protesi avvitata angolati a 25°. Dato che non si è utilizzato alcun modello in gesso ma si è lavorato direttamente in bocca, la procedura ottimale in questi casi è quella di rimuovere dai monconi gli esagoni Exacone® 360°.
Per la scelta dei monconi, in termini di altezza del tratto transmucoso e angolazione, si è utilizzato il kit di monconi di prova Standard-Large. Quindi si sono prelevati i monconi definitivi dal kit Leone All-on-Four/All-on-Six fornitoci in conto visione: questo servizio offerto dall’azienda ci consente di fare a meno di un magazzino dei componenti protesici, permettendone l’acquisto dopo aver già selezionato le misure di interesse.
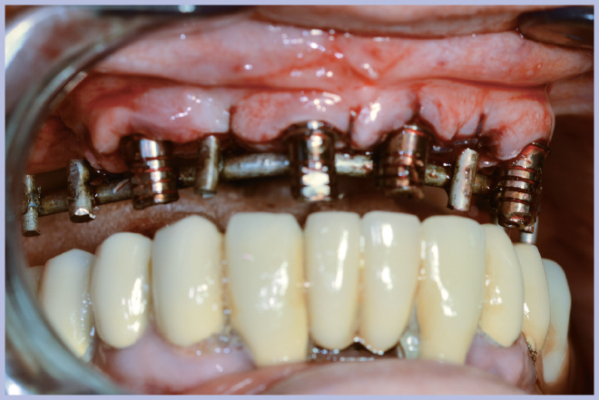
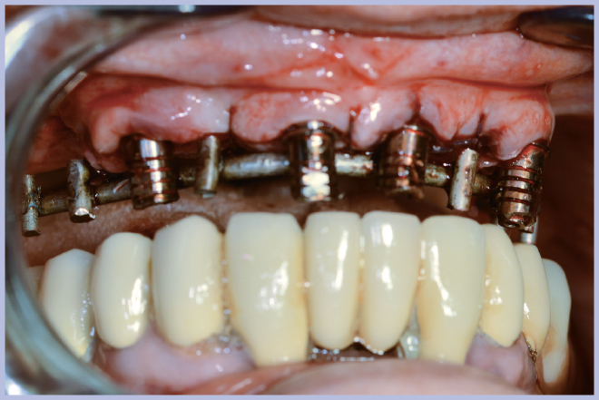
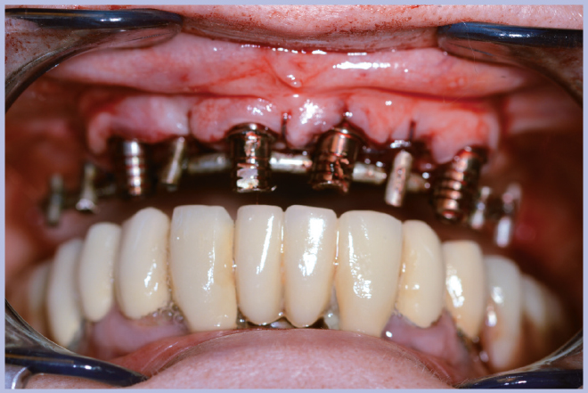
Sui monconi, dopo aver attivato la connessione a cono Morse (Fig. 3), sono state fissate le apposite cappette in titanio con le viti a testa alta (Fig. 4) ed è stata realizzata un’armatura di rinforzo per mezzo di una sincristallizzatrice intra-orale. In particolare la barra è stata ottenuta mediante saldatura sulle cappette di un filo pre-modellato di titanio grado 2 (Figg. 5, 6).
Quindi, con l’ausilio di una mascherina in resina trasparente, si è effettuata la registrazione occlusale; la mascherina è stata sfruttata anche per la demarcazione dei punti della nuova protesi da scartare in corrispondenza della posizione delle cappette (Figg. 7, 8).
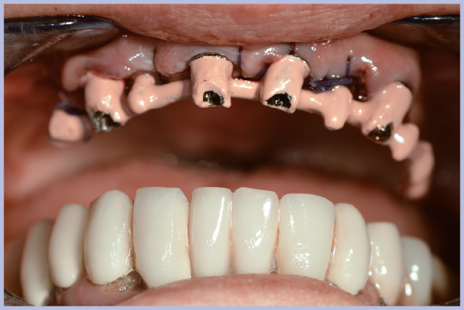
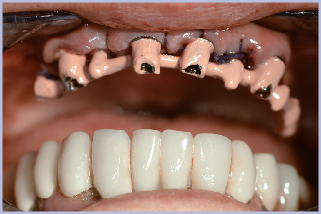
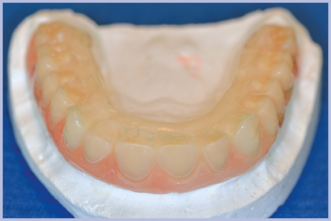
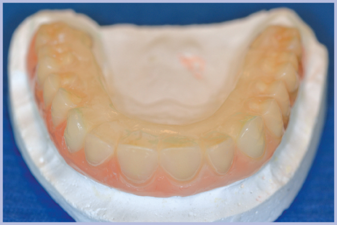
La nuova protesi, realizzata in materiale composito sul modello di quella pre-esistente (Fig. 9), è stata poi ribasata in bocca sull’armatura di rinforzo fissata ai monconi (Fig. 10). Ad indurimento avvenuto della resina per ribasature, si sono rimosse le viti e si è rifinita la protesi. L’operazione di rifinitura da parte del tecnico è di grande importanza, perché si deve il più possibile ridurre l’estensione della flangia vestibolare al fine di favorire una buona detersione da parte del paziente.
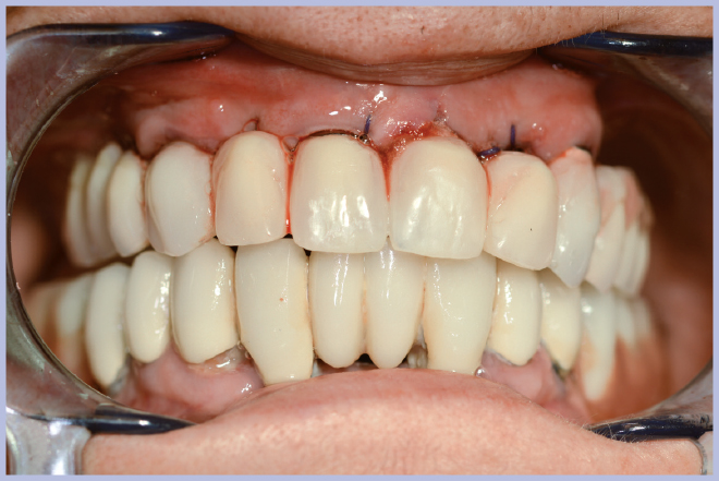
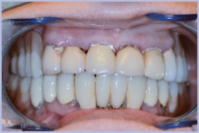
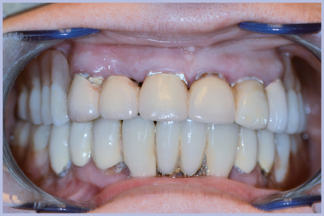
La semplicità della componentistica Leone ha permesso di completare l’intero trattamento in circa 6 ore e mezzo, consegnando alla paziente la protesi ultimata nella stessa giornata della chirurgia (Figg. 11-13).
- Fig. 1 – Situazione iniziale
- Fig. 2 – Elementi residui prima dell’estrazione
- Fig. 3 – Posizionamento dei monconi per protesi avvitata
- Fig. 4 – Fissaggio delle cappette in titanio
- Figg. 5, 6 – Struttura di rinforzo ottenuta saldando intra-oralmente un filo di titanio alle cappette
- Fig. 6
- Fig. 7 – Mascherina in resina per la registrazione occlusale
- Fig. 8 – Demarcazione della posizione delle cappette sia sulla mascherina che sulla nuova protesi
- Fig. 9 – Protesi nuova in composito
- Fig. 10 – Fissaggio della protesi sulla struttura metallica
- Fig. 11 – Consegna della protesi rifinita
- Fig. 12 – Sorriso della paziente al termine dell’intervento
- Fig. 13 – Immagine radiografica di controllo al termine dell’intervento
Realizzazioni protesiche:Â Laboratorio odontotecnico Digilab – Roma













