Autore: Dott. Massimo Alteri.
In questo lavoro presentiamo la sostituzione di un ponte fisso in metallo-ceramica dove sia l’estetica che la funzione parodontale sono in parte compromesse. La giusta combinazione tra tecniche tradizionali e nuove delinea l’appropriatezza del piano di trattamento e delle procedure operative, che producono un risultato estetico-funzionale ottimo.
Caso clinico
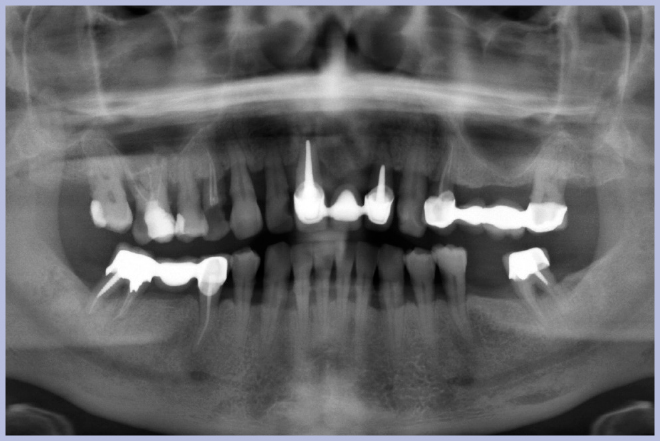
La paziente di anni 55, fumatrice, si presenta con un ponte anteriore in metallo-ceramica (Fig. 1). All’esame clinico il ponte presenta una lieve mobilità ed è evidente la retrazione gengivale con conseguente riassorbimento osseo. Radiologicamente si evidenziano lesioni parodontali, è comunque presente una buona quota ossea sulla quale è possibile inserire un impianto (Fig. 2).
Viene rimosso il ponte con un taglio verticale (Fig. 3) e si preparano i monconi con una preparazione a chamfer (Figg. 4, 5). Nella stessa seduta si procede con l’intervento implantologico: si effettua un lembo (Fig. 6), viene preparato il sito implantologico (Figg. 7, 8) e inserito un impianto Leone Max Stability da 3,75 per 10 mm (Figg. 9-12). Dopo l‘inserimento si evidenzia una carenza ossea anteriore (Fig. 13) che colmiamo con un innesto di osso autologo prelevato durante la preparazione del sito (Figg. 14, 15), si copre il tutto con una membrana Biomatlante EZ Cure (Fig. 16) e si effettua la sutura. Dopo sei mesi scopriamo l’impianto e inconiamo subito il moncone che grazie al provvisorio condizionerà i tessuti. Una volta maturati i tessuti (Figg. 17, 18) viene presa un’impronta digitale con il sistema Cerec Sirona (Fig. 19) che, grazie al suo software 3D, consente una elaborazione immediata della protesi da realizzare (Fig. 20). Costruito virtualmente il ponte si può passare alla fase di fresatura (Fig. 21). Conclusasi quest’ultima (Fig. 22), prima di passare alla caratterizzazione con colori speciali e alla cottura, si prova il ponte, verificando se l’altezza, la forma e l’inserimento sono corretti. A cottura ultimata il ponte viene cementato (Figg. 23-26).
CONCLUSIONI
La sostituzione di una protesi fissa su elementi naturali, i quali non hanno più le caratteristiche originali, è notevolmente agevolata da una serie di possibilità terapeutiche che portano ad un miglioramento funzionale ed estetico della zona interessata.
In questo caso abbiamo inserito un impianto nella zona edentula, con esso abbiamo ottenuto una serie di vantaggi che sono: presenza di tutti gli elementi del settore frontale, profilo emergente uniforme su tutti gli incisivi e stabilizzazione della lieve mobilità degli elementi naturali.
Il controllo a 2 anni (Fig. 27) conferma il mantenimento del risultato ottenuto con grande soddisfazione della paziente.
- Fig. 1 – Situazione clinica iniziale
- Fig. 2 – OPT iniziale
- Fig. 3 – Taglio del ponte
- Figg. 4, 5 – Preparazione a chamfer dei monconi
- Fig. 5
- Fig. 6 – Apertura di un lembo
- Figg. 7, 8 – Preparazione del sito implantare
- Fig. 8
- Figg. 9-12 – Inserimento di un impianto Leone Max Stability 3,75 x 10 mm
- Fig. 10
- Fig. 11
- Fig. 12
- Fig. 13 – Carenza ossea anteriore
- Figg. 14, 15 – Innesto di osso autologo prelevato durante la preparazione del sito
- Fig. 15
- Fig. 16 – Copertura con una membrana EZ Cure
- Figg. 17, 18 – Situazione dei tessuti dopo il condizionamento con un provvisorio
- Fig. 18
- Fig. 19 – Modello virtuale ottenuto dall’impronta ottica intraorale
- Fig. 20 – Ceratura virtuale
- Fig. 21 – Ponte virtuale posizionato nel blocco di disilicato di litio
- Fig. 22 – Ponte in disilicato di litio prima della caratterizzazione e della cottura
- Figg. 23-25 – Consegna del ponte
- Fig. 24
- Fig. 25
- Fig. 26 – OPT alla consegna
- Fig. 27 – OPT a 2 anni



























