Autori: Dott. Luigi Lucchiari, Dott. Nicola Lucchiari.
La tecnologia computer guidata è di grande aiuto nelle gravi atrofie ossee, dove alternativa alla chirurgia rigenerativa è l’utilizzo di impianti corti, con lo sfruttamento ottimale (ma in tutta sicurezza) delle dimensioni ossee disponibili.
Caso clinico
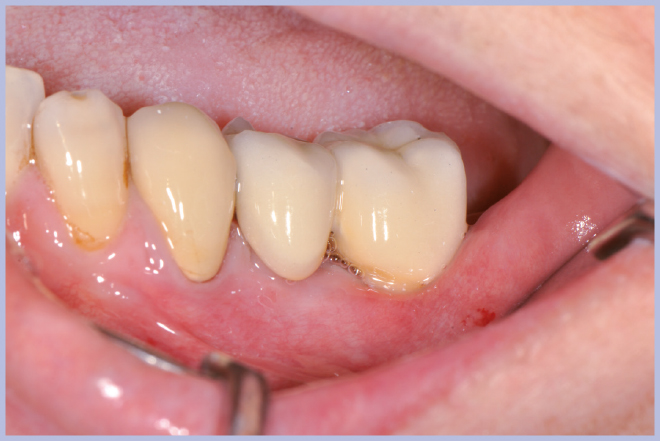
Paziente di sesso femminile, 51 anni, non fumatrice, nulla da segnalare in anamnesi.
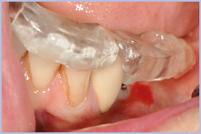
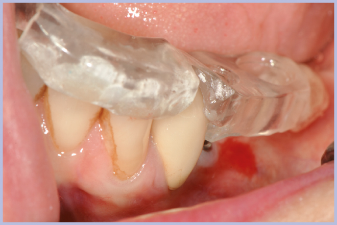
Per riabilitare la masticazione del terzo quadrante, con osso gravemente atrofico, si procede allo studio del caso con esame radiologico 3D e posizionamento virtuale di impianti Exacone® Leone. La prima valutazione è stata eseguita con il software dell’apparecchio radiografico Cone Beam presente in studio. Dopo aver verificato che la quantità di osso residuo fosse sufficiente all’inserimento di due impianti, seppur di dimensioni ridotte, in sede 3.5 e 3.6 senza l’ausilio di tecniche di rigenerazione ossea (Figg. 1-3), si richiede al laboratorio di confezionare una mascherina radiologica con ceratura diagnostica radiopaca e repere standardizzato a livello incisale come da protocollo Leone (Figg. 4, 5). Si verifica quindi clinicamente l’assenza di mobilità della mascherina dopo il posizionamento nel cavo orale del paziente (Figg. 6, 7). Si effettua una CBCT con la mascherina in posizione e l’esame viene inviato in formato DICOM all’azienda Leone assieme al modello master della paziente. L’azienda provvede quindi ad inviare agli Autori il software 3Diagnosys (software di progettazione) in licenza monopaziente con caricati i file DICOM ricevuti; il software viene quindi utilizzato per la progettazione definitiva del caso (Figg. 8-12).
Una volta definito il progetto, gli Autori lo hanno inviato all’azienda Leone che ha confezionato mediante stereolitografia il modello Master 3D, copia esatta del master in gesso sul quale è stata costruita la mascherina radiologica, con gli analoghi degli impianti posizionati secondo il progetto virtuale (Figg. 13 a-d).
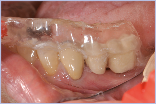
Viene quindi richiesto al tecnico di modificare in laboratorio la mascherina radiologica mediante il posizionamento delle boccole di guida adatte agli impianti da posizionare (Exacone® 6.5 e Exacone® 3,3×8) in asse con gli analoghi del modello Master 3D ed eliminando il repere radiologico standardizzato, trasformandola così nella dima chirurgica (Figg. 14, 15). Si procede quindi alla prova della mascherina sulla paziente per verificarne la stabilità e la corrispondenza esatta con il modello Master 3D (Fig. 16). La seduta chirurgica con tecnica flapless, guida chirurgica e Frese Zero1 dedicate non presenta alcuna difficoltà ; al termine dell’inserimento si posizionano sugli impianti tappi di guarigione bassi per permettere loro di guarire con tecnica sommersa (Figg. 17-27). Si effettua nella stessa seduta una CBCT che dimostra che la posizione clinica degli impianti risulta sovrapponibile a quella progettata dagli Autori (Figg. 28-30).
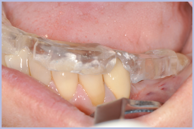
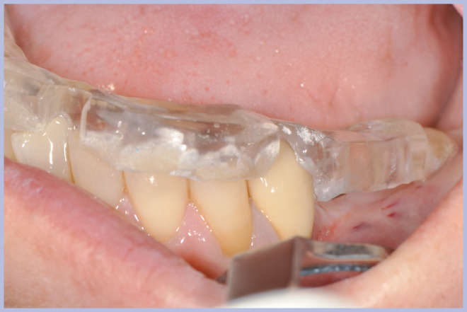
Dopo 3 mesi si esegue il rientro chirurgico con tecnica flapless per il posizionamento dei tappi di guarigione transmucosi, utilizzando la stessa mascherina chirurgica senza le boccole per guidare il percorso dei mucotomi (Figg. 31-36).
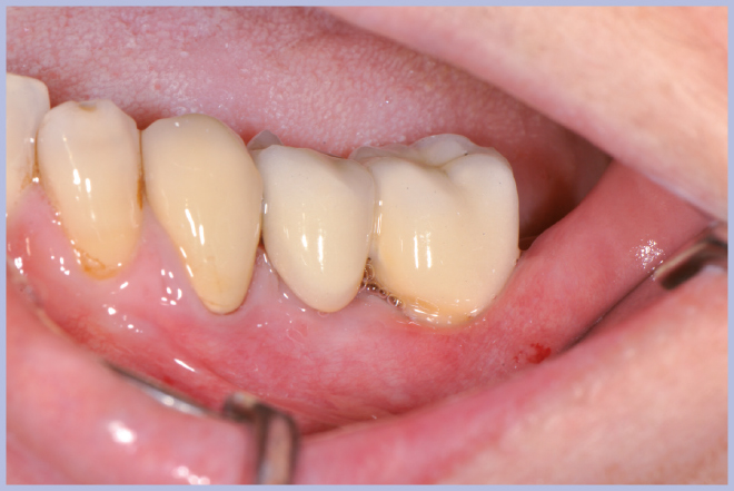
Dopo due settimane, a guarigione dei tessuti molli avvenuta, si iniziano le fasi protesiche per finalizzare il caso con posizionamento di due corone in metalloceramica (Figg. 37-40).
- Figg. 1-3 – Esame Cone Beam iniziale, si verifica la fattibilità di inserimento impianti
- Fig. 2 mento impianti
- Fig. 3
- Figg. 4, 5 – Realizzazione della mascherina radiologica
- Fig. 5
- Figg. 6, 7 – Verifica clinica della stabilità della mascherina radiologica sulla paziente
- Fig. 7
- Figg. 8-12 – Pianificazione implantare con software 3Diagnosys Leone
- Fig. 9
- Fig. 10
- Fig. 11
- Fig. 12
- Figg. 13a-d – Modello Master 3D realizzato dal Digital Service sulla base della pianificazione con software analogo al modello Master in gesso
- Fig. 13b
- Fig. 13c
- Fig. 13d
- Figg. 14, 15 – Trasformazione della dima radiologica in dima chirurgica sul modello Master 3D
- Fig. 15
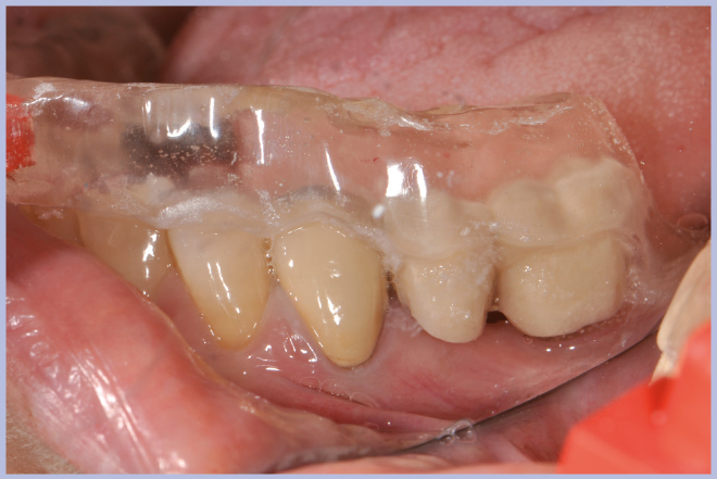
- Fig. 16 – Verifica clinica della dima chirurgica
- Figg. 17, 18 – Passaggio dei mucotomi guidati dalla mascherina chirurgica
- Fig. 18
- Figg. 19, 20 – Passaggio fresa Zero1 attraverso la boccola per impianto Exacone® Ø 3,3
- Fig. 20
- Fig. 21 – Cambio carrier impianto per posizionamento guidato
- Fig. 22 – Posizionamento impianto Exacone® Ø 3,3 con tappo basso
- Figg. 23-27 – Procedura guidata per inserimento impianto corto Exacone® 6.5
- Fig. 24
- Fig. 25
- Fig. 26
- Fig. 27
- Figg. 28, 29 – Verifica radiografica 3D subito dopo l’inserimento degli impianti
- Fig. 29
- Fig. 30 – Confronto tra posizione progettata e posizione clinica degli impianti: si noti la stretta corrispondenza tra il progetto e la CBCT post-operatoria
- Figg. 31-35 – Al momento della riapertura utilizzo della guida chirurgica per l’esposizione implantare
- Fig. 32
- Fig. 33
- Fig. 34
- Fig. 35
- Fig. 36 – Posizionamento dei tappi di guarigione
- Figg. 37-40 – Fasi protesiche e finalizzazione con posizionamento di due corone in metallo ceramica
- Fig. 38
- Fig. 39
- Fig. 40
Realizzazioni protesiche:Â Laboratorio LORI di Padova – Odt. Sig. Savio Franco











































