Autore: Dott.ssa Elena Vitale
Questo case report riguarda una paziente di 54 anni che arriva alla nostra osservazione con una situazione estremamente compromessa nell’arcata inferiore, denti mobili e difficoltà a masticare (Fig. 1). La paziente era già stata in altra sede dove le avevano proposto un intervento di innesto osseo prelevato dalla cresta iliaca oppure una protesi totale rimovibile. La richiesta della paziente era una protesi fissa non rimovibile senza sottoporsi ad interventi invasivi di innesto osseo.
Viste le aspettative della paziente e la quantità di osso disponibile (Fig. 2) si propone come soluzione la tecnica All-on-Four. Il metodo All-on-Four consiste nel posizionare a livello mandibolare quattro impianti intraforaminali, di cui due nella zona degli incisivi laterali e due distali inclinati (“tiltati”) davanti ai forami mentonieri.
L’anamnesi risulta negativa: no fumatore, no cardiopatico, nessun farmaco in terapia, soltanto un lieve scompenso glicemico che la paziente dovrebbe gestire con l’alimentazione, ma che finora non ha potuto a causa dell’inesistente masticazione.
- Fig. 1
- Fig. 2
L’esame Cone Beam ci permette di evidenziare le strutture anatomiche di interesse, i forami mentonieri e il canale incisivo; grazie allo studio dell’esame 3D, vista la disponibilità ossea e la presenza di un osso denso (Figg. 3-6), si decide di utilizzare due impianti Leone diametro 3,3 mm e lunghezza 12 mm e due impianti Leone diametro 3,3 mm e lunghezza 10 mm.
- Fig. 3
- Fig. 4
- Fig. 5
- Fig. 6
Come prima manovra estraggo tutti gli elementi dentari presenti e sollevo un lembo a tutto spessore (Figg. 7-10).
- Fig. 7
- Fig. 8
- Fig. 9
- Fig. 10
Dopo la toilette chirurgica e il lavaggio con Lincocin antibiotico, regolarizzo la cresta ossea per pareggiare il dislivello osseo presente (Figg. 11-13).
- Fig. 11
- Fig. 12
- Fig. 13
Per posizionare la dima chirurgica per la tecnica All-on-Four realizzo in zona mediana un foro con un diametro di 1,2 mm e una lunghezza di 10 mm (Figg. 14, 15). Le tacche verticali presenti sulla dima chirurgica All-on-Four, distanziate tra loro 7 mm, aiutano a dare la corretta inclinazione agli impianti distali, che sono i primi ad essere inseriti: posizionando la fresa sulla diagonale tra due tacche consecutive si ottiene un’inclinazione di circa 30°.
- Fig. 14
- Fig. 15
Si preparano quindi prima i due siti distali per gli impianti 3,3 x 12 mm utilizzando le frese Leone con stop integrale passando come ultima fresa quella dedicata per tutta la lunghezza. L’osso, essendo molto denso, ha bloccato l’inserimento degli impianti con il manipolo ad una distanza di circa 4 mm prima di arrivare nella posizione finale.
Ho proceduto quindi manualmente con il cricchetto portando gli impianti in sede (Figg. 16, 17).
- Fig. 16
- Fig. 17
Successivamente preparo i siti implantari in corrispondenza di 32 e 42 seguendo una direzione assiale per alloggiare due impianti Leone 3,3 x 10 mm (Figg. 18-21).
- Fig. 18
- Fig. 19
- Fig. 20
- Fig. 21
Dopo aver inserito tutti e quattro gli impianti utilizzo i monconi di prova per protesi avvitata per facilitare la scelta dei monconi (Fig. 22). La scelta delle angolazioni dei monconi è legata anche alla necessità di portare la paziente da una terza classe ad una prima classe cercando di lingualizzare gli incisivi inferiori che erano vestibolarizzati ed in morso crociato.
- Fig. 22
Una volta scelti i monconi più idonei li prelevo dalla valigetta All-on-Four/All-on-Six messa a disposizione dalla Leone. Dopo aver inserito i quattro monconi nella posizione scelta, procedo a inconarli con il percussore dedicato (Fig. 23).
- Fig. 23
Dopo l’inconamento, avvito delle cappette in titanio sui monconi per protesi avvitata prelevate sempre dalla valigetta Leone ed eseguo una sutura per prima intenzione con materiale riassorbibile (Figg. 24, 25). Si rileva un’impronta in silicone con porta impronte individuale forato in prossimità delle emergenze delle cappette (Fig. 26).
- Fig. 24
- Fig. 25
- Fig. 26
Si solidarizzano le emergenze delle cappette in titanio con della resina acrilica autopolimerizzante a freddo (Figg. 27, 28).
- Fig. 27
- Fig. 28
Una volta indurita la resina acrilica si svitano le viti delle cappette in titanio e si rimuove il porta impronta (Figg. 29, 30). Per evitare che la mucosa collabisca sui monconi per protesi avvitata avvito le cappette calcinabili impiegate come cuffie di protezione (Fig. 31).
- Fig. 29
- Fig. 30
- Fig. 31
Invio l’impronta in laboratorio. Il tecnico prepara una barra in titanio saldata alle cappette in titanio, la quale viene poi inglobata nel manufatto protesico Toronto Bridge (Figg. 32-34).
- Fig. 32
- Fig. 33
- Fig. 34
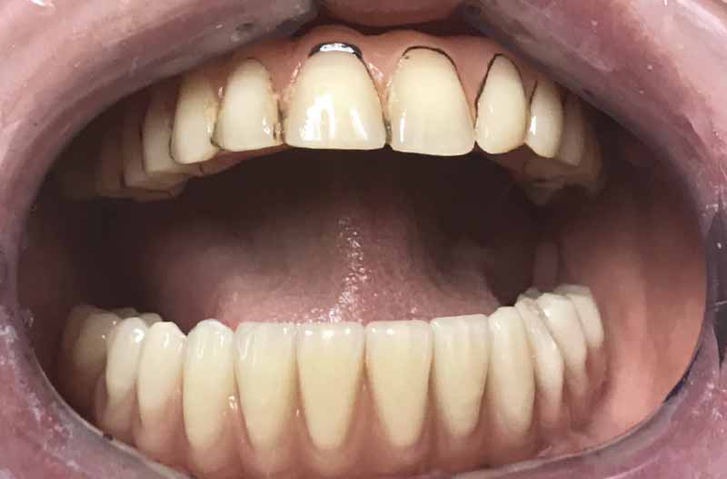
La mattina del giorno successivo avviene la consegna della Toronto Bridge con struttura metallica definitiva (Figg. 35-37).
- Fig. 35
- Fig. 36
- Fig. 37
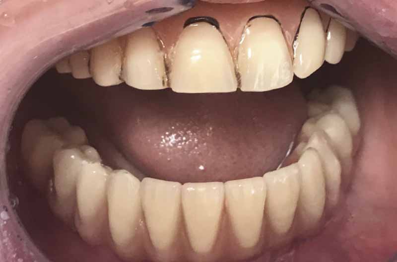
Il controllo clinico e radiografico effettuato a 6 mesi di distanza mostra una situazione ottimale: i tessuti duri e molli perimplantari sono stabili e sani (Figg. 38, 39). Si rimuove il manufatto per la ribasatura con resina acrilica e si riconsegna dopo poche ore il manufatto definitivo alla paziente (Figg. 40-42).
- Fig. 38
- Fig. 39
- Fig. 40
- Fig. 41
- Fig. 42
Realizzazioni protesiche: Laboratorio odontotecnico di Dario Citarda – Marsala (TP)









































