Autori: Dott. Fabrizio Dell’Innocenti, Dott. Jaroslaw Matuszak, Dott. Leo Malin, Dott. Leonardo Targetti, Dott. Mario Guerra, Dott. Salvatore Belcastro, Dott.ssa Irene Frezzato
Non sempre l’area edentula presenta gli spazi e gli spessori idonei per l’inserimento di un impianto dentale. Nella zona degli incisivi inferiori la cresta ossea ha sovente uno spessore così esiguo da dover prendere in considerazione complesse tecniche di aumento osseo orizzontale e non di rado anche l’ipotesi di rinunciare alla terapia implantare. Nel caso delle agenesie degli incisivi superiori laterali lo spazio interdentale è talvolta molto ridotto anche dopo un lungo trattamento ortodontico.
Da oggi il professionista ha uno strumento in più: il nuovo impianto Leone Exacone® 2.9, con un diametro massimo di soli 2,9 mm, che consente di inserire un impianto in tutta sicurezza in situazioni in cui le creste e gli spazi sono estremamente limitati.
Nonostante le sue ridotte dimensioni i test meccanici a fatica effettuati in accordo alla norma ISO 14801 attestano una eccezionale resistenza al carico masticatorio (Test statico: 360 N – Test a fatica: 220 N) e dimostrano come l’impianto Exacone® 2.9 sia il più resistente e stabile della sua categoria.
L’impianto Exacone® 2.9 presenta tutte le principali caratteristiche della linea implantare Leone, in particolare la connessione autobloccante a cono Morse e il Platform Switching design, con tutti i noti vantaggi in termini di annullamento dei micro-gap e dei micromovimenti all’interfaccia impianto-moncone, mantenimento dell’osso crestale negli anni e di semplificazione e sicurezza protesica.
Per garantire una elevata stabilità primaria l’impianto Exacone® 2.9 dispone di un passo di filettatura ravvicinato e di un apice conico che permette la sottopreparazione per aumentare la stabilità primaria in osso morbido.
L’impianto Exacone® 2.9 non richiede alcuna componentistica chirurgica o protesica speciale: si utilizzano le solite frese del kit chirurgico Leone e l’intera gamma di tappi di guarigione, transfer e monconi codificati in codice colore verde.
Di seguito presentiamo alcune testimonianze delle prime significative esperienze con il nuovo impianto Leone 2.9.

Dott. Mario guerra
Coordinatore di branca per l’Odontoiatria USL Umbria 1 Perugia
- Fig. 1 – Deficit orizzontale importante
- Fig. 2 – Con il 2.9 si evita l’espansione di cresta
- Fig. 3 – N°7 impianti 2.9 per una riabilitazione full arch
- Fig. 4 – Il sorriso della paziente è la soddisfazione del professionista

Dr. Leonardo Targetti
Libero professionista a Firenze
- Fig. 1 – CBCT sezione tridimensionale; si evidenzia la scarsa quantità ossea in senso trasversale
- Fig. 2 – Visione della cresta ossea; viene rimosso un piccolo frammento radicolare
- Fig. 3 – Inserimento di due impianti 2.9×12 mm
- Fig. 4 – Impianti in sede; grazie al diametro estremamente piccolo dell’impianto 2.9 lo spessore della corticale ossea vestibolare e palatale risulta idoneo

Dott. Fabrizio dell’Innocenti
Libero professionista a Ponsacco (PI)
- Fig. 1 – Deiscenza ossea dopo la perdita di un impianto
- Fig. 2 – Perforazione ed inserimento di impianto 2.9×14 mm nell’esiguo spessore osseo residuo
- Fig. 3 – Allettamento completo dell’impianto 2.9×14 mm con tappo di guarigione standard 1,5 mm
- Fig. 4 – Rigenerazione ossea con biomateriale

Dott. Salvatore Belcastro
Libero professionista a Perugia
- Fig. 1 – CBCT: importante carenza negli spessori ossei dell’arcata superiore
- Fig. 2 – Inserimento di un impianto 2.9×14
- Fig. 3 – Impianti inseriti: 2.9×12, 2.9×14, 3.3×12, 3.3×12, 2.9×14, 2.9×12
- Fig. 4 – OPT di controllo con impianti inseriti: tecnica sommersa

Dott.ssa Irene Frezzato
Libero professionista a Rovigo
- Figg. 1, 2 – Monoedentulia del 41 a 5 mesi dalla ridge preservation. Il sito rigenerato mostra una distanza bucco-linguale idonea all’inserimento di un impianto anche di diametro standard. La distanza interdentale è però fissa. Un diametro implantare ridotto aumenta la distanza dente-impianto favorendo la formazione della componente trasversale della ampiezza biologica
- Fig. 2
- Figg. 3, 4 – Finalizzazione della riabilitazione implanto-protesica della monoedentulia 41. Integrazione estetica e funzionale della protesi. Il biomateriale è in via di organizzazione
- Fig. 4

Dott. Leo Malin
Libero professionista a La Crosse Wisconsin Implant Director Las Vegas Institute for Advanced Dental Studies Las Vegas Nevada, USA
- Fig. 1 – Agenesia degli incisivi laterali superiori. L’immagine bidimensionale dell’ortopanoramica dopo il trattamento ortodontico mostra che lo spazio disponibile per l’inserimento di impianti è molto piccolo
- Fig. 2 – L’esame Cone Beam offre una visione tridimensionale della situazione; il software di pianificazione evidenzia che gli impianti Leone da 3,3 mm sono troppo grandi per lo spazio disponibile. La scelta ideale sono gli impianti Leone di 2,9 mm di diametro
- Fig. 3 – Incisivo laterale superiore di destra: il pin di parallelismo è utilizzato per valutare il sito chirurgico in modo da correggerlo e inserire l’impianto nella posizione ottimale
- Fig. 4 – Preparazione del sito e inserimento impianto in zona incisivo laterale superiore di sinistra. L’impianto Leone 2.9 ci ha permesso l’inserimento di impianti in questi due siti dove non sarebbe stato possibile usare impianti di diametro maggiore

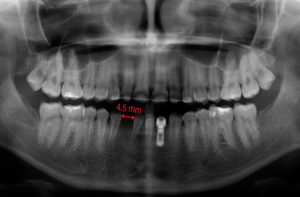
Dott. Jaroslaw Matuszak
Libero professionista a Mierzyn, Polonia
- Fig. 1 – Agenesia dell’incisivo laterale inferiore. Dopo il trattamento ortodontico lo spazio interdentale era di soli 4,5 mm. Si è pianificato l’inserimento di un impianto Leone 2.9
- Fig. 2 – Per via dello spazio molto limitato si è optato per un posizionamento sottocrestale dell’impianto
- Fig. 3 – 1 settimana dopo la consegna della corona definitiva, cementata extra-oralmente su un moncone MultiTech
- Fig. 4 – Ortopantomografia dopo la consegna e applicazione di un retainer ortodontico
