Autore: Dott. Antoine Monin.
In questo articolo si illustra il trattamento di un paziente totalmente edentulo in regione mascellare, trattato con una protesi totale di 12 elementi di tipo avvitato tipo “All-on-Six” a carico immediato.
Si è utilizzato il sistema implantare Leone che permette, grazie all’accoppiamento a cono Morse senza vite di connessione, di gestire senza limitazioni il parallelismo delle emergenze implantari, anche direttamente in fase chirurgica, qualunque sia l’angolazione scelta per gli impianti.
La gestione di questo parallelismo, quindi dei canali di accesso per le viti protesiche, è un problema comune a tutti i sistemi con protesi avvitata “a due fasi” (cioè con doppia vite di connessione, una impianto-moncone e una protesica), con cui si verificano spesso difficoltà di manipolazione intra-operatoria, soprattutto in presenza di monconi angolati. Questo difetto può essere compensato dalla scelta di una emergenza palatina per gli impianti, correndo però il rischio, nel mascellare superiore, di ridurre lo spazio linguale, provocando dei problemi di fonetica talvolta molto difficili da correggere.
Diagnosi
La sig.ra M. desidera stabilizzare la protesi completa mobile che ha nel mascellare. Non vengono rilevate controindicazioni al trattamento implanto-protesico di questa edentulia.
Dall’esame clinico e radiologico (Fig. 1) si denota, sia dal punto di vista quantitativo che qualitativo, un volume osseo residuo sufficiente a pianificare una riabilitazione protesica implanto-supportata su 6 impianti (“All-on-Six”).
Studio occlusale
Dallo studio della situazione occlusale emerge una chiara perdita della dimensione verticale (Fig. 2), che dovrà essere trattata prima di eseguire l’intervento, tramite la “aggiunta” di resina sulle protesi esistenti.
Il progetto protesico, corretto sull’articolatore e successivamente trasferito in bocca, viene equilibrato grazie al gioco di muscolatura che la paziente esegue simulando la funzione masticatoria (Fig. 3).
Il blocco anteriore mandibolare è stato quindi modificato “per addizione” (compositi incollati tipo “Onlays”), per adattarsi al nuovo progetto funzionale (Fig. 4).
Gli attriti meccanico-fisiologici così applicati alla protesi mobile corretta sono i più adatti ad assicurare la durata della stessa e a maggior ragione di quella della futura protesi implantare ripartendo idealmente le forze su tutti i monconi.
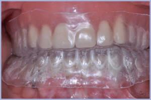
Le successive tappe chirurgico-protesiche vengono realizzate in funzione di questa protesi corretta e poi indossata dalla paziente, che contiene, in effetti, la preziosa impronta funzionale masticatoria della paziente. Si realizza, quindi, una copia identica di questa protesi (Fig. 5).
Questa “protesi bis” in resina trasparente sarà il nostro riferimento chirurgico, per la gestione degli assi implantari (Fig. 7), e protesico, per la scelta dei monconi angolati e per il rilevamento dell’occlusione.
Chirurgia
Il protocollo chirurgico è il seguente:
• Incisione crestale (Fig. 6) con scarico mediano in direzione della spina nasale anteriore
• Scollamento del lembo gengivale a tutto spessore
• Stabilizzazione dei lembi con filo di sutura
• Visualizzazione del punto mediano (Fig. 8)
• Identificazione delle emergenze protesiche ideali (Fig. 9)
• Angolazione a 25° dei due impianti 13 e 23 (Fig. 10)
• Preparazione del sito implantare (in accordo al protocollo del fabbricante)
• Inserimento degli impianti
Si sono posizionati 4 impianti Max Stability 4,5 x 12 mm nei siti mesiali e 2 impianti corti Exacone® 6.5 nei siti distali.
Posizionamento dei monconi per protesi avvitata
Al momento della scelta dei monconi e soprattutto della determinazione della loro angolazione, il sistema Leone si contraddistingue per la propria semplicità rispetto ai sistemi avvitati presenti sul mercato, necessariamente a doppia fase (cioè con doppia vite).
• Migliore precisione: la regolazione dell’emergenza delle teste filettate dei monconi è perfettamente aggiustabile e modificabile a piacimento, in quanto i monconi non sono stati ancora inconati negli impianti. L’operatore ha così tutto il tempo di parallelizzare le emergenze in bocca e, in seguito, di validare la propria scelta grazie alla “protesi bis”.
• Minor tempo di lavoro: grazie alla eliminazione delle fastidiose manipolazioni delle viti protesiche sui monconi angolati.
• Maggiore flessibilità: grazie all’utilizzo di monconi non indicizzati o dotati di connessione Exacone® 360°, che permettono ogni grado di rotazione del moncone intorno all’asse dell’impianto.
Si posizionano, quindi, con grande semplicità i monconi negli impianti, si attiva la connessione a cono Morse e si mettono le cuffie di protezione sulle teste dei monconi, (in questo caso si sono utilizzate delle cappette calcinabili, Fig. 11) per poter suturare i lembi intorno ai monconi stessi (Fig. 12).
Presa dell’impronta
Una ulteriore semplificazione è data dal fatto che i monconi diritti hanno una geometria di interfaccia con la sovrastruttura identica a quella dei monconi angolati.
Subito dopo la sutura, si prende una doppia impronta sui monconi già fissati agli impianti:
• la prima impronta con gli appositi transfer per monconi
• la seconda impronta con del silicone di occlusione, presa direttamente sulle cuffie posizionate sulle teste coniche dei monconi utilizzando la “protesi bis” (Figg. 13, 14).
La seconda impronta, che potrebbe essere definita anche “mascherina gengivale”, è molto importante per definire gli spazi occlusali, in particolare in un caso come questo in cui, per motivi estetici, la spalla protesica dei monconi è stata posizionata al di sotto del livello gengivale. Il laboratorio, che è in possesso di una chiave di montaggio riposizionabile sul modello antagonista, ha così tutti gli strumenti per realizzare una struttura avvitata ideale.
L’odontotecnico cola il modello (Figg. 15, 16) e lo posiziona nell’articolatore insieme all’antagonista.
Si utilizzano poi le cappette in titanio, che vengono incollate all’armatura ed assicurano una perfetta passività a questa sovrastruttura. Il montaggio dei denti sull’armatura avviene con una resina autopolimerizzante utilizzando la chiave di riposizionamento in silicone; si ottiene così la protesi finale (Fig. 17).
Posizionamento della protesi definitiva
Una volta rimosse le cuffie di protezione, l’operatore posiziona il ponte avvitato (Fig. 18), controlla la chiusura di tutte le viti protesiche e procede con le regolazioni occlusali.
Il controllo radiografico post-operatorio assicura la perfetta passività della sovrastruttura (Fig. 19). La paziente riceve le abituali indicazioni post-operatorie e lascia lo studio.
La incontreremo di nuovo per il controllo dopo 8 giorni, per rimuovere i punti di sutura accessibili (cioè senza rimuovere la protesi), poi a distanza di 45 giorni dall’intervento (prima della ripresa dell’alimentazione solida) per verificare la corretta distribuzione delle sollecitazioni occlusali in fase di masticazione.
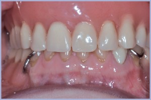
Salvo eventuali complicanze, nessuna rimozione della protesi è prevista prima di un periodo di tre mesi. Il controllo clinico a 3 mesi evidenzia una perfetta guarigione dei tessuti molli (Fig. 20).
- Fig. 1 – OPT pre-operatoria
- Fig. 2 – Perdita della dimensione verticale della protesi pre-esistente
- Fig. 3 – Correzione occlusale
- Fig. 4 – Protesi pre-esistente modificata
- Fig. 5 – Prova in bocca della copia in resina translucida (“protesi bis”) della nuova protesi
- Fig. 6 – Incisione crestale
- Fig. 7 – “Protesi bis” utilizzata come guida chirurgica
- Fig. 8 – Visualizzazione del punto mediano
- Fig. 9 – Identificazione delle emergenze protesiche ideali
- Fig. 10 – Angolazione a 25° dei due impianti 13 e 23
- Fig. 11 – Posizionamento dei monconi per protesi avvitata
- Fig. 12 – Sutura
- Figg. 13-14 – Impronta per il rilevamento dell’occlusione
- Fig. 14
- Figg. 15-16 – Realizzazione del modello di lavoro partendo dall’impronta presa con i transfer per monconi
- Fig. 16
- Fig. 17 – Realizzazione della protesi avvitata
- Fig. 18 – Posizionamento in bocca della protesi
- Fig. 19 – OPT post-operatoria
- Fig. 20 – Controllo clinico a 3 mesi dall’intervento
Discussione
Questo caso clinico illustra l’efficienza intra-operatoria di un sistema a connessione conica pura (senza viti) in caso di protesi completa avvitata.
Il sistema qui presentato permette all’operatore di risparmiarsi il troppo spesso difficile inserimento di monconi angolati per protesi avvitata per sistematiche con viti di connessione.
Questa fase, in tali sistemi, è resa molto più complessa dall’indicizzazione delle connessioni avvitate che obbligano il chirurgo a identificare la posizione del riferimento angolare durante l’intervento, in condizioni spesso complicate.
È facilmente comprensibile che un sistema a “doppio avvitamento” consenta una minore “flessibilità” nella regolazione delle angolazioni di ogni componente protesica e talvolta obblighi il medico a successive sostituzioni di uno o più monconi.
Le sostituzioni del moncone a distanza dalla chirurgia dovrebbero essere evitate perché, inevitabilmente accompagnate da una completa ristrutturazione della protesi, generano notevoli costi supplementari in fase protesica.
La tecnica di incollaggio delle cappette in titanio permette una perfetta passivazione della struttura fusa tradizionale. Questa soluzione protesica risponde perfettamente, in termini di tempo, alle esigenze dei nostri pazienti.
Una simile protesi provvisoria, interamente passiva e concepita, come descritto, a monte della fase chirurgica, è in seguito utilizzabile a tutti gli effetti anche come protesi definitiva.
In futuro ulteriori miglioramenti arriveranno senza dubbio dalla tecnologia CAD-CAM che, al di fuori del vantaggio di una gestione interamente in studio di tutto il processo, dalla colatura del modello fino alla fabbricazione della struttura fresata, non permette ad oggi, in riabilitazioni complesse come questa, di rispettare le tempistiche richieste da una procedura di carico immediato.
Realizzazioni protesiche: Laboratorio odontotecnico LOUBAT – Menton (Francia)




















