Autore: Dott. Paolo Mazzola.
Io sono un odontoiatra del tutto generico e nel mio studio monoprofessionale svolgo personalmente tutte le attività, dal detartraggio alla protesizzazione degli impianti.
Da più di un lustro utilizzo, con piena soddisfazione, le varie linee del Sistema Implantare Leone. Tra i molteplici restauri implantoprotesici che ho realizzato negli anni ne ho scelto tre, con i quali vorrei testimoniare gli eccellenti risultati clinici che ottengo nella mia pratica clinica con l’impianto Leone e come questi si mantengono nel tempo.
1° Caso clinico
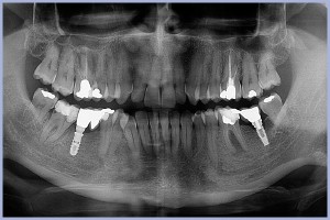
Il 22 maggio 2007 inserii al paziente E. L. un impianto con connessione ad esagono esterno in zona edentula 3.7.
Le misure dell’impianto erano diametro 4 mm per 10 mm di lunghezza. Il 2 aprile 2008 fu la volta invece di un impianto Leone D 4,1 per 10 mm di lunghezza in zona 4.6. Entrambi gli impianti furono protesizzati con corone in metallo ceramica con un’estensione mesiale, che io a quei tempi reputavo necessaria come elemento antirotazionale. Non rividi più il paziente fino al novembre 2013, quando si presentò nel mio studio per una carie penetrante a livello del 4.7.
La situazione degli impianti era quella testimoniata dalla ortopantomografia (Fig. 1):
- Fig. 1 – Ortopantomografia a distanza rispettivamente di 6 anni e mezzo e 5 anni e mezzo dall’inserimento degli impianti
Si nota come non vi sia cono di riassorbimento a livello dell’impianto Leone, evento che purtroppo si presenta nel caso dell’impianto con connessione ad esagono esterno. Si aggiunga il fatto che la vite di connessione di quest’ultimo si è allentata, provocando la mobilità della corona. Ho dovuto intervenire forando la capsula occlusalmente, per poi “tirare” la vite stessa con il cacciavite da 1,2 mm; questa è sempre un’operazione che induce un po’ di ansia, per il rischio di rovinare l’esagono della vitolina. Lo svitamento della vite di connessione è il motivo per cui, sei anni fa, passai alla metodica Leone.
2° Caso clinico
Il 13 maggio 2008 estrassi al paziente R. M. il dente 4.6 perché profondamente compromesso (Fig. 2).
In data 3 luglio del medesimo anno inserii nella zona edentula un impianto Leone diametro 4,1 per 12 mm di lunghezza (Figg. 3 e 4). Durante il mese di dicembre 2008 protesizzai l’impianto con una corona in metallo ceramica. Poi per cinque anni non rividi più il paziente. Nell’ottobre del 2013 il medesimo paziente si presentò nel mio studio per delle carie.
La situazione dell’impianto è quella testimoniata dalla panoramica (Fig. 5).
- Fig. 2 – RX iniziale. Visione del dente 4.6 profondamente compromesso
- Fig. 3 – Situazione prima dell’inserimento dell’impianto
- Fig. 4 – RX di controllo: impianto Leone diametro 4,1 x 12 mm in posizione 4.6
- Fig. 5 – Ortopantomografia a distanza di 5 anni
Anche in questo caso il profilo osseo si è mantenuto, senza cono di riassorbimento, nonostante l’assoluta mancanza di igiene professionale per quasi cinque anni.
3° Caso clinico
Il 29 luglio 2009 il paziente A. P., bruxista digrignatore, si recava presso il mio studio odontoiatrico, presentando una frattura interradicolare del 2.6.
- Fig. 6 – RX iniziale. Visione della frattura interradicolare del 2.6
Estrassi il dente le cui radici mesio-vestibolare e mesio-distale misuravano 9 mm, la palatale 12 mm.
In data 16 ottobre 2009 inserii nel sito edentulo un impianto Leone diametro 4,8 per 10 mm di lunghezza, associato ad un intervento di rialzo del seno per via transettale, senza l’apporto di alcun riempitivo (Fig. 7). In data 29 ottobre 2009 tolsi i punti di sutura e dimisi il paziente che non presentava alcuna sintomatologia, né problema (Fig. 8).
- Fig. 7 – RX di controllo post-operatorio
- Fig. 8 – RX di controllo dopo aver tolto i punti
Nei mesi di aprile e maggio 2010 protesizzai l’elemento. Il 20 ottobre 2013 la situazione radiologica era la seguente:
La piramide ossea intorno all’impianto mostra un guadagno di struttura, quantificabile con un calcolo approssimativo con il programma KODAK Dental Imaging Software 6.8 di oltre 5 mm.
In conclusione si evidenzia come, rispettando rigidamente i protocolli indicati del fabbricante, anche il comune odontoiatra generico riesca a raggiungere buoni risultati che si mantengono stabili nel tempo.









