Autori: Dott.ssa Irene Frezzato, Dott. Alberto Frezzato.
Il raggiungimento di un risultato immediato e la stabilità del risultato nel tempo sono frutto di molte variabili legate alle caratteristiche del paziente, dell’operatore e del sistema implantare.(1)
Le variabili relative al paziente sono di carattere generale (fattori genetici, malattie sistemiche, farmaci, fumo, abitudini igieniche) e di carattere locale (volume e qualità ossea, fattori microbiologici, parodontiti, biomarker ossei, occlusione, parafunzioni…). Le variabili relative al curante comprendono la formulazione di una corretta diagnosi e di un adeguato piano di trattamento, una precisa esecuzione chirurgica, in particolare disegno del lembo e tecniche di preparazione del sito, una corretta esecuzione protesica (tipo di protesi, modalità di carico, cantilever, gestione dell’ampiezza biologica…).
I fattori implantari comprendono: design implantare, macro e microgeometria, superficie, connessione implant-abutment, one o two-piece, tecnica sommersa/non sommersa ecc. Tali numerose variabili si intersecano necessariamente fra loro: il successo è ottenibile solo con una precisa e scrupolosa attenzione ad ognuna di queste. I criteri a tutt’oggi adottati per definire il successo implantare sono quelli proposti da Albrektsson e Zarb:(2) questi sono orientati a valutare prevalentemente gli aspetti ossei dell’impianto. Tali criteri, pur diffusamente accettati ed usati come metodo di valutazione del successo implantare, appaiono insufficienti alle necessità valutative attuali(3) che comprendono altri aspetti, come la stabilità della connessione protesico-implantare,(4) l’estetica soprattutto in zona frontale(5) e, non ultimo, la soddisfazione del paziente.(6,7)
Se molti fattori coinvolti nel rimodellamento osseo perimplantare possono sfuggire al nostro controllo, come ad esempio genetica ed abitudini del paziente, alcuni fattori dipendono da noi, come ad esempio la formulazione del piano di trattamento, la corretta esecuzione chirurgico-protesica ecc. Fondamentale appare l’utilizzo di un sistema implantare adeguato ed affidabile.
Utilizzatori del sistema implantare Exacone® da oltre 10 anni, gli autori riportano il controllo a distanza di 3 case report relativi a trattamento implanto-protesico di monoedentulia, di edentulia parziale e di edentulia totale. Sono esemplificativi della affidabilità del sistema implantare Leone.
Realizzazioni protesiche: Laboratorio odontotecnico Ceramodent di Paolo Morbiato e C. – Padova
Caso 1
Il primo case report è del 2003: riguarda una paziente di 44 anni, in cui il piano di trattamento comprendeva la sostituzione per vetustà di una protesi su pilastri naturali 25-27 con elemento in estensione 24 (Fig. 1). Si è optato per la sostituzione della vecchia protesi 25-27, in lega-resina, con una nuova protesi 25-27 in metallo-ceramica senza elemento mesiale in estensione, e per la sostituzione dell’elemento 24 in estensione tramite corona singola a supporto implantare. Il trattamento è stato di tipo bifasico, secondo protocollo tradizionale. La chirurgia è stata eseguita tramite apertura di lembo a tutto spessore: la cresta ossea è apparsa di ridotta ampiezza trasversale, si è eseguita una preparazione osteotomica secondo il concetto REO (Ridge Expansion Osteotomy) di Summers(8) e si è inserito un impianto 3,3×12 mm, pari cresta, con rispetto delle distanze mesio-distali e bucco-linguali (“comfort zones”) (Fig. 2). Il controllo radiografico post-operatorio conferma il corretto posizionamento dell’impianto “narrow” per tutta l’altezza ossea disponibile (Fig. 3).
A distanza di 3 mesi si è proceduto alla finalizzazione protesica (Figg. 4, 5). Il controllo clinico e radiografico, eseguito a oltre 10 anni di distanza, mostra il mantenimento della stabilità tissutale e dell’estetica iniziale: non sono evidenziabili segni di flogosi (se si esclude una modesta gengivite marginale a carico dei pilastri naturali). Tutti i parametri di successo sono rispettati: in particolare non si è verificata alcuna perdita ossea. Non si è verificata recessione dei tessuti molli. Questo risulta particolarmente importante perché in zona estetica (Figg. 6,7).
- Fig. 1 – Anno 2003. Immagine radiografica: il progetto implanto-protesico concerne il sito edentulo 24, sede di elemento protesico in estensione
- Fig. 2 – Alla preparazione osteotomica con metodica REO di Summers del sito implantare segue inserimento manuale di un impianto “narrow” (3,3×12 mm)
- Fig. 3 – Immagine radiografica post-operatoria dell’impianto, che sfrutta tutta l’altezza ossea a disposizione
- Fig. 4 – Immagine clinica della protesi fissa su pilastri naturali 25-27 e della corona implanto-supportata 24
- Fig. 5 – Immagine radiografica dell’impianto 24 al momento della consegna protesica (anno 2003)
- Fig. 6 – Immagine clinica della protesi implanto-supportata in sede 24 a oltre 10 anni (anno 2013). Si riscontra stabilità tissutale ed estetica
- Fig. 7 – Immagine radiografica del controllo a oltre 10 anni (2013): stabilità ossea senza alcuna perdita di altezza
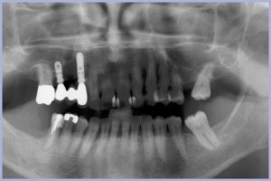
Caso 2
Il secondo case report (già pubblicato con un controllo ad 1 anno nell’Exacone® News n° 6) è inerente a una paziente donna di 66 anni trattata nel 2004 per una edentulia parziale intercalata al primo quadrante, conseguente ad estrazione di elemento 13 pilastro di protesi, per patologia parodontale non trattabile (Figg. 8, 9). Il piano di trattamento prevede una protesi a ponte di tre elementi implanto-supportata 15-13. Si mantiene l’elemento 16 come pilastro di sostegno della protesi preesistente per tutto il periodo della guarigione. Si pratica una chirurgia con lembo e si esegue una preparazione osteotomica dei due siti. In sede 15 si esegue la tecnica BAOSFE (Bone-Added Osteotome Sinus Floor Elevation) secondo Summers: l’altezza ossea è di circa 8 mm e si posiziona un impianto 4,1×10 mm. In sede 13 si posiziona un impianto 4,1×12 mm con tecnica OSFE (Osteotome Sinus Floor Elevation) (Figg. 10, 11). L’osso è di qualità 3, la stabilità primaria è buona. La sede 13 presenta ipotrofia verticale ed orizzontale (pregressa lesione parodontale) e quindi si pratica una GBR mediante membrana “Goretex” fissata con due chiodini.
A 5 mesi si effettua il rientro e si rimuove la membrana: si apprezza un ripristino dei volumi prima mancanti (Fig. 12). Dopo la guarigione dei tessuti molli si può finalizzare protesicamente il caso (Figg. 13, 14). Si rileva una integrità dei tessuti duri e molli ed una corretta integrazione estetica del manufatto nell’ambito del cavo orale. Abbiamo rivisto la paziente nel 2012, a distanza di 8 anni: il risultato si è mantenuto nel tempo, i tessuti appaiono sani ed i volumi sono sovrapponibili al tempo “0” (Fig. 15). La radiografia mostra un mantenimento del livello osseo sovrapponibile al quadro iniziale (Fig. 16). La soddisfazione della paziente è la nostra soddisfazione.
- Figg. 8, 9 – Quadro clinico-radiografico iniziale (anno 2004): fallimento protesico al primo quadrante per parodontite grave complicata al pilastro 13, non recuperabile
- Fig. 9
- Fig. 10 – Dopo preparazione osteotomica dei due siti implantari si sono posizionati 2 impianti: 4,1×10 mm in sede 15 (Tecnica BAOSFE) e 4,1×12 mm in sede 13 (Tecnica OSFE). In sede 13 si pratica una GBR con membrana fissata con due chiodini
- Fig. 11 – Immagine radiografica post-operatoria dell’intervento implantare
- Fig. 12 – Rimossa la membrana si apprezza una ricostituzione dei volumi ossei
- Fig. 13 – Finalizzazione protesica: quadro clinico
- Fig. 14 – Finalizzazione protesica: immagine radiografica
- Fig. 15 – Immagine clinica al controllo dopo 8 anni (anno 2012). Mantenimento dei volumi tissutali. Stabilità del risultato nel tempo
- Fig. 16 – Immagine radiografica al controllo dopo 8 anni (anno 2012). Mantenimento dei livelli ossei. Stabilità ossea nel tempo
Caso 3
Il terzo case report riguarda una paziente donna di anni 74 sottoposta nel 2007 a trattamento implanto-protesico “full arch” dell’arcata superiore, con procedura di carico immediato, eseguito in tecnica flapless.(9) La paziente era portatrice di una protesi totale mobile nell’arcata superiore, ritenuta soddisfacente dal punto di vista estetico e funzionale, ma non accettata dal punto di vista psicologico. La sua richiesta era di avere denti fissi nel più breve tempo possibile, senza avere dolore. L’esame della ortopantomografia (Fig. 17) evidenziava altezza ossea sufficiente all’inserimento implantare. La TC spirale portata dalla paziente permetteva di evidenziare un osso piuttosto rarefatto, di qualità 3-4 soprattutto nei settori posteriori, ma volumi ossei sufficienti al posizionamento implantare in tecnica flapless (Fig. 18). Il piano di trattamento, rivolto a soddisfare le richieste della paziente, ha previsto una protesi implanto-supportata “full arch”, a carico immediato, eseguita in chirurgia flapless sotto sedazione vigile. Il fattore di rischio relativo alla scarsa qualità ossea è stato affrontato aumentando il numero degli impianti (sono stati posizionati 10 impianti) e utilizzando la massima lunghezza possibile in relazione al sito. Inoltre la paziente non richiedeva al momento una riabilitazione delle selle edentule posteriori inferiori e quindi gli impianti posteriori inseriti in osso di scarsa qualità venivano risparmiati dal carico diretto. La programmazione del caso è avvenuta mediante l’utilizzo di una mascherina radiologica, costruita dopo ceratura diagnostica, che ha permesso di valutare le corrette distanze mesio-distali dei siti implantari. Il mappaggio della mucosa ha permesso di evidenziare gli spessori della mucosa nei vari siti implantari. Le misure dello spessore mucoso sul versante vestibolare, crestale e palatale dei vari siti implantari sono state sottratte allo spessore totale del modello in gesso così da evidenziare il reale spessore osseo disponibile. Queste indicazioni hanno guidato il corretto posizionamento degli analoghi implantari sul modello in gesso. Dal modello in gesso è stata ricavata una mascherina chirurgica che ha guidato la fresa pilota iniziale nella preparazione flapless (Fig. 19). La preparazione flapless è stata perfezionata mediante osteotomi. L’inserimento dei transfer e la relativa impronta hanno permesso la costruzione in laboratorio di un modello di lavoro che riproduceva l’esatta posizione implantare. Su tale modello sono stati inseriti i monconi in titanio pieno fresati al parallelometro. Quindi è stato preparato un provvisorio in composito su struttura metallica di sostegno. A 24 ore dall’intervento chirurgico si è provveduto alla consegna della protesi circolare provvisoria. Il quadro clinico era nettamente favorevole: nessun sanguinamento, assenza di edema, dolore trascurabile. Si è proceduto all’inserimento dei monconi tramite battitura con apposito percussore (Fig. 20) e si è cementata la protesi con cemento provvisorio Temp Bond (Fig. 21). L’ortopantomografia immediatamente successiva ha permesso di controllare il fitting protesico sugli impianti (Fig. 22). L’estetica e la funzionalità hanno soddisfatto la paziente. In 26 ore si è completata la procedura di carico immediato. A distanza di 6 mesi il provvisorio è stato sostituito da una protesi circolare definitiva in oro-ceramica. Sono state eseguite le varie valutazioni funzionali ed estetiche ed è stato eseguito un controllo radiografico (Fig. 23). Nel tempo la paziente è stata seguita mediante controlli periodici, includenti igiene professionale. Il controllo estetico, clinico e radiologico nel 2014, dopo quasi 7 anni (Figg. 24-26), permette di constatare un mantenimento dei livelli tissutali e dell’estetica nel tempo. Non si sono verificate complicanze implantari e/o protesiche. La paziente manifesta la sua soddisfazione per il trattamento eseguito.
- Fig. 17 – Radiografia panoramica pre-intervento
- Fig. 18 – TC spirale pre-intervento: le varie proiezioni permettono di valutare la presenza di volumi sufficienti per intervenire in tecnica flapless. L’osso appare rarefatto
- Fig. 19 – Sul modello in gesso viene costruita una mascherina chirurgica utilizzata durante l’intervento implantare per il passaggio della fresa pilota. Si perfeziona la preparazione flapless mediante osteotomi
- Fig. 20 – Inserimento dei monconi 24 ore dopo la chirurgia implantare
- Fig. 21 – Procedura di carico immediato: consegna del manufatto provvisorio metallo-composito a 24 ore dall’intervento
- Fig. 22 – Controllo radiografico al momento della consegna del manufatto provvisorio
- Fig. 23 – Immagine radiologica della protesi definitiva in sede
- Fig. 24 – Controllo clinico a 7 anni
- Fig. 25 – Controllo radiografico a 7 anni
- Fig. 26 – Controllo a 7 anni. Estetica protesica integrata nell’estetica del viso
Bibliografia:
1) Canullo L, Cocchetto R, Loi I. Rimodellamento osseo perimplantare. Quintessenza Edizioni. 2012
2) Albrektsson T, Zarb GA. Determinants of correct clinical reporting. Int J Prosthodont 1998;11:517-521
3) Lops D, Chiapasco M, Rossi A, Bressan E, Romeo E. Incidence of interproximal papilla between a tooth and a adiacent immediate implant placed into a fresh extraction socket: 1-year prospective study. Clin Oral Impl Res 2008;19:1135-1140
4) Mangano F, Mangano C, Ricci M, Sammons RL, Shibli JA, Piattelli A. Single-tooth Morse taper connection implants placed in fresh extraction sockets of the anterior maxilla: an aesthetic evaluation. Clin Oral Impl Res 2012;23:1302-1307
5) Raes F, Cosyn J, Crommelinck E,Coessens P, De Bruyn . Immediate and conventional single implant treatment in the anterior maxilla: 1-year results of a case series on hard and soft tissue response and aesthetics. J Clin Periodontol 2011;38:385-394
6) Mangano C, Mangano F, Muscas M, Figliuzzi M, Piattelli A. Studio prospettico multicentrico su 2707 impianti a connessione conometrica. Implantologia 2010;2:13-23
7) Furze D, Byrne A, Donos N, Mardas N. Risultati clinici ed estetici di impianti singoli nel mascellare anteriore. Implantologia 2012;2:37-45
8) Summers RB. The Osteotome technique: Part 2 – The ridge expansion osteotomy (REO) procedure. Compendium Cont Educ Dent 1994;15:422-436
9) Frezzato A, Frezzato I, Tocchio C. Chirurgia minimamente invasiva per riabilitazione implanto-protesica a carico immediato di mascellare superiore edentulo: case report. Italian Oral Surgery 2009;4:223-233


























