Autore: Dott. Fabrizio Dell’Innocenti.
In questo Case Report descriviamo un affollamento dentale gestito con soluzione implantoprotesica contro la più classica e condivisibile soluzione ortodontica. Per motivi di tempo e per la mancata accettazione di un apparecchio ortodontico fisso, oggi sempre di più il paziente chiede soluzioni rapide e circoscritte al sito interessato.
Paziente di sesso maschile di anni 45 in buone condizioni di salute generale presenta una condizione di affollamento in sede 4.1 / 4.2 con compromissione parodontale superficiale e profonda dei siti suddetti (Fig. 1).
Procediamo all’estrazione degli elementi dentari 4.1 e 4.2 da cui residua un’importante deiscenza dei tessuti molli linguali. Notiamo inoltre come le estrazioni evidenzino uno spazio interdentale residuo anomalo con ampiezza al terzo incisale minore rispetto alla stessa al terzo cervicale. I suddetti due particolari rappresentano i punti focali di questo trattamento (Fig. 2).
Liberiamo un lembo linguale e un lembo vestibolare “a scorrimento” che ci permetterà di coprire tutto il letto operatorio. La visione incisale ci permette di identificare l’alveolo dentale dell’elemento 4.1 completamente conservato e collocato mesialmente adiacente all’elemento 3.1. Diversamente il sito alveolare dell’elemento 4.2 risulta mancante della parete linguale e dislocato linguo-distalmente al precedente (Fig. 3).
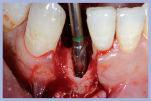
Decidiamo di utilizzare l’alveolo dell’elemento 4.1 modificandolo in fase di perforazione, questo comporta un’inclinazione di perforazione ad emergenza distale. Utilizzando un impianto Leone cilindrico trasformiamo la cavità alveolare residua da tronco-conica a cilindrica. Quanto sopra ci permette di recuperare stabilità primaria al terzo medio e apicale (Fig. 4).
Per la fase ricostruttiva utilizziamo i biomateriali della linea Biomimetic Line. Allettiamo l’impianto nell’alveolo implantare precedentemente costruito chiudendo con un tappo basso con connessione conica standard h 1,5 mm. L’uso del tappo basso anziché del tappo di chiusura determina una geometria di guarigione “Platform Switching” del tratto transmucoso già in fase intraoperatoria.
Riempiamo gli spazi vuoti perimplantari con il sostituto osseo sintetico MBCP+ utilizzando la granulomentria da 0,5 – 1 mm intorno all’impianto e da 1 – 2 mm per riempire il sito alveolare linguodistale dell’elemento 4.2. Le caratteristiche elettive di questi granuli sono la bioattività e la completa sostituzione con osso vitale. Dopo aver posizionato i granuli copriamo il letto chirurgico con la membrana EZ Cure in collagene di origine suina che rimarrà attiva per circa quattro mesi. I valori aggiunti di questa membrana sono la grande adattabilità tridimensionale, la perfetta aderenza all’osso e la microporosità che garantisce la diffusione dei fluidi nutritivi (Fig. 5).
L’intervento si completa con una sutura attenta che possa garantire la chiusura stabile del campo operatorio (Fig. 6).
Vediamo poi la condizione di salute dei tessuti molli nel momento in cui togliamo i punti di sutura (Fig. 7).
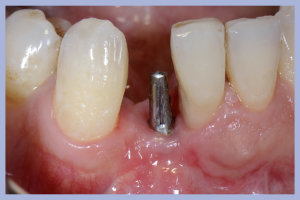
Trascorsi tre mesi dall’intervento pratichiamo una piccola incisione sul tessuto crestale, intercettiamo e sostituiamo il tappo basso con un tappo di guarigione di h 7 mm. Su questo tappo ribasiamo e modelliamo un provvisorio preformato che possa calare nella zona interdentale incisale e che aumenti di volume nella zona cervicale in modo da riempire adeguatamente lo spazio papillare (Fig. 8).
Dopo ancora un mese verifichiamo la salute e la geometria “Platform Switching” del tratto transmucoso che incrementa il tessuto molle connettivo in altezza e in volume sigillando e proteggendo l’osso marginale (Fig. 9).
Ultimo passaggio: la corona ceramica definitiva.
L’immagine del moncone svela l’esclusiva connessione Leone che assicura l’assenza di micromovimenti e infiltrazioni migliorando la salute dei tessuti molli. Nel caso specifico necessitava una volumetria particolare della corona ceramica definitiva riassumibile nei seguenti punti:
a) uno scavo distale e linguale che permettesse la discesa;
b) una posizione coronale vestibolare avanzata in leggera sovrapposizione all’elemento 4.3;
c) un terzo gengivale “a goccia” che chiudesse il grande spazio vuoto papillare distale;
d) una caratterizzazione cromatica dell’abbozzo radicolare che copiasse lo stesso a livello dei denti naturali (Fig. 10).
Il Case Report si completa con la raccolta della radiologia iniziale, dell’intervento, della sostituzione del tappo di guarigione, della fine cura a 5 mesi (Fig. 11); si chiude infine con l’accostamento delle immagini del caso iniziale e finale (Fig. 12).
- Fig. 1
- Fig. 1a
- Fig. 1b
- Fig. 2
- Fig. 2a
- Fig. 2b
- Fig. 2c
- Fig. 3
- Fig. 3a
- Fig. 3b
- Fig. 4
- Fig. 4a
- Fig. 4b
- Fig. 5
- Fig. 5a
- Fig. 5b
- Fig. 5c
- Fig. 6
- Fig. 6a
- Fig. 6b
- Fig. 7
- Fig. 7a
- Fig. 7b
- Fig. 8
- Fig. 8a
- Fig. 8b
- Fig. 8c
- Fig. 9
- Fig. 9a
- Fig. 9b
- Fig. 10
- Fig. 10a
- Fig. 10b
- Fig. 11
- Fig. 11a
- Fig. 11b
- Fig. 11c
- Fig. 12
- Fig. 12a
Realizzazioni protesiche: Laboratorio “SP LaborDental”di Stolfi, Parolo e Meloni – Ospedaletto (PI)







































