Autori:Â Dr. Mario Guerra, Dr. Leonardo Palazzo, Dr. Fulvio Floridi, Dr. Salvatore Belcastro.
La gestione implanto-protesica delle edentulie totali rappresenta un capitolo importante dell’implantologia moderna. L’atrofia dei mascellari non sempre consente una riabilitazione fissa su impianti con protesi cementata o avvitata. La protesi ibrida in tali casi rappresenta l’opzione di scelta. Si tratta di un particolare tipo di protesi totale con la caratteristica di essere ancorata su pilastri naturali o impianti osteointegrati. Ciò consente una ottima ritenzione meccanica del manufatto che comporta una maggiore stabilità protesica con la garanzia di una estetica migliore ed una fonazione adeguata. Di seguito si illustra un caso di paziente con edentulia totale dell’arcata superiore riabilitata con una protesi combinata su impianti.
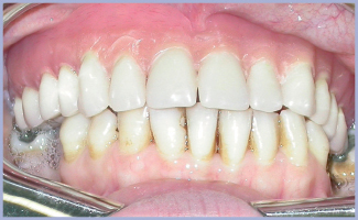
La paziente, di anni 44, a causa di una grave sofferenza dento-parodontale, ha perso tutti gli elementi dentali (fig. 1). Si decide di inserire 4 impianti per sostenere una protesi combinata, nel frattempo si realizza una protesi provvisoria (fig. 2). I quattro impianti diametro 3,3 mm vengono inseriti nelle zone 13, 14 e 22, 23 con l’uso alternato di frese ed osteotomi in relazione alla scarsa qualità ossea reperita. In considerazione delle esigenze estetiche e funzionali della paziente si opta per una tecnica sommersa (figg. 3-16). Dopo il condizionamento dei tessuti molli (fig. 17), si prende l’impronta con i transfer per la preparazione dei monconi e la realizzazione della protesi definitiva in laboratorio (figg. 20-22), si inseriscono i monconi negli impianti (figg. 18-19) e si posiziona il manufatto protesico (figg. 23, 24).
La soluzione implantoprotesica della protesi combinata presenta gli indubbi vantaggi della protesi cementata (agevole ricerca del fitting, eliminazione delle viti di fissaggio) associati alla semplicità esecutiva familiare a tutti i dentisti.
Trova indicazione soprattutto nelle situazioni in cui lo scarso o moderato riassorbimento crestale in zona anteriore non consente di avere gli spazi adeguati per le componentistiche delle mesio-strutture di altri tipi di protesi ibride (barre fresate in particolare).
- Fig. 1
- Fig. 2
- Fig. 3
- Fig. 4
- Fig. 5
- Fig. 6
- Fig. 7
- Fig. 8
- Fig. 9
- Fig. 10
- Fig. 11
- Fig. 12
- Fig. 13
- Fig. 14
- Fig. 15
- Fig. 16
- Fig. 17
- Fig. 18
- Fig. 19
- Fig. 20
- Fig. 21
- Fig. 22
- Fig. 23
- Fig. 24
Realizzazioni protesiche:Â Laboratorio Odontotecnico Wilocs – Roma
























