Autori: Dr. Alberto Frezzato, Dr.ssa Irene Frezzato.
La presenza di atrofia ossea comporta sempre per il clinico una attenta valutazione prospettica sui risultati funzionali ed estetici del caso. È impensabile ottenere risultati estetici in caso di grave atrofia. Il problema dei “triangoli neri interdentali” può essere ridotto, in mancanza di trattamenti più completi e complessi, tramite ricontorno in composito delle corone dentarie. La posizione del labbro a riposo e durante il sorriso è fondamentale nell’evidenziare o mascherare tale inestetismo. Il ricorso a tecniche osteotomiche permette, con intervento scarsamente invasivo, di espandere il sito implantare. L’inserimento dell’impianto immediato in sito post-estrattivo comporta l’applicazione in vario grado di tecniche rigenerative.
Il grado di atrofia condiziona la direzione di inserzione degli impianti. Nel mascellare superiore l’atrofia si verifica nei tre piani dello spazio in senso centripeto e gli impianti saranno inseriti tanto più orizzontali quanto più marcata è l’atrofia. Nel caso in esame si verifica tale evenienza: ne consegue la necessità di usare monconi molto angolati. Monconi di titanio pieni fresabili ci permettono di sopperire alla notevole angolazione tra protesi e impianti. Ovviamente il carico risulta disassato rispetto all’asse implantare: è un compromesso dal punto di vista biomeccanico. Nel caso in esame il carico è ridotto dalla parziale assenza di antagonisti. L’eccessiva angolazione dei monconi comporterà un profilo di emergenza protesico non adeguatamente estetico. Solo una posizione più profonda dell’impianto permetterà di emergere col manufatto con un profilo più edeguato. La presenza di una connessione moncone-impianto in profondità comporta peraltro maggiori rischi di “instabilità microbiologica”. È, infatti, la presenza del gap moncone-impianto responsabile del riassorbimento osseo peri-cervico-implantare. Spesso una migliore estetica sarà un compromesso con il mantenimento microbiologico.
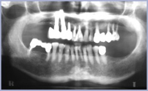
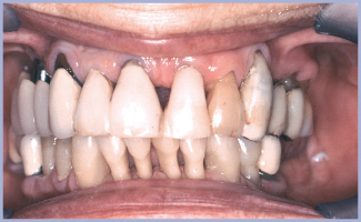
Paziente di sesso femminile di anni 74, affetta da parodontopatia cronica a lenta evoluzione che presenta marcata atrofia delle selle (figg. 1-3). La protesi al 2° quadrante data da oltre 20 anni e non risulta più adeguata alla funzione masticatoria per estrema mobilità sotto carico (fig. 4).
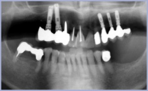
Si stabilisce un piano di trattamento che preveda una riabilitazione del 2° quadrante mediante protesi fissa supportata da impianti, secondo una procedura a due tempi (impianti post-estrattivi immediati e carico a distanza ad avvenuta osteointegrazione). L’intervento è trattato in ansiolisi. Si inseriscono 2 impianti diametro 4,1 mm lunghezza 12 mm post-estrattivi immediati in sede +3 e +5. Si inserisce un impianto diametro 3,3 mm lunghezza 12 mm su sito maturo in sede +4. In sede +3 si esegue un’espansione verticale di cresta secondo tecnica OSFE – Osteotomy Sinus Floor Elevation – di Summers per poter utilizzare un impianto sufficientemente lungo. Si esegue un intervento rigenerativo nella zona crestale in presenza di deiscenza alveolare, tramite apposizione di bone chips. Analogo trattamento si esegue in sede +5 (OSFE + bone chips). In sede +4 si esegue un’espansione trasversale tramite tecnica REO – Ridge Expansion Osteotomy – (figg. 5-10). All’atto dell’intervento implantare si confeziona, per fini estetici, un provvisorio di resina +2+6 (fig. 11) da mantenere per tutto il periodo della guarigione conservando il pilastro naturale +6, già rizectomizzato (fig. 12). Ad osteointegrazione avvenuta si effettua il secondo rientro chirurgico che permette di rimuovere i tappi di chiusura e di inserire i tappi di guarigione (fig. 13). Il pilastro +6, già rizectomizzato e non più recuperabile, viene estratto al momento della finalizzazione protesica (figg. 14-19).
- Fig. 1
- Fig. 2
- Fig. 3
- Fig. 4
- Fig. 5
- Fig. 6
- Fig. 7
- Fig. 8
- Fig. 9
- Fig. 10
- Fig. 11
- Fig. 12
- Fig. 13
- Fig. 14
- Fig. 15
- Fig. 16
- Fig. 17
- Fig. 18
- Fig. 19
Realizzazioni protesiche: Laboratorio Odontotecnico Ceramodent di Paolo Morbiato e C. – Padova



















