Autore:
Dr. Roberto Meli
Libero professionista a Firenze
Ho conosciuto Claudio, 66 anni, circa due anni fa.
La sua richiesta principale era il mio parere sulla opportunità di rimuovere un impianto rotto in zona 46 (Fig. 1) che altri colleghi avevano scartato, consigliando un ponte a tre elementi.
Nella mia valutazione ho preso in considerazione tutti gli elementi indispensabili:
- l’impianto rotto risultava totalmente incluso in un osso alveolare di ampie dimensioni, con l’apice a distanza di sicurezza dal nervo alveolare;
- la mucosa aderente si presentava sana e abbondante;
- Claudio nell’anno precedente aveva accettato presso altri professionisti il trattamento di riabilitazione Full mouth di tutti gli elementi dentali superiori e inferiori fortemente abrasi mediante realizzazione diretta multipla e contemporanea di onlay con composito Bulk previa ceratura e mascherine in silicone trasparente. Questa soluzione per alcuni pazienti presenta innegabili vantaggi rispetto a trattamenti protesici più complessi, primi fra tutti la semplicità e la economicità . Il principale svantaggio consiste nella inevitabile abrasione e possibili fratture degli onlay diretti che nel tempo devono essere monitorate e corrette.
Partendo da questo quadro iniziale la mia scelta ideale è apparsa l’implantoprotesi per i seguenti motivi:
- la rimozione dell’impianto rotto in un contesto di abbondanza di tessuti duri e molli e la GBR di un difetto a quattro pareti con mucosa in grado di chiudere per prima intenzione è altamente predicibile, comporta dei tempi di attesa che comunque in un sito come il 46 di solito non rappresentano un disagio;
- al contrario, la preparazione di due denti intatti (47 e 45) per la realizzazione di un ponte comporta un sacrificio di tessuti dentali preziosi;
- inoltre l’introduzione di un ponte in materiale molto più duro degli onlay diretti a mio avviso avrebbe rappresentato un elemento di rischio occlusale per il paziente: andando incontro nel tempo alla inevitabile abrasione del composito stesso avrebbe potuto sviluppare torsioni e scivolamenti mandibolari con disagi all’ATM.
Per questi motivi, dopo avere informato Claudio su tutte le possibili alternative e sul mio orientamento, ho ottenuto il consenso a procedere nel seguente modo:
- rimozione dell’impianto rotto e GBR con osso sintetico MBCP+ e membrana di collagene riassorbibile EZ Cure (Figg. 2, 3);

Fig. 2 – RX post-intervento rimozione residuo impianto 
Fig. 3 – RX post-intervento GBR con osso sintetico MBCP+ e membrana EZ Cure
- a sei mesi, inserimento di un impianto XCN® Classix 4,1×10 mm con contestuale inserimento di ExaConnect Plus 3.0 diritto GH 1,5 mm per una guarigione transgengivale. L’ExaConnect Plus è fornito sterile con una vite di guarigione premontata; una volta inconato non viene più rimosso, dato che provvisorio, impronta e corona definitiva si realizzano sopra l’ExaConnect;
- a tre mesi (Figg. 4-6), realizzazione di provvisorio con apposito moncone temporaneo in PEEK per il condizionamento ottimale dei tessuti molli con il seguente protocollo:
- rilevamento di impronta parziale in alginato
- ceratura del dente mancante (Fig. 7)
- realizzazione di mascherina in silicone (Fig. 8)
- adattamento diretto in bocca dell’altezza del moncone temporaneo (Fig. 9)
- realizzazione diretta del provvisorio con 3M Protemp (Figg. 10,11);
- posizionamento del provvisorio sul moncone e serraggio con il cricchetto
dinamometrico (Fig. 12) - chiusura del foro di accesso con cemento provvisorio (Fig. 13)
- rilevamento di impronta parziale in alginato

Fig. 4 – Controllo radiografico a 3 mesi: impianto Classix 4,1 x 10 mm con ExaConnect Plus 3.0 diritto GH 1,5 mm 
Figg. 5, 6 – Controllo clinico a 3 mesi: tessuti gengivali maturati intorno alla vite di guarigione dell’ExaConnect 
Fig. 6 
Fig. 7 – Ceratura realizzata dal laboratorio 
Fig. 8 – Mascherina in silicone della ceratura 
Fig. 9 – Adattamento in bocca del moncone in PEEK 
Fig. 10 – Realizzazione del provvisorio con 3M Protemp 
Fig. 11 – Corona provvisoria pronta per la consegna 
Fig. 12 – Avvitamento del provvisorio con il cricchetto dinamometrico 
Fig. 13 – Provvisorio in situ
- a due mesi, impronta definitiva Tissue Level con apposito transfer da riposizionamento per ExaConnect (Figg. 14, 15).

Fig. 14 – Visione dell’ExaConnect dopo aver svitato il provvisorio 
Fig. 15 – Transfer da riposizionamento posizionato su ExaConnect
Attraverso la prescrizione viene richiesta al laboratorio la realizzazione di una corona in composito, ideale su impianti e nel caso specifico ancora più indicata per l’occlusione con i restauri esistenti.
Il laboratorio prepara un modello di gesso con l’analogo ExaConnect (Figg. 16-21) e realizza sul Ti-Base per ExaConnect una corona in composito con tecnica CAD-CAM che viene poi incollata sul Ti-Base (Figg. 22-31).

Fig. 16 – Transfer da riposizionamento avvitato all’analogo ExaConnect 
Fig. 17 – Dettaglio dell’impronta: la particolare forma del transfer permette un riposizionamento preciso e univoco 
Fig. 18 – Insieme transfer e analogo ExaConnect riposizionati nell’impronta 
Figg. 19-21 – Realizzazione del modello di gesso 
Fig. 20 
Fig. 21 
Figg. 22, 23 – Moncone Ti-Base posizionato sull’analogo ExaConnect 
Fig. 23 
Fig. 24 – Digitalizzazione dell’elemento Ti-Base sul modello 
Fig. 25 – Inizio fase CAD: evidenziazione del margine di chiusura 
Fig. 26 – Disegno della corona con canale per la vite e adeguati spessori 
Fig. 27 – Disegno CAD della corona 
Fig. 28 – Visualizzazione del progetto della corona in occlusione 
Figg. 29-31 – Incollaggio della corona in composito sul Ti-Base 
Fig. 30 
Fig. 31
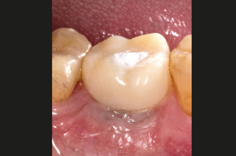
Consegna: la corona viene rimossa dal modello e avvitata sull’ExaConnect in bocca; la vite viene serrata con il cricchetto dinamometrico a 25 Ncm (Figg. 32, 33) e il canale della vite viene poi chiuso con della Guttaperca e del composito (Figg. 34, 35).

Fig. 32 – Visione dell’ExaConnect dopo aver rimosso il provvisorio 
Fig. 33 – Corona definitiva avvitata sull’ExaConnect 
ig. 34 – Vista occlusale della corona definitiva, dopo la chiusura del foro 
Fig. 35 – Vista vestibolare della corona definitiva
Considerazioni finali: l’ExaConnect amplia le possibilità protesiche del Sistema implantare XCN® mantenendo tutti i vantaggi della connessione Morse Taper.
Fin dalla fase chirurgica è possibile fissare immediatamente l’ExaConnect e traslare quindi la connessione protesica Tissue Level, eliminando completamente l’utilizzo di cemento.
L’apposito moncone in PEEK consente la realizzazione anche chairside di un provvisorio con un fitting ineccepibile.
Dato che le facce dell’esagono dell’ExaConnect sono coniche si realizza un accoppiamento frizionante tra la corona avvitata e il connettore che elimina ogni possibilità di dislocazione e svitamento sotto carico funzionale.
La protesi potrà essere rimossa se necessario mentre i tessuti rosa rimarranno inviolati.
Realizzazioni protesiche: Laboratorio Accioli & Puccini, Firenze

