Autori:
Dr. Luigi Lucchiari
Libero professionista a Due Carrare (PD)
Dr. Nicola Lucchiari
Libero professionista a Due Carrare (PD)
Il paziente di sesso maschile, 80 anni, senza patologie di rilievo si presenta nel nostro studio con un’edentulia parziale del II quadrante con la richiesta di riabilitare la zona con una protesi fissa. Dall’esame Cone Beam emerge una scarsa disponibilità ossea in senso verticale che permette soltanto in posizione 5 l’inserimento di un impianto senza ricorrere ad un intervento di rialzo del seno (Fig. 1). Dopo aver mostrato al paziente le possibili alternative di trattamento si decide di comune accordo di riabilitare la masticazione soltanto parzialmente, limitandola al secondo premolare, con corona singola.
Si inserisce quindi un impianto XCN® Classix diametro 4,1 per 8 mm in posizione 25 in tecnica bifasica, riapertura a 5 mesi con posizionamento di un tappo di guarigione Standard GH 5 e presa dell’impronta con transfer Standard GH 5 dopo 2 settimane (Figg. 2-4).
Si decide di utilizzare il nuovo connettore ExaConnect e di realizzare una corona singola avvitata. Considerando il fatto che si utilizza componentistica preformata molto precisa, si potrebbe passare senza alcun problema dall’impronta alla prova biscotto. In questo caso clinico, essendo il primo che realizziamo con il suddetto nuovo componente protesico, si effettuano invece tutti i classici passaggi della protesi avvitata.
Il laboratorio realizza un modello di gesso e posiziona un ExaConnect diritto GH 1,5 nell’analogo; durante le fasi di realizzazione della corona, utilizza un Ti-Base da laboratorio con la sua vite, dato che ripetuti passaggi di prova possono danneggiare il fitting frizionante tra l’esagono interno del moncone Ti-Base definitivo e l’esagono esterno conico dell’ExaConnect. Infine la struttura metallica viene incollata sul Ti-Base (Figg. 5, 6).
Per la prova metallo si rimuove il tappo di guarigione e si incona l’ExaConnect nell’impianto con il percussore e la nuova punta in PEEK (Figg. 7-10).
Si avvita il manufatto sull’ExaConnect con il raccordo per viti montato sull’avvitatore manuale protesico e si prende un’impronta di posizione con la vite polifunzionale e un cucchiaio monouso del commercio che viene forato. Si effettua anche una RX endorale per controllare l’assenza di gioco fra corona ed ExaConnect (Figg. 11-17).
Si avvita infine una vite di guarigione sull’ExaConnect che rimane in bocca (Figg. 18,19).

Fig. 18 
Fig. 19
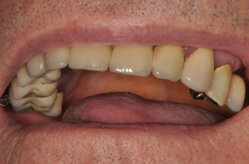
Effettuata la prova biscotto, si consegna la corona al paziente. Dopo aver rimosso la vite di guarigione si fissa la corona manualmente con la sua vite di ritenzione sull’ExaConnect; si controllano i contatti di occlusione e si serra la vite con l’apposito cricchetto dinamometrico (Figg. 20-23).
Infine si chiude il canale della vite con del composito e si effettua una RX endorale per controllare la correttezza dell’avvitamento (Figg. 24-27).
Con l’utilizzo del nuovo connettore ExaConnect i vantaggi della connessione conometrica e della protesi avvitata si sommano:
- si mantiene la connessione conometrica autobloccante fra impianto e moncone con conseguente sigillo batterico, assenza di “pump effect” e massima stabilità nel tempo dell’ampiezza biologica;
- la corona viene avvitata sull’emergenza dell’ExaConnect, senza utilizzo di cemento.
Nel presente caso clinico, l’ExaConnect è stato scelto in laboratorio dopo aver preso un’impronta della posizione dell’impianto. In alternativa è possibile inserire l’ExaConnect nella stessa seduta della prima chirurgia per una guarigione transgengivale oppure alla riapertura e prendere a guarigione avvenuta un’impronta sopra l’ExaConnect con un apposito transfer per la realizzazione della corona; per questo motivo il connettore è fornito in due varianti: ExaConnect Plus, sterile con vite di guarigione premontata ed ExaConnect, non sterile. Per la scelta dell’inclinazione e della lunghezza del tramite transmucoso in bocca al paziente, sono molto utili i nuovi Abutment Gauge (Figg. 28-30).
Realizzazioni protesiche: Laboratorio L.O.R.I, Padova




























