Autori: Dott. Salvatore Belcastro, Dott. Fulvio Floridi, Dott. Leonardo Palazzo, Dott. Mario Guerra.
La seconda fase chirurgica rappresenta un importante momento di verifica nell’ambito di ogni piano di trattamento implanto-protesico che preveda il posizionamento implantare sommerso o bi-fase. È in questo momento infatti che vengono verificate le condizioni cliniche che consentono di considerare gli impianti posizionati come utilizzabili per la riabilitazione protesica programmata. L’assenza di mobilità clinicamente rilevabile, il rumore acuto alla percussione con uno strumento metallico e l’assenza di qualsivoglia sintomatologia rappresentano i criteri clinici più importanti per la verifica della stabilità implantare. Ai suddetti criteri clinici possono essere associate misurazioni strumentali della stabilità implantare come l’Analisi della Frequenza di Risonanza (RFA) o il Periotest la cui affidabilità ed il cui valore prognostico sono tuttora in corso di accertamento.
Oltre alla verifica della stabilità implantare, la seconda fase chirurgica rappresenta un importante momento di valutazione delle condizioni quali-quantitative dei tessuti molli peri-implantari. In questa fase infatti saranno ben evidenti eventuali carenze che potranno successivamente creare problematiche sia di tipo estetico come l’alterazione del profilo d’emergenza degli elementi protesici a supporto implantare, che di tipo funzionale per l’assenza, per esempio, di una adeguata banda di gengiva aderente peri-implantare.
La carenza quali-quantitativa dei tessuti molli peri-implantari è in genere legata ad un deficit osseo nello stesso sito, per cui potrà essere affrontata già al momento del posizionamento implantare o ancora prima con interventi ricostruttivi-rigenerativi volti al ripristino di una normale morfologia ossea. Spesso però accade che la perdita ossea ed il successivo collasso dei tessuti molli avviene durante la fase di guarigione che segue il posizionamento implantare, manifestando gli esiti proprio al momento della seconda fase chirurgica. In situazioni del genere ed in tutte quelle altre in cui si decida già al momento del posizionamento implantare di utilizzare solo l’osso residuo senza ricorrere a tecniche rigenerative, la seconda fase chirurgica rappresenta un importante momento in cui una adeguata gestione dei tessuti molli può mascherare il deficit osseo sottostante.
Nel corso degli anni sono stati proposti diversi tipi di approccio chirurgico al momento dell’esposizione implantare; uno degli approcci più utilizzati è quello che prevede l’esecuzione di incisioni semilunari a convessità palatale o linguale. Tale semplice incisione consente di trasportare una quota di gengiva aderente dal versante crestale ed orale a quello vestibolare, migliorando l’estetica a questo livello; dopo una iniziale fase in cui viene a crearsi una architettura gengivale inversa, il successivo rimodellamento tissutale porterà al ripristino della normale architettura gengivale.
Nelle situazioni cliniche caratterizzate da una particolare valenza estetica, come nei settori frontali, qualora si osservi una scarsità dei tessuti molli peri-implantari e dunque si prevedano problematiche di tipo estetico, è possibile, al momento dell’esposizione implantare, effettuare un piccolo intervento, denominato Roll Flap, che in genere porta ad un deciso miglioramento dell’estetica gengivale degli elementi implanto-protesici.
A titolo esemplificativo vengono illustrati due casi clinici, entrambi dei settori frontali superiori e caratterizzati da un grado marcato di atrofia ossea, soprattutto a livello del versante vestibolare, trattati, al momento della seconda fase chirurgica, con intervento di roll flap.
Caso 1
Il primo caso (figg. 1-10) è relativo ad una edentulia dell’elemento 11 trattato con il posizionamento di un impianto di 3,3 mm di diametro e 12 mm di lunghezza; l’assenza di un adeguato spessore osseo in senso vestibolo-orale non ha consentito l’inserimento di un impianto di diametro maggiore.
Al momento della seconda fase chirurgica (fig. 1) era chiaramente evidente l’assenza di un adeguato spessore dei tessuti molli, soprattutto a livello del versante vestibolare, per cui si decideva per un intervento di roll flap.
Veniva effettuata una incisione spostata palatalmente rispetto all’emergenza implantare (fig. 2); il successivo scollamento metteva in evidenza il tappo di chiusura dell’impianto (fig. 3). Si procedeva dunque alla rimozione del tappo di chiusura ed al successivo posizionamento del tappo di guarigione (altezza del tratto transmucoso 7 mm e piattaforma large) (fig. 4).
La porzione di lembo scollata (fig. 5) veniva successivamente privata dell’epitelio (fig. 6) e ribaltata al di sotto della porzione vestibolare del lembo stesso (fig. 7); la successiva sutura manteneva i tessuti stabilmente nella posizione raggiunta (fig. 8).
L’esecuzione del manufatto protesico ha previsto in questo caso l’allungamento del moncone tramite saldatura (fig. 9).
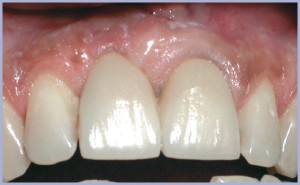
Al momento della consegna del manufatto (fig. 10) i tessuti molli non apparivano ancora maturi e si evidenziava un certo grado di compressione a livello del margine gengivale.
Il controllo clinico ad 1 anno (fig. 11) consente di verificare un ottimo recupero della morfologia gengivale a livello degli elementi protesici con risoluzione delle problematiche evidenti in II fase chirurgica.
- Fig. 1
- Fig. 2
- Fig. 3
- Fig. 4
- Fig. 5
- Fig. 6
- Fig. 7
- Fig. 8
- Fig. 9
- Fig. 10
- Fig. 11
Caso 2
Il secondo caso è relativo alla sostituzione implanto-protesica dell’elemento 12 perso per trauma.
Già al momento del posizionamento implantare (figg. 12, 13, 14) si evidenziava un importante grado di atrofia caratterizzato dalla scomparsa della bozza vestibolare per riassorbimento della corticale; veniva inserito un impianto di 3,3 mm di diametro e 12 mm di lunghezza (fig. 15).
Al momento della II fase chirurgica le problematiche venivano riconfermate, in particolare l’alterazione del profilo vestibolare per la presenza di una notevole concavità ; si decideva anche in questo caso per un intervento di roll flap.
L’incisione (fig. 16) effettuata palatalmente rispetto all’emergenza implantare veniva seguita dallo scollamento del lembo (fig. 17) che metteva in evidenza il tappo di chiusura dell’impianto parzialmente ricoperto da osso (fig. 18). Si rimuoveva il tappo di chiusura e si inseriva il tappo di guarigione (altezza del tratto transumcoso 5 mm e piattaforma large) (fig. 19).
Successivamente si procedeva alla rimozione dell’epitelio della parte di lembo al di sopra dell’emergenza implantare (fig. 20) ed al suo ribaltamento al di sotto della porzione vestibolare del lembo stesso (fig. 21).
La sutura stabilizzava i tessuti riposizionati (fig. 22).
La consegna del manufatto protesico metteva in evidenza (fig. 23) la risoluzione delle problematiche estetiche presenti al momento della II fase chirurgica con scomparsa della concavità vestibolare e creazione di una simil-bozza radicolare con buon profilo d’emergenza dell’elemento implanto-protesico.
- Fig. 12
- Fig. 13
- Fig. 14
- Fig. 15
- Fig. 16
- Fig. 17
- Fig. 18
- Fig. 19
- Fig. 20
- Fig. 21
- Fig. 22
- Fig. 23
Realizzazioni protesiche: Laboratorio Belfor – Cosenza























