Autore: Dr. Roberto Meli, Sig. Massimiliano Pisa.
La paziente, di 54 anni, per cause familiari ha trascurato a lungo la salute dei propri denti.
Un forte dolore al 47 (poi estratto) l’ha costretta a rivolgersi all’odontoiatra convincendola ad accettare un riesame generale della bocca e a pianificare le cure indispensabili.
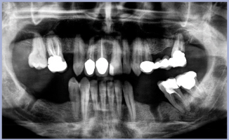
Dall’OPT iniziale sono risultate necessarie alcune estrazioni nell’arcata inferiore ed una conseguente riabilitazione provvisoria con protesi mobile scheletrata.
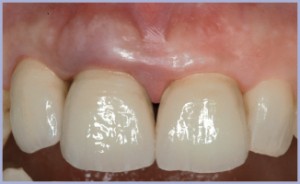
Nell’arcata superiore, in accordo con la paziente, è stata conferita priorità al settore anteriore: la corona veneer in resina presente sul 11 era da sostituire, mentre il 12 presentava una lesione periapicale di notevoli dimensioni. La protesizzazione dei due centrali e di un impianto post-estrattivo del 12 con corone integrali in ceramica su zirconia è risultata essere la terapia di prima scelta.
L’articolo tratta la riabilitazione del settore frontale superiore. Il 12 è stato estratto con delicatezza (figg. 1, 2, 3), la lesione periapicale è stata accuratamente rimossa ed una ispezione dell’alveolo post-estrattivo ha messo in evidenza quattro pareti ossee molto ben rappresentate sia in spessore che in altezza.
Un alveolo post-estrattivo con queste caratteristiche ed una buona rappresentazione della gengiva aderente sono condizioni indispensabili per l’inserimento immediato di un impianto.
La tecnica flapless, se ben gestita, minimizza il traumatismo dell’intervento, migliorando la prognosi a breve termine e riducendo i rischi di perdita di osso crestale.
Con la fresa pilota è stato necessario ritracciare la direzione dell’alveolo destinato ad accogliere l’impianto, variandola rispetto a quella dell’alveolo post-estrattivo già presente.
L’obiettivo era quello di posizionare l’impianto stesso ben accollato alla parete palatale e al tempo stesso di creare uno spazio vuoto fra l’impianto e la parete ossea vestibolare, in cui il coagulo ed un eventuale riempitivo potessero dar luogo ad una rigenerazione ossea.
In tal modo è possibile ridurre al minimo il rischio di una perdita ossea vestibolare, fisiologica dopo un’estrazione.
In questo caso, per rispettare i principi appena descritti, il diametro ideale dell’impianto è risultato essere di 4,1 mm.
Un breve alesaggio con le frese dedicate ha consentito di adeguare le pareti dell’alveolo post-estrattivo all’impianto Exacone® prescelto, diametro 4,1×14 mm (figg. 4, 5, 6).
L’impianto è stato posizionato circa 2 mm sottocresta per assicurare una buona estetica in previsione del rimodellamento osseo verticale.
Un simile posizionamento è reso sicuro dal micro- gap medio all’interfaccia impianto-moncone inferiore a 1µm, tipico della connessione Exacone®: ciò limita al minimo il passaggio di batteri ed esotossine ed elimina i micro-movimenti, permettendo ai tessuti di interpretare il complesso impianto-sovrastruttura come un pezzo unico.
L’impianto è stato chiuso con un tappo di guarigione Standard diametro 4,1 GH 5; dopo l’inconamento la cavità esagonale è stata sigillata con del Cavit (3M Espe) (figg. 7, 8) per evitare un ristagno di placca e batteri durante il periodo di guarigione.
La mucosa è stata accollata al tappo con due punti di sutura staccati in seta.
Il provvisorio presentava il 12 in estensione ed è stato ribasato in bocca sui monconi 11 e 21, avendo cura di eliminare ogni possibile contatto fra il manufatto e il tappo di guarigione (figg. 9, 10).
Alla seconda seduta, dopo un periodo di sei mesi (figg. 11, 12), una rx di controllo ha evidenziato la buona osteointegrazione dell’impianto e, soprattutto, il perfetto mantenimento dell’osso a livello crestale, senz’altro favorito dalla tecnica chirurgica atraumatica e dall’assenza di gap presente all’interfaccia moncone-impianto, tipico di un sistema ad accoppiamento conometrico.
I tessuti molli hanno avuto per la loro maturazione lo stesso periodo di tempo concesso alla osteointegrazione e si presentano pertanto, alla rimozione del tappo di guarigione, spessi e privi di sanguinamento (figg. 13, 14, 15).
Nella stessa seduta è stato quindi possibile rilevare un’impronta con transfer Standard diametro 4,1 mm (figg. 16, 17).
In considerazione dell’alta valenza estetica della zona si è optato per la realizzazione di un moncone individualizzato in titanio-zirconia (fig. 18) con l’ausilio della tecnica CAD-CAM Sirona.
L’elevata precisione ottenuta dai reparti produttivi Leone nella realizzazione del sistema di accoppiamento Exacone® non è riproducibile pur utilizzando un buon sistema CAD-CAM: pertanto non è consigliabile realizzare un moncone completamente costituito di zirconia.
Inoltre, data la particolare natura della connessione, l’utilizzo dello stesso materiale della fixture, titanio grado medicale 5, assicura un perfetto comportamento biomeccanico nel tempo.
Per queste motivazioni il primo passaggio è stato quello di adattare un moncone diametro 4,1 mm dritto Standard modificandone adeguatamente la parte emersa (figg. 19, 20) che è divenuta l’interfaccia per l’alloggiamento della porzione in zirconia individualizzata.
Il modello in gesso con l’interfaccia in titanio e stato scansionato per la progettazione al CAD (figg. 21, 22, 23, 24, 25).
Il progetto digitale viene convertito nel linguaggio CAM e inviato al fresatore per la realizzazione del pezzo (figg. 26, 27).
Dopo la sinterizzazione dell’ossido di zirconio il pezzo è stato controllato, rifinito e, previa sabbiatura dell’interfaccia in titanio, cementato con Nimetic Cem (3M Espe) (figg. 28, 29, 30, 31).
Il moncone in zirconia così individualizzato presenta importanti vantaggi:
• ottimo condizionamento della mucosa grazie alla forma anatomica
• estetica ineccepibile nel tempo
• eliminazione di pericolosi residui di cemento nello spessore dei tessuti molli, in quanto la chiusura della corona può essere realizzata a filo gengiva (fig. 32).
Il procedimento CAD-CAM impiegato per la realizzazione del moncone è stato utilizzato anche per la struttura in zirconia delle corone sia sull’impianto che sui denti naturali (figg. 33, 34).
É stata eseguita una verifica della precisione delle cappette utilizzando lo Xantopren VL (Heraeus Kulzer) e successivamente è stata rilevata una impronta di posizione in alginato (figg. 35, 36)
Infine le cappette sono state ceramizzate (figg. 37, 38).
Alla consegna il moncone è stato inconato con l’apposito percussore (figg. 39, 40) e le corone definitivamente cementate (figg. 41, 42, 43, 44).
- OPT iniziale
- Fig. 1
- Fig. 2
- Fig. 3
- Fig. 4
- Fig. 5
- Fig. 6
- Fig. 7
- Fig. 8
- Fig. 9
- Fig. 10
- Fig. 11
- Fig. 12
- Fig. 13
- Fig. 14
- Fig. 15
- Fig. 16
- Fig. 17
- Fig. 18
- Fig. 19
- Fig. 20
- Fig. 21
- Fig. 22
- Fig. 23
- Fig. 24
- Fig. 25
- Fig. 26
- Fig. 27
- Fig. 28
- Fig. 29
- Fig. 30
- Fig. 31
- Fig. 32
- Fig. 33
- Fig. 34
- Fig. 35
- Fig. 36
- Fig. 37
- Fig. 38
- Fig. 39
- Fig. 40
- Fig. 41
- Fig. 42
- Fig. 43
- Fig. 44













































