Autore: Dr. Hugo Esquiaga.
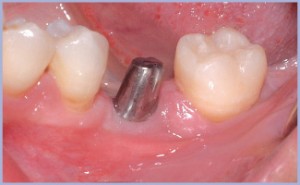
Alla paziente, di 49 anni, è stato inserito un impianto di diametro 4,8 mm in posizione 36 con tecnica monofasica, utilizzando un tappo di guarigione piattaforma large. Dopo aver superato il periodo di osteointegrazione (fig. 1), il tappo di guarigione è stato rimosso. L’operazione è stata effettuata con l’ausilio della chiave a testa esagonale che ha permesso di esercitare una forza di rotazione tale, da rendere l’estrazione del tappo molto semplice (ricordiamo che sul tappo di guarigione non è presente l’esagono della connessione Exacone®) (fig. 2). Dopo la rimozione del tappo, si osservi il tunnel gengivale perfettamente conformato con un eccellente stato di salute (fig. 3). L’impronta è stata presa con tecnica convenzionale, inserendo il transfer dentro l’impianto (figg. 4, 5). Inoltre sono state prese l’impronta dell’antagonista e le registrazioni del morso e quindi inviate al laboratorio odontotecnico. Grazie al sistema di connessione dell’esagono del transfer, la presa dell’impronta è stata estremamente precisa da non consentire errori in laboratorio (figg. 6-8) e permettere direttamente l’invio del lavoro terminato.
Durante la seconda visita clinica, la protesi è pronta per essere collocata definitivamente in bocca alla paziente.
È stato inserito il moncone dentro l’impianto esercitando digitalmente una forza continua, fino al completo inserimento del cono (fig. 9) e sopra è stata posta la corona. I controlli estetici e occlusali hanno avuto esito positivo.
È stato rimosso il lavoro protesico dall’impianto, è stato disinfettato il moncone e si è provveduto alla cementazione extraorale avendo cura di mantenere uniti i due elementi moncone/corona, applicando una pressione fino a quando il cemento non ha fatto presa (figg. 10-12). Successivamente il cemento eccedente è stato eliminato (fig. 13).
Con questo metodo (oltre ad assicurare la totale rimozione del cemento in eccesso) in caso di graffi accidentali sulle superfici, questi si possono facilmente correggere poiché l’operazione di pulizia avviene fuori dalla bocca. Dopo aver unito la corona al moncone (figg. 14, 15) è stato inserito il restauro completo dentro l’impianto ed è stata attivata la connessione con l’applicazione di una leggera forza impulsiva (fig. 16).
È necessario sottolineare che questa tecnica si può realizzare solo con impianti a connessione conometrica.
- Fig. 1
- Fig. 2
- Fig. 3
- Fig. 4
- Fig. 5
- Fig. 6
- Fig. 7
- Fig. 8
- Fig. 9
- Fig. 10
- Fig. 11
- Fig. 12
- Fig. 13
- Fig. 14
- Fig. 15
- Fig. 16
Realizzazioni protesiche: Laboratorio MON DENTAL, S.C.P, Castellar del Valles – Spagna
















