Autori: Dr. S. Belcastro, Dr. F. Floridi, Dr. M. R. Mannarino, Dr. M. Guerra.
Le agenesie dentali rappresentano uno dei capitoli più importanti nell’ambito delle patologie odontoiatriche in età evolutiva, in relazione alla loro notevole diffusione nella popolazione e perché, inevitabilmente, influenzano lo sviluppo dei normali rapporti occlusali; ne conseguono, in genere, malocclusioni di vario tipo che necessitano spesso dell’intervento dell’ortodontista, del protesista o di entrambi. Relativamente ai dati epidemiologici, da varie fonti(1) risulta che ad essere colpito da agenesie dentali è circa il 3-4% della popolazione, senza significative differenze tra i due sessi, mentre è riscontrabile un carattere di ereditarietà in circa il 20% dei casi. Le agenesie multiple sono molto spesso simmetriche e talvolta associate ad altre anomalie di sviluppo ectodermico.
I denti più frequentemente agenesici sono rappresentati dai III molari superiori ed inferiori, dai II premolari inferiori e dagli incisivi laterali superiori; molto spesso le agenesie sono associate ad altre anomalie dentarie come quelle di forma (es. denti conoidi) o di posizione. Come già accennato, la mancanza di uno o più elementi dentali rappresenta quasi sempre il presupposto per lo sviluppo di malocclusioni di vario tipo che devono essere trattate considerando le stesse agenesie non come anomalie a sé stanti, ma come parti del complesso ortodontico, scheletrico e neuro-muscolare del soggetto in esame. Ci sono, infatti, situazioni in cui la mancanza per agenesia di alcuni elementi dentali non solo non rappresenta un problema, ma addirittura potrebbe facilitare un trattamento ortodontico come ad esempio nei casi di agenesia dei premolari inferiori in soggetti in III Classe o dei premolari superiori in soggetti in II Classe.
Nella maggior parte dei casi, tuttavia, le agenesie sono alla base di alterazioni occlusali, funzionali ed estetiche, per cui si rende necessario un trattamento di tipo ortodontico o protesico. In generale gli orientamenti terapeutici possono essere di due tipi: chiudere gli spazi degli elementi dentali agenesici, qualora le condizioni ortodontiche lo permettano, oppure mantenere, riaprire o ridistribuire gli spazi in previsione di una successiva riabilitazione protesica.
Proprio di questo vogliamo occuparci nel presente articolo, in particolar modo degli interessanti spunti che la terapia implanto-protesica sta in questi ultimi anni offrendo per la risoluzione di varie forme di edentulia tra cui le stesse agenesie dentali.
La sostituzione di uno o più elementi agenesici tramite protesi fissa convenzionale (ponti) comporta un notevole sacrificio biologico (monconizzazione degli elementi pilastro), sacrificio sempre meno accettabile considerando la quasi sempre giovane età dei pazienti che richiedono tale terapia e la possibilità di un’alternativa terapeutica, rappresentata dall’implanto-protesi, che comporta un approccio più conservativo ed offre risultati altamente predicibili. L’opportunità di una sostituzione implanto-protesica degli elementi dentali agenesici va considerata nel contesto di un quadro diagnostico ortognatodontico che prevede la sostituzione degli elementi dentali mancanti e chirurgico-implantare volto alla valutazione delle caratteristiche quali-quantitative dei siti ossei destinati all’inserimento degli impianti. Molto spesso il trattamento implantare è preceduto dalla terapia ortodontica volta ad un adeguato recupero degli spazi, così come spesso è indicato l’uso di mantenitori di spazio, anche sotto forma di protesi rimovibili, allo scopo di sostituire gli elementi dentali mancanti fino al completamento dello sviluppo; la terapia implanto-protesica è, infatti, altamente sconsigliata nei soggetti in età evolutiva.
Il trattamento implantare nei casi di agenesia è spesso complicato dalla scarsa quantità ossea disponibile sia in senso verticale che vestibolo-orale; ciò è dovuto al fatto che l’osso alveolare segue il percorso eruttivo degli elementi dentali e, nei casi di agenesia, tende esso stesso a presentarsi atrofico. Si pone dunque molto spesso la necessità di applicare tecniche chirurgiche ricostruttive o di rigenerazione guidata(2,3,4,5,6) volte ad aumentare la quantità di osso disponibile, sia per consentire l’osteointegrazione e la sopravvivenza implantare, che per raggiungere un’adeguata estetica in modo da mimetizzare gli elementi dentali protesici.
A titolo esemplificativo si illustra il caso di una paziente di 25 anni affetta da agenesie dentali multiple e sottoposta a terapia ortodontica e implanto-protesica.
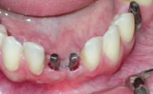
Come si può osservare dalla radiografia ortopanoramica (fig. 1) e dalla foto iniziale (fig. 2), sono assenti gli incisivi centrali inferiori, il II premolare superiore di destra (è presente il corrispettivo deciduo con radici riassorbite) e i due canini superiori; è inoltre presente il residuo radicolare del II premolare inferiore di sinistra che è stato successivamente estratto.
Le condizioni ortodontiche della paziente hanno consentito la chiusura degli spazi dei canini superiori agenesici tramite apparecchiatura ortodontica fissa (fig. 3). Si poneva dunque la necessità di sostituire protesicamente il II premolare superiore di destra, gli incisivi centrali inferiori e il II premolare inferiore di sinistra.
Le immagini che seguono descrivono dettagliatamente il percorso terapeutico ortodontico, chirurgico e protesico effettuato per la risoluzione del caso.
Nel caso specifico qui proposto sono stati utilizzati nella regione incisiva due impianti cilindrici di 3,3 mm di diametro e 10 mm di lunghezza (figg. 10, 11), mentre per la sostituzione dei premolari sono stati utilizzati impianti cilindrici di 4,1 mm di diametro e 10 mm di lunghezza (figg. 12-16).
Per migliorare il profilo d’emergenza, in particolare nella regione incisiva, in seconda fase chirurgica sono stati eseguiti interventi di roll-flap in modo da trasferire gengiva aderente crestale a livello vestibolare e dare agli elementi protesici una parvenza di bozza radicolare(7,8) (figg. 17-19).
Le procedure protesiche sono state condotte secondo le metodiche convenzionali (figg. 20-23); sempre per mo-tivi estetici nella regione incisale sono stati utilizzati monconi “slim” (fig. 24) in modo da ottenere una chiusura delle corone protesiche direttamente sulla piattaforma implantare (fig. 25). I risultati estetici e funzionali appaiono soddisfacenti (figg. 26-31).
- Fig. 1 – Ortopantomografia iniziale
- Fig. 2 – Visione intraorale iniziale
- Fig. 3 – Apparecchio fisso superiore per la chiusura dei diastemi
- Figg. 4, 5 – Apertura del lembo
- Figg. 6, 7 – Fasi dell’espansione della cresta
- Fig. 8 – Fase dell’espansione della cresta
- Fig. 9 – Indicatori di direzione inseriti
- Figg. 10, 11 – Impianti inseriti
- Fig. 12 – Inserimento dell’impianto a livello del 35
- Fig. 13 – II premolare deciduo, 55
- Fig. 14 – Estrazione del 55
- Fig. 15 – Preparazione del sito implantare
- Fig. 16 – Impianto inserito in zona 15
- Fig. 17 – Tessuti in II fase chirurgica
- Figg. 18, 19 – Materiale da riempimento e gestione dei tessuti molli (roll-flap)
- Figg. 20, 21 – Transfer da impronta
- Figg. 22, 23 – Monoimpronte in silicone
- Fig. 24 – Prova metallo: monconi Slim
- Fig. 25 – Prova metallo con cappette in sede
- Fig. 26 – Tessuti molli al momento della consegna dei manufatti protesici
- Fig. 27 – Monconi e corone in sede nell’arcata inferiore
- Fig. 28 – Protesi finale arcata inferiore
- Figg. 29, 30 – Corona finale sul 15
- Fig. 31 – Sorriso della paziente
Realizzazioni protesiche: Sig. Marco Montecucco, Laboratorio Peducci e Monni di Perugia
Bibliografia
1. B. De Michelis, R. Modica, G. Re: Trattato di clinica odontostomatologica. Edizioni Minerva Medica
2. Dahlin C.: Osteopromotion. Regeneration of bone by membrane technique. Ph. D. Dissertation, Goteborg, 1993
3. Scipioni A., Bruschi G. B., Calepini G.: The edentulous ridge expansion technique: a five years study. Int. J. Periodont Rest Dent 1994; 14: 451-459
4. Simion M., Baldoni M., Zaffe D.: Aumento di creste alveolari mediante inserimento immediato di impianti associato a frattura crestale a legno verde e rigenerazione guidata dei tessuti. Int. J. Periodont Rest Dent 1992; 12: 463-473
5. Tatum H. Jr.: Maxillary and sinus implant recostruction. Dent Clin North Am 30/207-229, 1986
6. Tatum O. H.: Maxillary sinus elevation and subantral augmentation. Lecture, Alabama Implant Study Group, Birmingham, Alabama, May 1977
7. Tenembaum H, Klewansky P, Rth JJ: Clinical evaluation of gingival recession treated by coronally repositioned flap technique. J Periodontol. 1980; 51 (12): 686-90
8. Tarnow DP, Magner AV, Fletcher P: The effect of the distance from the contac
