Autore: Dott. Roberto Evangelista.
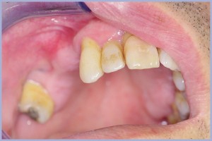
Paziente di anni 59, in buono stato di salute, ex-fumatore, con inadeguata igiene orale, si presenta nel mio studio riferendo sintomatologia dolorosa con una marcata parodontopatia degli elementi dentali, con protesi fissa incongrua dell’elemento dentale 1.4 e recessione gengivale con elemento 1.5 in estensione.
All’esame obiettivo, il paziente presenta mobilità di grado marcato dell’elemento dentale 1.4 con edema ed ascesso, e gengivite cronica necrotizzante con fuoriuscita di pus alla compressione. Si esegue OPT che rileva intorno alla zona radicolare dell’elemento dentale 1.4, vasta area di radio trasparenza, con riassorbimento degli apici radicolari e dell’osso verticale mesio-distale dell’elemento stesso. Si incide l’ascesso con Laser Nd-yag e si esegue lavaggio con una cefalosporina di terza generazione (Rocefin) e si lascia il drenaggio in permanenza con garza orlata iodata. Infine si congeda il paziente con terapia antibiotica ed antalgica.
Al 5° giorno di terapia antibiotica, si esegue l’estrazione dell’elemento dentale con rimozione del granuloma apicale con toiletta chirurgica ed emostasi con spugnette di fibrina e sutura in seta con punti staccati; il paziente viene congedato con protesi parziale immediata per, poi, eseguire impianti post-estrattivi differiti. Il paziente per motivi familiari si ripresenta dopo circa un anno. Dopo una Tomografia Computerizzata Cone-Beam in studio, si valuta la quantità e la qualità dell’osso nella zona interessata all’implantologia e si pianifica una chirurgia implantare mini invasiva software assistita pianificata con software 3Diagnosys® (3DIEMME® Srl, Cantù (Co)). Si opta per il sistema implantare Exacone® Leone poiché, data la sua affidabilità e semplicità di esecuzione chirurgica, ben si presta a essere utilizzato in chirurgia guidata. Si prendono le impronte per la realizzazione dei modelli per la Dima Radiologica e si riesegue Tac Cone Beam. I file dicom risultati dell’esame radiologico vengono importati nel software 3Diagnosys® e si esegue il progetto implantare in posizione 14; 15; 16 con impianti Exacone® di dimensioni rispettivamente di: 4,1×12 mm; 4,1×12 mm; 4,1×10 mm.
Durante la pianificazione si tiene anche conto dell’occlusione neuro-miofacciale con esame EMGK (elettromiografico dei muscoli masticatori e kinesiografico con realizzazione del Mioprint occlusale in occlusione miocentrica).
Si realizza la Dima Chirurgica e si programma l’intervento in sedazione cosciente perché il paziente è un soggetto ansioso, con la collaborazione della specialista in anestesia. La sedazione cosciente viene indotta con miscela di gas di protossido di azoto e ossigeno e benzodiazepina a emivita breve (Midazolam) in vena. Con questa tecnica il paziente mantiene i riflessi oro-faringei e risponde ai comandi a seconda dell’esigenza dell’operatore. Si esegue, comunque, l’anestesia locale per infiltrazione con articaina 1:100000, si inserisce la Dima Chirurgica e si esegue lembo mucoso con mucotomo circolare.
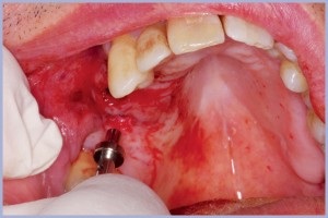
In seguito, si esegue la sequenza delle frese chirurgiche con stop e diametri e lunghezza pianificati con sistema Real Patient™ Guide System (3DIEMME® Srl, Cantù (Co)), si inseriscono gli impianti e i tappi di guarigione e si congeda il paziente senza aver eseguito il lembo chirurgico e punti di sutura (Figg. 1-38). I vantaggi della chirurgia guidata flapless sono un edema e dolore post- intervento minori, riduzione dei tempi di guarigione, assenza di riassorbimento osseo dopo esposizione con il lembo e minori disagi per il paziente (riduzione dei controlli, assenza di dieta liquida e assenza di rimozione dei punti di sutura) e per l’operatore (sicuramente riduzione dello stress). Ovviamente non sempre si può eseguire un intervento di chirurgia guidata a cielo coperto; è, infatti, indispensabile avere a disposizione un discreto osso in termini di qualità e quantità . Con questi presupposti il sistema assicura un’ottima predicibilità e la possibilità di effettuare anche un carico immediato con protesi provvisoria.
A distanza di una settimana dal posizionamento degli impianti, il paziente viene sottoposto a Tac Cone Beam di controllo per valutare la congruenza tra progetto implantare pianificato e reale posizionamento degli impianti. Come testimoniato dal confronto tra le immagini 3D visualizzate con il software di pianificazione, la precisione è eccellente (Figg. 39-44).
- Fig. 1 – Carrier per chirurgia guidata
- Fig. 2 – Situazione iniziale
- Fig. 3 – Prova della dima chirurgica
- Fig. 4 – Anestesia
- Fig. 5 – Mucotomo per chirurgia guidata
- Fig. 6 – Prova del mucotomo
- Figg. 7-10 – Mucotomia
- Fig. 8
- Fig. 9
- Fig. 10
- Fig. 11 – Asportazione dei tasselli di gengiva
- Fig. 12 – Prova frese per chirurgia guidata
- Figg. 13-29 – Osteotomia con passaggio di frese per chirurgia guidata a diametro crescente
- Fig. 14
- Fig. 15
- Fig. 16
- Fig. 17
- Fig. 18
- Fig. 19
- Fig. 20
- Fig. 21
- Fig. 22
- Fig. 23
- Fig. 24
- Fig. 25
- Fig. 26
- Fig. 27
- Fig. 28
- Fig. 29
- Fig. 30 – Passaggio della fresa svasatrice
- Figg. 31-35 – Posizionamento guidato degli impianti
- Fig. 32
- Fig. 33
- Fig. 34
- Fig. 35
- Fig. 36 – Impianti posizionati
- Figg. 37-38 – Chiusura degli impianti con tappi di guarigione
- Fig. 38
- Fig. 39 – Immagine 3D post-intervento, vista inferiore
- Fig. 40 – Pianificazione 3D, vista inferiore
- Fig. 41 – Immagine 3D post-intervento, vista laterale destra
- Fig. 42 – Pianificazione 3D, vista laterale destra
- Fig. 43 – Immagine 3D post-intervento, vista superiore
- Fig. 44 – Pianificazione 3D, vista superiore
Realizzazione dima radiologica e chirurgica: Laboratorio Odontotecnico DENTALAB di Bruno Scarfò – Roma












































