Autori:Â Dott. Salvatore Belcastro, Dott. Leonardo Palazzo, Dott. Mario Guerra.
La gestione implantoprotesica del settore frontale superiore rappresenta indubbiamente una delle più importanti sfide per il chirurgo e per il protesista, in particolare per quanto riguarda l’ottenimento di risultati estetici che siano paragonabili a quelli della dentatura naturale sana.
Numerose sono, infatti, le variabili in grado di condizionare il risultato dal punto di vista estetico; da variabili anatomiche individuali quali la quantità e la qualità dei tessuti duri e molli disponibili, in particolare per ciò che concerne la tipologia parodontale, a variabili operative che possono fare la differenza nei vari passaggi, diagnostico, chirurgico e protesico. Molto importanti sono inoltre alcune variabili merceologiche che vanno dal micro-macro design implantare, al tipo di connessione protesica, al materiale da restauro ecc. Si tratta dunque di un universo molto ampio all’interno del quale risulta difficile quantificare il peso relativo di ciascuna delle variabili menzionate.
Senza entrare nella trattazione di ciascuno dei fattori in grado di condizionare il risultato estetico in implantoprotesi, saranno spese solo alcune parole circa l’approccio con carico immediato nel settore estetico. Â
Qualora le condizioni cliniche lo consentano, l’approccio implantoprotesico con carico immediato in tale settore permette di ottenere una serie di vantaggi non ottenibili con il carico differito. La premessa iniziale e cioè le condizioni cliniche del paziente e del sito indica la necessità di eseguire, in fase diagnostica, una accurata valutazione di quei parametri che, influenzando la stabilità implantare primaria, possono indicare come praticabile l’approccio che prevede un carico protesico immediato.
I vantaggi di tale approccio sono rappresentati da un maggior comfort per il paziente che non dovrà utilizzare provvisori rimovibili o di altro tipo (Maryland Bridge) e dunque da un impatto psicologico indubbiamente positivo, in particolare quando il carico immediato venga effettuato nei casi di posizionamento implantare post-estrattivo immediato. In questi casi è possibile mantenere pressoché intatta l’architettura gengivale che, al contrario, tenderebbe ad un appiattimento in caso di posizionamento differito o comunque di carico differito. Tale approccio, apparentemente molto semplice, rientra a pieno titolo nell’ambito delle procedure chirurgiche e protesiche avanzate dal momento che da un lato la chirurgia di posizionamento, effettuata nella maggior parte dei casi senza lembo, richiede indubbiamente una maggiore attenzione per non incorrere in errori quali la perforazione delle corticali e, dall’altra, l’unità protesica provvisoria immediata deve essere progettata in modo da non sovraccaricare l’impianto e garantire un adeguato supporto per i tessuti molli. Anche nei casi di carico immediato che non sia conseguente ad un posizionamento implantare post-estrattivo immediato, come nel caso di agenesia dell’incisivo laterale superiore, oggetto del presente articolo, esistono indubbi vantaggi per ciò che concerne la gestione dell’estetica periimplantare dell’elemento implantoprotesico. La corretta esecuzione del manufatto provvisorio, in particolare a livello del profilo d’emergenza transmucoso, consente di condizionare i tessuti molli periimplantari e di conferire all’unità implantoprotesica un aspetto simile a quello della dentatura naturale; tale aspetto potrà essere corretto nel corso dei mesi che precedono l’allestimento del manufatto definitivo (i tempi di attesa media sono di circa 3 mesi) tramite piccole e progressive modifiche appositive (aumento del contorno con conseguente allungamento della corona clinica) o riduttive (diminuzione del contorno con conseguente accorciamento della corona clinica) sulla resina del manufatto.
In questo contesto l’utilizzo di monconi protesici temporanei rappresenta un elemento di facilitazione delle procedure; la facile rimovibilità , indispensabile per un componente che abbia le caratteristiche di provvisorietà , unita ad una agevole preparazione nel cavo orale, trattandosi di un materiale plastico facilmente fresabile (ultrapolimero PEEK) rendono questo componente particolarmente indicato per il carico immediato.
Le immagini che seguono sono relative ad un caso clinico esemplificativo che riassume quanto finora enunciato.
Si tratta di una paziente di sesso femminile di 20 anni, in buone condizioni di salute generale, con necessità di sostituire l’incisivo laterale superiore di destra agenesico.
L’esame clinico iniziale manifestava un’ottima condizione di salute del cavo orale con particolare riguardo al mantenimento igienico (Figg. 1, 2); la tipologia parodontale sottile poneva in guardia rispetto ad eventuali piccoli errori nel posizionamento implantare. È noto come tale biotipo difficilmente possa nascondere un’emergenza implantare superficiale o troppo vestibolare, rispondendo in quest’ultimo caso con una recessione e conseguente allungamento della corona clinica con possibile visibilità di componenti metalliche. Relativamente all’elemento dentale in oggetto e cioè l’incisivo laterale superiore di destra, era presente un dispositivo provvisorio tipo Maryland Bridge; tale dispositivo, correttamente eseguito, in particolare per ciò che concerne la forma del versante gengivale, di tipo ovoide, era perfettamente in grado di condizionare correttamente l’architettura gengivale. La radiografia ortopanoramica iniziale (Fig. 3) metteva in evidenza uno spazio mesio-distale sufficiente per accogliere un impianto di 3.3 mm di diametro; riguardo all’altezza ossea, la stessa era sufficiente ad accogliere tranquillamente un impianto di 12 mm di lunghezza.
Si procedeva dunque all’intervento che si articolava nei seguenti punti, illustrati nelle immagini:
– rimozione del Maryland Bridge (Figg. 4, 5);
– esecuzione del lembo d’accesso (Figg. 6, 7);
– preparazione del sito implantare (Fig. 8);
– inserimento di un impianto di 3.3 mm di diametro per 12 mm di lunghezza (Figg. 9, 10);
– prova e posizionamento di un moncone temporaneo in ultrapolimero PEEK (Fig. 11);
– preparazione intraorale del moncone temporaneo (Fig. 12);
– ribasatura di una corona provvisoria in resina precedentemente allestita (Fig. 13);
– rifinitura dell’unità moncone-corona provvisoria conferendo il giusto profilo d’emergenza (Fig. 14);
– consegna del manufatto provvisorio e relativi controlli occlusali (Fig. 15); si trattava di un carico immediato di tipo non funzionale dal momento che venivano esclusi i contatti sia in massima intercuspidazione che nelle funzioni eccentriche di protrusiva e lateralità ;
– riposizionamento del lembo e sutura in monofilamento 4/0 (Figg. 16, 17).
Il controllo clinico a distanza di due settimane dall’intervento mostrava un’ottima integrazione del manufatto provvisorio con buon ripristino dell’estetica (Figg. 18, 19).
A distanza di 3 mesi dal posizionamento implantare le condizioni si presentavano stabili con ottimo mantenimento dell’architettura gengivale ed in completa assenza di sintomatologia (Figg. 20, 21).
Si procedeva dunque alla rimozione del manufatto provvisorio, seguita dalla rilevazione dell’impronta dell’impianto per l’esecuzione del manufatto protesico definitivo (Figg. 22, 23). Come già accennato, il corretto profilo d’emergenza del manufatto impiegato nel carico immediato permetteva di conservare la normale festonatura gengivale, elemento quest’ultimo impossibile da ottenere utilizzando un normale tappo di guarigione.
A distanza di una settimana e senza prove intermedie si procedeva, previa cementazione extra-orale, alla consegna del restauro protesico definitivo realizzato in zirconia-ceramica tramite metodica CAD-CAM (Cerec, Sirona) (Figg. 24-26).
Il controllo clinico a distanza di 2 settimane mostrava un eccellente risultato estetico con ottimo ripristino dell’architettura gengivale e completo inserimento mimetico dell’elemento implantoprotesico all’interno del cavo orale della giovane paziente (Figg. 27, 28).
- Fig. 1 – Situazione clinica iniziale
- Fig. 2 – Particolare della zona dell’incisivo laterale agenesico. Presenza del provvisorio (Maryland Bridge)
- Fig. 3 – Ortopantomografia prima dell’intervento
- Figg. 4, 5 – Rimozione del Maryland Bridge
- Fig. 5
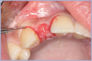
- Figg. 6, 7 – Incisione e scollamento di un lembo crestale con incisioni di scarico intrasulculari
- Fig. 7
- Fig. 8 – Preparazione del sito implantare
- Figg. 9, 10 – Inserimento di un impianto di 3.3 mm di diametro e 12 mm di lunghezza
- Fig. 10
- Fig. 11 – Moncone temporaneo prima della preparazione
- Fig. 12 – Moncone temporaneo preparato
- Fig. 13 – Ribasatura della corona provvisoria in resina
- Fig. 14 – Manufatto provvisorio pronto per la consegna
- Fig. 15 – Consegna del manufatto provvisorio
- Figg. 16, 17 – Riposizionamento del lembo e sutura
- Fig. 17
- Figg. 18, 19 – Aspetto clinico a 2 settimane
- Fig. 19
- Figg. 20, 21 – Aspetto clinico a 3 mesi dal posizionamento
- Fig. 21
- Figg. 22, 23 – Impronta dell’impianto per l’esecuzione del manufatto definitivo
- Fig. 23
- Fig. 24 – Confronto tra il manufatto definitivo e quello provvisorio
- Fig. 25 – Cementazione extra-orale della corona definitiva in zirconia- ceramica
- Fig. 26 – Consegna del manufatto definitivo
- Fig. 27 – Aspetto clinico a 2 settimane dalla consegna del manufatto definitivo
- Fig. 28 – Visione occlusale a 2 settimane dalla consegna del manufatto definitivo




























