Autore: Dott. Marino Miccini.
La paziente di sesso femminile ex fumatrice, di anni 78, si presenta alla nostra osservazione con una situazione di edentulia dell’arcata superiore di vecchia data e di conseguenza con una grave atrofia ossea sia orizzontale che verticale (Fig. 1), chiedendo una riabilitazione protesica fissa.
Nel Giugno del 2010 si procede ad un intervento di innesto osseo bilaterale mediante l’utilizzo di blocchi di osso banca (prelevato da cresta iliaca di donatore deceduto). Si fissano i blocchi di osso con viti di osteosintesi e, a colmare i gap con l’osso ricevente, si posiziona del biomateriale in forma di microgranuli stabilizzato con colla di fibrina umana (Figg. 2-11).
Data la complessità del caso ad Aprile del 2011 si decide di eseguire una TAC (Dentalscan) di controllo.
I file dicom provenienti dalla TAC sono acquisiti tramite software dedicato 3Diagnosys® (3DIEMME®, Cantù – (Co)) (Figg. 12-14) al fine di effettuare una corretta e dettagliata diagnosi preimplantare e una prima pianificazione 3D (Figg. 15,16).
I file vengono successivamente elaborati nel nuovo Reparto Digital Service Leone con lo scopo di realizzare una replica anatomica scala 1:1 in resina bimateriale (Figg. 17-19). La stampante 3D Connex350 (Object Geometries Ltd., Israele) con la quale è stata prototipata la mascella è l’unica al mondo che permette di stampare contemporaneamente con due materiali ad una risoluzione elevatissima (16 µm o 30 µm sull’asse z).
La stampa bimateriale permette di evidenziare le strutture diverse dall’osso; in questo particolare caso, le viti di osteosintesi usate per fissare i blocchi di osso di banca sono evidenziate in resina bianca rispetto all’osso in resina trasparente. Sulla replica anatomica dell’arcata superiore, si simula l’atto chirurgico con l’inserimento meccanico degli impianti (Figg. 20-24). Questa simulazione è molto importante perché permette, in casi limite come questo, di verificare preventivamente l’effettiva fattibilità del posizionamento degli impianti, e pianificare il numero, le dimensioni e la zona dei siti implantari. Poiché si prevede di riabilitare la paziente con una protesi fissa tipo Toronto, gli impianti necessari a tale supporto sono 6. Si lascia quindi la scelta, dei 6 siti sugli 8 verificati su modello, direttamente in fase chirurgica dove si può fare una attenta valutazione della qualità ossea.
A Giugno 2011 si esegue l’intervento di implantologia sulla paziente. L’intervento segue quasi fedelmente quanto simulato sulla replica in resina: sul lato destro, una volta rimosse le viti di osteosintesi e verificata la stabilità dell’osso innestato si posizionano 3 impianti Exacone® Max Stability Ø 3,75 e, sul lato sinistro, senza rimuovere le viti di osteosintesi in quanto non interferiscono con l’inserimento degli impianti, si posizionano altri 3 impianti Exacone® Max Stability Ø 3,75.
Sono stati inseriti 6 impianti Exacone® Max Stability perché grazie al loro macrodesign e in particolare al profilo aggressivo delle spire incrementali permettono di raggiungere un’ottima stabilità primaria anche in osso di scarsa qualità (Figg. 25-39).
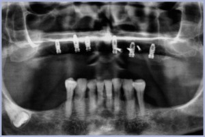
L’ortopantomografia di controllo immediata conferma la buona riuscita dell’intervento (Fig. 40).
- Fig. 1
- Fig. 2
- Fig. 3
- Fig. 4
- Fig. 5
- Fig. 6
- Fig. 7
- Fig. 8
- Fig. 9
- Fig. 10
- Fig. 11
- Fig. 12
- Fig. 13
- Fig. 14
- Fig. 15
- Fig. 16
- Fig. 17 – Replica anatomica realizzata da Digital Service Leone
- Fig. 18
- Fig. 19
- Fig. 20
- Fig. 21
- Fig. 22
- Fig. 23
- Fig. 24
- Fig. 25
- Fig. 26
- Fig. 27
- Fig. 28
- Fig. 29
- Fig. 30
- Fig. 31
- Fig. 32
- Fig. 33
- Fig. 34
- Fig. 35
- Fig. 36
- Fig. 37
- Fig. 38
- Fig. 39
- Fig. 40








































