• Company
    • About Us
    • Contacts
    • Privacy policy
  • Orthodontics
  • Implantology
  • Services
    • Leone online learning
    • Quality
    • Newsletter
    • STL data
    • Downloads
    • Publications
      • Orthodontics
      • Implantology
    • Customer care
  • 3DLeone

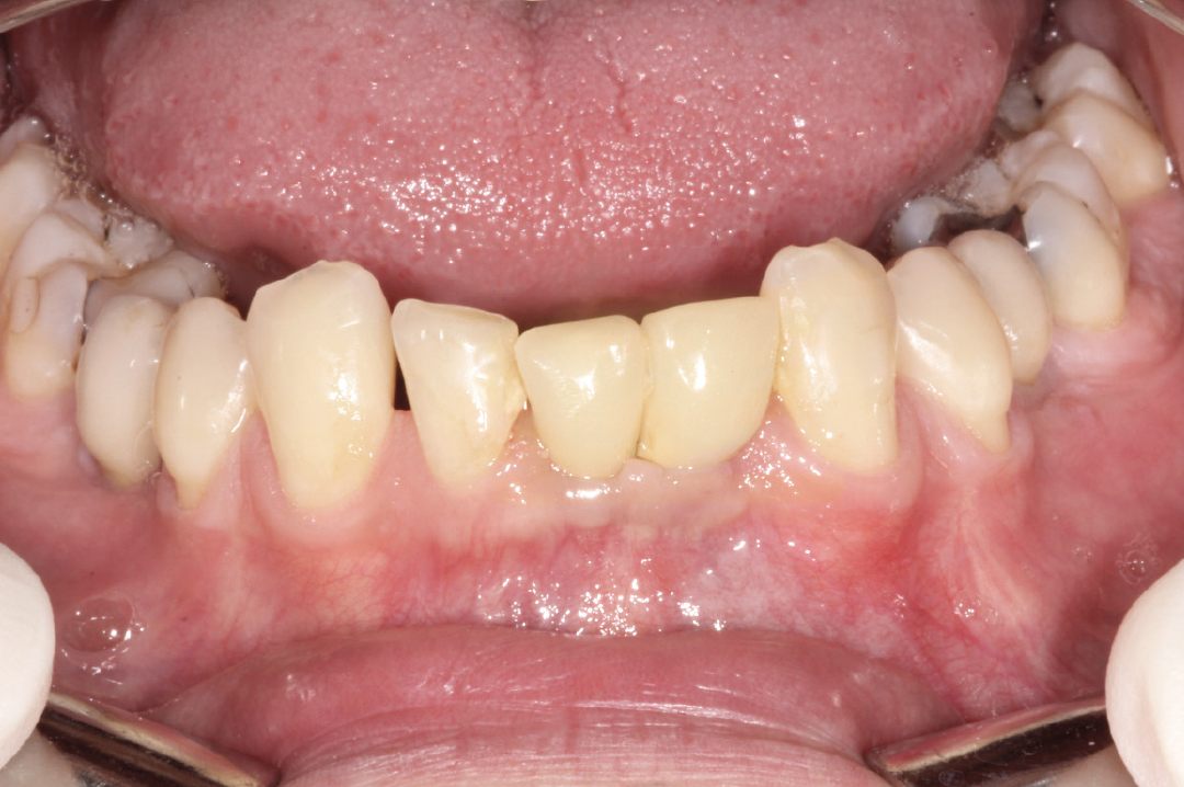
Exacone-25-Belcastro-46

Published 21 March 2018 at 1080 × 718 in Exacone-25-Belcastro-46.
← Previous Next →

View of anterior lower jaw eight years post insertion

FOLLOW US

  • Facebook
  • Youtube
  • Newsletter subscription

SERVICES

  • Downloads
  • Newsletter
  • Customer care

SCIENTIFIC
PUBLICATIONS

  • Orthodontics
  • Implantology

QUALITY

  • Quality system
  • Safety data sheet

DISTRIBUTORS

  • Worldwide distributors
Leone S.p.A. Via P. a Quaracchi, 50 - 50019 Sesto Fiorentino, Firenze P. IVA 01686960483  Uff. Reg. Imprese Firenze n. 01686960483 - Cap. soc. Euro 1.200.000,00 int. vers. Leone S.p.A. All Rights Reserved