Cirujano/Dentista restaurador:
Dr. Salvatore Belcastro – Gubbio (Perugia), Italia
Este caso muestra el tratamiento implantológico de una agenesia múltiple en varios dientes en un varón de 18 años y su seguimiento a largo plazo. En total faltaban diez dientes: #13, #12, #22, #23, #25, #35, #32, #31, #41 y #45. Antes de la inserción del implante, se efectuó un tratamiento ortodóntico para la redistribución del espacio. El tratamiento implantológico se realizó en dos fases. En 2009 se colocaron y restauraron seis implantes en la región maxilar anterior y en la mandibular anterior. Después de aproximadamente un año se colocaron otros tres implantes, uno en la región maxilar posterior izquierda después de la elevación del seno y dos implantes cortos en sustitución del diente #35 y del diente #45. Se efectuaron en julio 2017 exámenes clínicos y radiográficos para la evaluación de los tejidos blandos y del nivel de la cresta ósea alrededor del implante que mostraron niveles periimplantarios estables, mucosa periimplantaria sana e intacta y mantenimiento excelente de los resultados estéticos.

Situación clínica después del tratamiento ortodóntico 
Vista de los cuadrantes superior e inferior derechos después del tratamiento ortodóntico 
Vista de los cuadrantes superior e inferior izquierdos después del tratamiento ortodóntico 
Rx panorámica después del tratamiento ortodóntico 
En 2009: colocación de cuatro implantes XCN® Classix 3.3 x 10 mm en el maxilar superior 
Vista de los transportadores de dos implantes XCN® Classix 3.3 x 10 mm en el maxilar superior derecho 
Vista de transportadores de dos implantes XCN® Classix 3.3 x 10 mm en el maxilar superior izquierdo 
En 2009: colocación de dos implantes XCN® Classix 3.3 x 10 mm en el maxilar anterior inferior en sustitución de los dientes #32, #31 y # 41 
Vista cuatro meses después de la colocación de los transferes, posicionados en los implantes anteriores superiores para la toma de la impresión 
Transfer dentro de la impresión 
Pilar de prueba preparado sobre el modelo 
Pilares de prueba y restauraciones de metal cerámica sobre el modelo 
Vista de los tejidos blandos sanos antes de incorporar las restauraciones definitivas 
Colocación de las restauraciones definitivas en el maxilar anterior superior 
Pilares de prueba intraorales de titanio preparados en el maxilar anterior inferior 
Colocación de la restauración definitiva en el maxilar anterior inferior 
Vista clínica de la inserción después de seis meses 
En 2010: vista de la elevación del seno en la región maxilar posterior izquierda para la sustitución del diente #25 
Cubrir el acceso al seno maxilar con membrana de colágeno reabsorbible 
En 2010: diente de leche #85 
En 2010: diente de leche #75 
Colgajo de espesor total para exponer el hueso en la región del diente #35 
Uso de la fresa de bola para crear un surco en el hueso cortical 
Preparación del sitio implantar para el posicionamiento de un implante corto Leone 6.5 
Implante corto Leone 6.5 posicionado 
Tapón de cierre posicionado sobre el implante 
Después de cuatro meses: restauraciones definitivas sobre el modelo 
Pilar de prueba y corona de metal cerámica para el diente #45 sobre el modelo 
Pilar de prueba y corona de metal cerámica para el diente #35 sobre el modelo 
Cementación extraoral de la corona de metal cerámica sobre el pilar 
Vista de los tejidos blandos sanos antes de incorporar la restauración definitiva del diente #45 
Prueba intraoral de la restauración del diente #45 
Restauración definitiva para el diente #45 colocada sobre el implante 
Vista clínica del diente #45 inmediatamente después de la colocación de la restauración definitiva 
Vista de los tejidos blandos sanos antes de incorporar la restauración definitiva del diente #35 36. Prueba intraoral de la restauración del diente #35 
Prueba intraoral de la restauración del diente #35 
Restauración definitiva para el diente #35 colocada sobre el implante 
Vista clínica del diente #45 inmediatamente después de la colocación de la restauración definitiva 
Rx panorámica en julio 2017. Obsérvese el excelente mantenimiento del nivel de la cresta ósea después de ocho años (porción frontal) y siete años (porción posterior) 
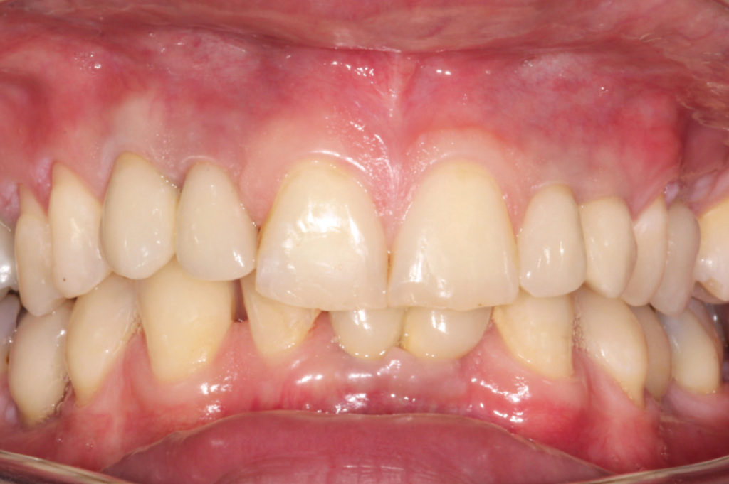
Situación clínica en julio 2017. Obsérvese la mucosa periimplantaria sana e intacta 
Vista de los dientes #13 y #12 ocho años después de la inserción 
Vista de los dientes #22 y #23 ocho años después de la inserción 
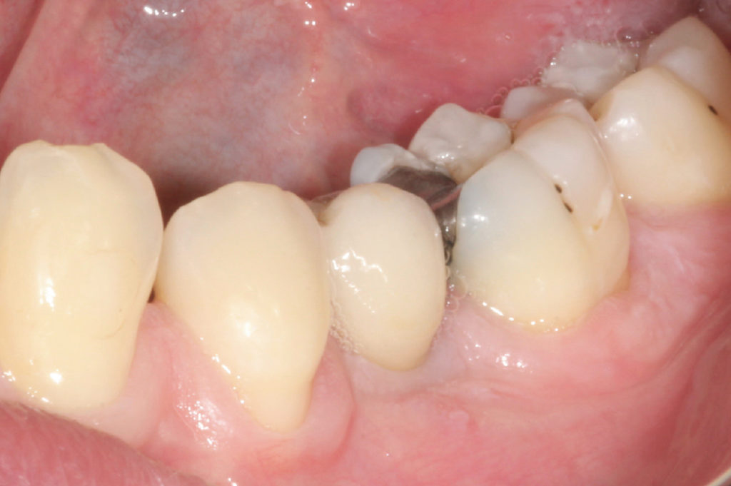
Vista del diente #25 siete años después de la inserción 
Vista del diente #45 siete años después de la inserción 
Vista del diente #35 siete años después de la inserción 
Vista de la arcada anterior inferior ocho años después de la inserción
Laboratorio:
Wilocs – Roma, Italia














































