Cirujano/ Dentista restaurador
Dr. Leonardo Targetti – Florencia, Italia
Este caso demuestra los procedimientos clínicos y de laboratorio para una prótesis soportada por implantes con un nuevo tipo de sistema de fijación de sobredentadura que utiliza la retención por fricción conométrica en lugar de los accesorios de bola o de los Locator. El sistema de fijación conométrica consiste en pilares de titanio (MUA-Conic), con una parte superior cónica de 5 grados (medio ángulo) y capuchones conométricos preformados en PEEK, con una conexión interna con el mismo ángulo cónico, que se incorporan dentro de la sobredentadura.
Este innovador sistema de fijación conométrica ofrece una excelente retención que proporciona al paciente la comodidad de una prótesis fija, a la vez que resulta fácil de insertar y remover para la higiene diaria. Los capuchones conométricos son fabricados en PEEK y por lo tanto casi no se desgastan. Las sobredentaduras con retención conométrica también se pueden fabricar en caso de implantes no paralelos gracias a los pilares rectos y angulados (7,5° – 15° – 25° – 35°) en 4 alturas gingivales diferentes sin límites de posicionamiento (conexión XCN® 360°).

Situación clínica en el momento de la toma de la impresión a nivel del implante: vista de los tapones de cicatrización de tres implantes Leone Classix de 4,1 x 12 mm y un implante Leone Classix de 3,3×12 mm 
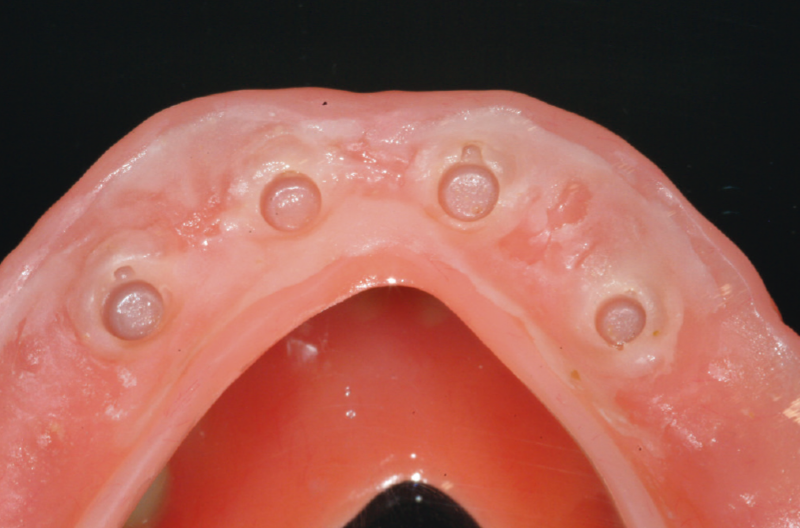
Vista oclusal de la sobredentadura provisional 
Vista de la cresta de la sobredentadura provisional: la base de la dentadura se alivió sobre los tapones de cicatrización y se volvió a colocar 
Vista de la cresta de la sobredentadura provisional: la base de la dentadura se alivió sobre los tapones de cicatrización y se volvió a colocar 
Modelo en yeso después de la impresión a nivel del implante: se seleccionaron cuatro MUA rectos GH 1,5 mm y se activaron a los análogos 
Adaptador Conic utilizado para convertir los MUA en pilares conométricos (MUA-Conic) 
Adaptadores Conic atornillados sobre los MUA para convertirlos en MUA-Conic y apretados con el destornillador de laboratorio 
Detalle de dos MUA-Conic 
Vista de los MUA-Conic paralelos entre sí 
Capuchones Mobile en PEEK colocadas con una presión manual decisiva sobre los MUA-Conic. Obsérvese que los prototipos de los capuchones Mobile eran beige, ahora son rosa 
Capuchones Mobile en PEEK colocadas con una presión manual decisiva sobre los MUA-Conic. Obsérvese que los prototipos de los capuchones Mobile eran beige, ahora son rosa 
Fabricación de la sobredentadura definitiva: vista de la prótesis sobre el articulador 
Sobredentadura definitiva sobre el modelo de yeso: lista para la prueba intraoral funcional y estética 
Vista de la sobredentadura definitiva durante la fabricación: perforaciones con suficiente espacio para los tapones conométricos y el acrílico 
Vista de la sobredentadura definitiva acabada 
Situación clínica en el momento de la entrega de la sobredentadura definitiva: vista de los tapones de cicatrización 
Remoción de los tapones de cicatrización 
Activación de los Mua-Conic sobre los implantes 
Activación de los capuchones Mobile sobre los Mua-Conic 
Activación del pilar con la punta de PEEK recta y curva utilizada para golpear los pilares en el implante y para asentar los capuchones Mobile con una suave fuerza de golpeteo en los pilares 
Aplicación del adhesivo 
Aplicación del adhesivo 
Aplicación de la resina en los orificios 
Sobredentadura definitiva in situ 
Vista de la sobredentadura acabada: los capuchones Mobile son incorporados en la sobredentadura y la resina en exceso fue removida 
Sobredentadura definitiva posicionada en la boca 
Situación clínica dos años y medio después de la entrega de la sobredentadura: vista de tejidos blandos sanos y estables 
Vista de la sobredentadura dos años y medio después de la entrega: los capuchones Mobile no muestran signos de desgaste 
Vista de la sobredentadura dos años y medio después de la entrega: los capuchones Mobile no muestran signos de desgaste 
Sobredentadura nuevamente in situ – no fueron necesarios reparaciones durante dos años y medio
Laboratorio:
:Alessandro Nannucci – Florencia, Italia






























