Cirujano/Dentista restaurador:
Dr. Francesco Argentino – Florencia, Italia
Este caso muestra la colocación y carga inmediata de un implante Leone 2.9 x 12 mm para la sustitución de un incisivo inferior central en un paciente de 60 años. Después de dos meses y medio de cicatrización, se tomó una impresión digital y se fabricó una corona de disilicato de litio, después cementada extra-oralmente sobre un pilar Ti- Base Leone

Diente #41 sustituido por un puente Maryland 
Vista lingual del puente Maryland 
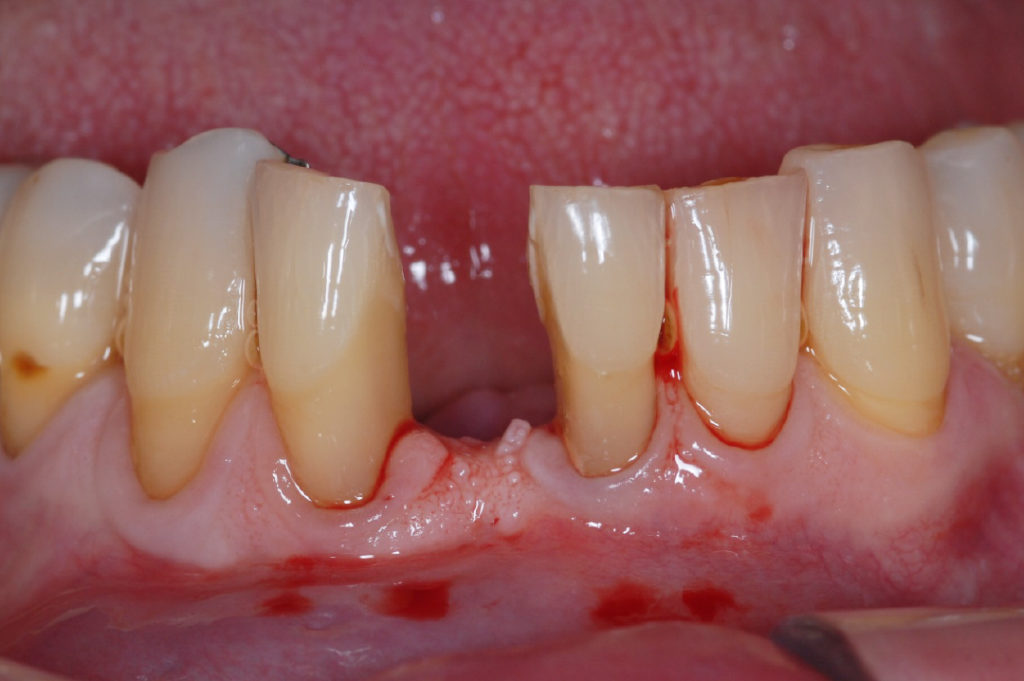
Sitio preoperatorio 
Agujero de acceso a la cresta ósea creado por medio de una fresa lanceolada 
Usar la fresa piloto 2.2 mm hasta una longitud de 12 mm 
Inserción del implante XCN® 2.9 x 12 mm 
Inserción del implante XCN® 2.9 x 12 mm 
Implante en el sitio 
Rx para confirmar el correcto posicionamiento del implante 
Pilar provisional y corona provisional para la carga inmediata 
Vista frontal de la restauración provisional inmediata 
Después de dos meses y medio, posicionamiento del scan post acoplado con el scan body 
Rx para confirmar la correcta colocación del scan post 
Comienzo del proceso de escaneado con CEREC, Dentsply Sirona 
Vista digital de las registraciones del scan body 
Diseño de la corona para el diente #41 
Preparación del proceso de fresado CAD-CAM de la corona de disilicato de litio 
Corona de disilicato de litio de prueba y pilar Ti-Base 
Vista del pilar Ti-Base Leone, corona de disilicato de litio cristalizada cementada sobre el pilar Leone Ti-Base y bloque Ivoclar Vivadent e.max CAD 
Entrega de la prótesis final 
Vista frontal de la prótesis final después de cuatro semanas: el espacio adecuado alrededor del implante permite obtener un resultado estéticamente agradable 
Rx a las cuatro semanas que confirma el óptimo posicionamiento del implante respecto a los dientes adyacentes






















