Autori: Dott. Salvatore Belcastro, Dott. Leonardo Palazzo, Dott. Mario Guerra.
Introduzione
Le agenesie dentali costituiscono una delle forme di edentulia in cui l’implanto-protesi ha maggiormente cambiato l’approccio terapeutico rispetto al passato.
Le agenesie ricoprono un ruolo di primo piano nell’ambito delle anomalie dentarie, in relazione alla loro incidenza, significativamente più alta rispetto a quella di altre tipologie, quali quelle di forma, di struttura o di volume, e soprattutto in relazione alla loro localizzazione, interessano spesso regioni ad alta valenza estetica, come quella degli incisivi laterali superiori.
I dati epidemiologici, sebbene discordanti tra di loro, suggeriscono una diffusione delle agenesie con prevalenza di circa il 6% nella popolazione in trattamento ortodontico, generando dunque numeri tutt’altro che trascurabili e ponendo diversi quesiti diagnostici e terapeutici che rappresentano, insieme alla gestione dei canini ritenuti, un interessante campo di intersezione tra varie specialità odontoiatriche, da quella pedodontica ed ortodontica a quella implantologica e protesica. Sempre dal punto di vista epidemiologico è noto come i denti più frequentemente agenesici siano rappresentati, nell’ordine, dai terzi molari, dai secondi premolari inferiori e dagli incisivi laterali superiori.
Senza addentrarci ulteriormente nei dettagli eziologici ed epidemiologi relativi alle agenesie dentali, cercheremo di esprimere quelle che sono le nostre linee guida nel trattamento di questa tipologia di pazienti.
A livello di opzioni terapeutiche la gestione delle agenesie dentali, in particolare di quella degli incisivi laterali superiori, può essere effettuata con la chiusura degli spazi o con la sostituzione protesica degli elementi dentali mancanti. I motivi che spingono verso l’una o l’altra strada sono molteplici, in particolare di carattere ortodontico, e vanno dalla classe dentale e scheletrica, alla presenza o meno di affollamenti o diastemi, alla quota di overbite ed overjet presenti, ecc. Come già sottolineato, la terapia implanto-protesica ha radicalmente cambiato l’approccio diagnostico, aumentando in modo considerevole la quota di pazienti destinati alla sostituzione protesica degli elementi dentali agenesici a dispetto di quella destinata alla chiusura degli spazi.
Il principale motivo di questo cambiamento, che vede i clinici sempre più indirizzati verso una soluzione sostitutiva delle agenesie dentali, è rappresentato dal fatto che la terapia implanto-protesica, se adeguatamente condotta, annulla gli svantaggi legati alle riabilitazioni protesiche convenzionali utilizzate in passato.
Elementi diagnostici e terapeutici
Una adeguata diagnosi, che tenga conto delle variabili anatomo-funzionali del sito edentulo e del paziente nel suo complesso, rappresenta il prerequisito indispensabile per una corretta pianificazione del trattamento e per evitare spiacevoli fallimenti dal punto di vista estetico.
Nei casi di agenesia, la mancanza di matrice funzionale nei siti agenesici, rappresentata dall’unità dento-parodontale, porta spesso alla carenza di substrato biologico necessario per il posizionamento implantare e per una buona integrazione tissutale degli elementi implanto-protesici.
I principali fattori diagnostici di cui bisogna tener conto in fase riabilitativa sono i seguenti:
-
- aspettative del paziente;
-
- spazio protesico;
-
- rapporti con l’arcata antagonista;
-
- quantità e qualità dell’osso disponibile ai fini implantari;
-
- biotipo parodontale e forma degli elementi dentali;
-
- stato restaurativo degli elementi dentali adiacenti;
-
- livello osseo degli elementi adiacenti;
- età del paziente.
Ognuna di queste variabili può assumere un elevato valore prognostico e condizionare pesantemente il risultato estetico e funzionale finale. In particolare lo spazio protesico, correttamente valutato clinicamente e con l’ausilio di una ceratura diagnostica, deve corrispondere a quello necessario agli elementi dentali da sostituire, pena l’ottenimento di risultati estetici inaccettabili. La gestione implanto-protesica delle agenesie degli incisivi laterali superiori rientra a pieno titolo nell’importante capitolo dell’implanto-protesi in zona estetica. Il peso estetico e conseguentemente psicologico e sociale che tale tipo di anomalia può generare nei pazienti va adeguatamente valutato in fase diagnostica precoce per evitare di incorrere in insuccessi terapeutici talvolta irreparabili.
L’estetica nei settori frontali del mascellare superiore rappresenta infatti la più grande sfida per chi si occupa di implantologia osteointegrata.
Il raggiungimento predicibile di buoni risultati estetici, paragonabili a quelli della dentatura naturale sana, dipende da diversi fattori, non sempre facili da controllare; potremmo schematicamente distinguere tre gruppi di fattori, quelli diagnostico-prognostici, quelli chirurgici ed infine quelli protesici.
Nei casi di insufficienza del substrato biologico, non rari nelle situazioni di agenesia, è imperativo ricorrere ad interventi rigenerativo-ricostruttivi che in alcuni casi devono precedere il posizionamento implantare. In tale contesto si inseriscono gli innesti ossei per apposizione e gli innesti connettivali. È in genere a livello del versante vestibolare che possono venire a crearsi situazioni di concavità che in qualche modo interferiscono negativamente sul risultato estetico.
L’accurata diagnosi sarà seguita dal corretto posizionamento implantare nelle tre dimensioni dello spazio, che tenga conto delle regole, oramai acquisite dalla letteratura scientifica e dalla pratica clinica internazionale, quali il rispetto della corticale vestibolare, che tende inevitabilmente a riassorbirsi, ed il giusto posizionamento verticale rispetto alla giunzione amelo-cementizia dei denti adiacenti. Si effettua dunque un posizionamento implantare che tenga conto delle esigenze protesiche ed estetiche.
Il posizionamento post-estrattivo immediato flapless ed il carico immediato, se le condizioni lo permettono, sono procedure che più facilmente consentono il raggiungimento di eccellenti risultati estetici.
Il carico immediato, in particolare se applicato in situazioni post-estrattive immediate (come avviene nei casi di agenesia qualora siano presenti gli elementi decidui), consente un mantenimento dei tessuti molli peri-implantari e dell’architettura gengivale difficilmente raggiungibile con l’approccio differito. Si viene a realizzare una guarigione gengivale protesicamente guidata intorno ai manufatti provvisori che consente di ottenere una elevata predicibilità dei risultati dal punto di vista estetico al momento della consegna dei manufatti definitivi.
Le procedure protesiche infine rappresentano il giusto corollario al lavoro svolto nelle precedenti fasi e consentono, tramite l’utilizzo delle giuste tecniche e dei giusti materiali, il completamento del caso. L’utilizzo di materiali ad alta valenza estetica, quali la zirconia o le ceramiche integrali (in particolare il disilicato di litio), può ulteriormente migliorare i risultati purché non si affidi a questi ultimi, come purtroppo spesso succede, l’ingrato ed impossibile compito di realizzare il “miracolo estetico” avendo trascurato le già citate fasi diagnostiche e chirurgiche.
Tutto ciò di cui si è finora discusso può essere riassunto nel caso clinico esemplificativo di seguito riportato.
Case report
Si tratta della sostituzione implanto-protesica in un caso di agenesie multiple che comprendevano i due incisivi laterali superiori e i 4 secondi premolari in una giovane paziente di sesso femminile.
L’esame clinico iniziale (Figg. 1, 2) metteva in evidenza una buona situazione dento-parodontale generale; risultavano ottime sia l’igiene orale che la collaborazione da parte della paziente, fortemente motivata alla soluzione del problema.
L’esame radiologico ortopanoramico (Fig. 3) metteva in evidenza una buona quantità di osso disponibile ai fini implantari, apicalmente agli elementi da latte da sostituire.
Gli spazi protesici disponibili per la sostituzione degli incisivi laterali superiori apparivano sufficienti per i corrispettivi elementi implanto-protesici mentre per i premolari, in particolare per quelli inferiori, gli spazi protesici apparivano leggermente superiori a quelli necessari; ciò in virtù del “leeway space”, cioè del fatto che, come noto, i secondi premolari permanenti sono più piccoli in senso mesio-distale rispetto ai corrispettivi decidui. Si decideva comunque di non intervenire ortodonticamente per ridurre gli spazi protesici, mirando ad un compromesso protesico. Il progetto terapeutico prevedeva, per gli incisivi laterali, un posizionamento implantare post-estrattivo immediato associato a carico immediato non funzionale con corone in resina precedentemente allestite, da ribasare in bocca dopo la preparazione dei monconi. Per i premolari, date le modeste necessità estetiche, si prospettava un carico dilazionato.
L’intervento procedeva attraverso i seguenti momenti:
-
- estrazione minimamente traumatica degli elementi dentali (Figg. 4-6);
-
- sondaggio alveolare e revisione chirurgica (Figg. 7, 8);
-
- preparazione dei siti implantari con tecnica flapless (Figg. 9, 10);
-
- inserimento implantare (Figg. 11, 12);
-
- posizionamento e preparazione dei monconi provvisori;
- adattamento e consegna delle corone provvisorie (Figg. 13, 14).
Per i premolari, come già accennato, si optava per un carico dilazionato e dunque si posizionavano gli impianti con tecnica monofase (Figg. 15-18) e si consegnavano delle protesi rimovibili (Figg. 19-21).
L’estrazione, minimamente traumatica, volta a salvaguardare l’integrità alveolare, in particolare a livello della corticale vestibolare, nel caso specifico non ha manifestato particolare difficoltà, trattandosi di elementi decidui con un certo grado di mobilità, ed è stata eseguita con i consueti passaggi di scollamento-lussazione-estrazione.
La successiva revisione chirurgica tramite cucchiaio alveolare consentiva la completa rimozione dei frustoli di tessuto di granulazione e di legamento parodontale residuo. Il sondaggio circonferenziale tramite sonda parodontale consentiva di eseguire una mappatura alveolare rapportando l’altezza dei bordi alveolari rispetto ai bordi gengivali. La preparazione del sito implantare veniva effettuata con approccio flapless, ovvero senza l’esecuzione del lembo; tale approccio trova larga indicazione proprio nei casi di posizionamento implantare post-estrattivo immediato.
Sono stati utilizzati i seguenti impianti:
-
- 2 impianti 3,3×12 mm a livello degli incisivi laterali;
-
- 3 impianti 4,1×10 mm a livello di 25, 35, 45;
- 1 impianto 4,5×10 mm a livello del 15.
In quest’ultima sede è stato utilizzato un impianto Max Stability a causa della scarsa qualità ossea rilevata durante la preparazione del sito. La forma tronco-conica di questo impianto è associata alla presenza di spire molto prominenti che garantiscono un’elevata stabilizzazione anche in osso di qualità scadente.
Il posizionamento implantare è stato seguito dal posizionamento e dalla preparazione intra-orale dei monconi provvisori, ottenuti a partire da dei tappi di guarigione alti, e dalla successiva consegna, previa ribasatura, delle corone provvisorie sugli incisivi laterali. Come già accennato, per gli impianti a livello dei premolari si optava per una tecnica monofase con posizionamento dei tappi di guarigione. Come provvisori, in tali sedi, venivano utilizzate delle protesi rimovibili in nylon.
A distanza di 3 mesi dal posizionamento implantare si procedeva alla rimozione dei manufatti provvisori e dei tappi di guarigione, alla rilevazione di una mono-impronta in polivinilsilossano degli impianti e alla preparazione dei monconi protesici. I successivi passaggi portavano all’allestimento dei manufatti definitivi in zirconia-ceramica (Figg. 22-28).
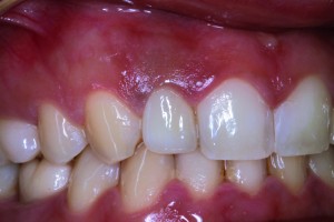
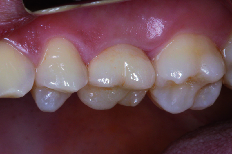
La valutazione clinica al momento della consegna dei manufatti (Figg. 29-32) e quella clinico-radiologica a 2 anni dalla consegna manifestavano una completa integrazione tissutale con eccellente recupero estetico e funzionale (Figg. 33-40).
- Figg. 1, 2 – Esame clinico iniziale
- Fig. 2
- Fig. 3 – OPT iniziale
- Figg. 4-6 – Estrazione degli incisivi laterali decidui
- Fig. 5
- Fig. 6
- Figg. 7, 8 – Sondaggio alveolare dei siti post-estrattivi
- Fig. 8
- Figg. 9, 10 – Preparazione dei siti implantari in tecnica flapless
- Fig. 10
- Figg. 11, 12 – Posizionamento degli impianti (entrambi da 3,3 x 12 mm)
- Fig. 12
- Figg. 13, 14 – Adattamento e consegna delle corone provvisorie
- Fig. 14
- Figg. 15-18 – Dopo l’estrazione dei secondi premolari, posizionamento degli impianti in tecnica monofase
- Fig. 16
- Fig. 17
- Fig. 18
- Figg. 19-21 – Realizzazione delle protesi provvisorie rimovibili in nylon
- Fig. 20
- Fig. 21
- Fig. 22 – Realizzazione delle protesi definitive in zirconia-ceramica
- Figg. 23, 24 – Festonatura gengivale in zona degli incisivi laterali superiori e consegna degli elementi protesici previa cementazione extra-orale
- Fig. 24
- Figg. 25-28 – Fasi protesiche relative all’elemento 45, dalla rimozione del tappo di guarigione alla consegna del manufatto definitivo
- Fig. 26
- Fig. 27
- Fig. 28
- Figg. 29-32 – Esame clinico al momento della consegna protesica
- Fig. 30
- Fig. 31
- Fig. 32
- Figg. 33-39 – Controllo clinico e radiologico a 2 anni dalla consegna
- Fig. 34
- Fig. 35
- Fig. 36
- Fig. 37
- Fig. 38
- Fig. 39
- Fig. 40 – Sorriso della paziente a 2 anni dalla consegna








































