Autori: Dott. Nazario Russo, Dott. Davide Montisci, Dott. Giacomo Coppola, Dott. Marco Sambiagio.
Il caso clinico riportato tratta l’inserimento di un impianto post-estrattivo in chirurgia guidata. Lo scopo di questo lavoro è stato quello di dimostrare la necessità dell’utilizzo di questa tecnica, in situazioni cliniche definite borderline, che è da preferire ad un intervento in chirurgia tradizionale che, anche se eseguito da un operatore esperto, potrebbe arrecare danni irreversibili ai denti adiacenti.
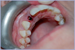
La paziente, di 29 anni di età , si è presentata alla nostra osservazione, presso il Reparto di Implantologia dell’Università degli Studi di Cagliari, lamentando dolore e leggera mobilità dell’incisivo laterale superiore di destra, oltre a sottolineare il grosso disagio estetico. All’esame obiettivo notiamo, oltre alla mobilità dell’elemento dentario, un’eccessiva inclinazione vestibolare della corona con conseguente inclinazione radicolo-palatale e relativa alterazione delle parabole gengivali (Figg. 1-3). La richiesta della paziente è stata quella di estrarre l’elemento in questione e di sostituirlo con una protesi fissa supportata da un impianto ed inoltre, di ottenere subito un ripristino estetico.
Prescriviamo alla paziente un esame radiografico CBCT, al fine di poter formulare un piano di trattamento. La panorex evidenzia una curvatura distale del terzo apicale della radice dell’incisivo centrale superiore di destra, che giustifica la dislocazione della radice del 12 in senso palatale (Figg. 4, 5). Le scansioni assiali (Fig. 6) ci danno informazioni circa lo spazio esiguo, tra il 13 e l’11, soprattutto in considerazione del fatto che era nostra intenzione modificare l’asse d’inserimento dell’impianto per poter correggere l’eccessivo torque radicolo-palatale del 12.
Decidiamo di eseguire l’intervento in chirurgia guidata per essere certi di non danneggiare, con le frese da preparazione, le radici dei denti contigui. Sulla base dell’esame CBCT è stato pianificato, grazie al software 3Diagnosys Leone, l’inserimento di un impianto Exacone® 3,3 per 12 mm (Figg. 7-10). Il Digital Service Leone, sulla base della nostra progettazione implantare, realizza un modello master in resina bicolore con l’impianto in posizione. A sua volta il laboratorio costruisce una mascherina per la chirurgia guidata (Figg. 11, 12) e una corona provvisoria in resina solidarizzata ad un moncone temporaneo in Peek (Figg. 13-15).
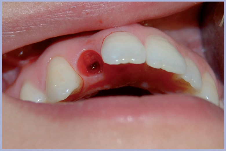
Dopo aver praticato anestesia plessica, procediamo all’estrazione atraumatica del 12, nel pieno rispetto dei tessuti parodontali (Figg. 16-18).
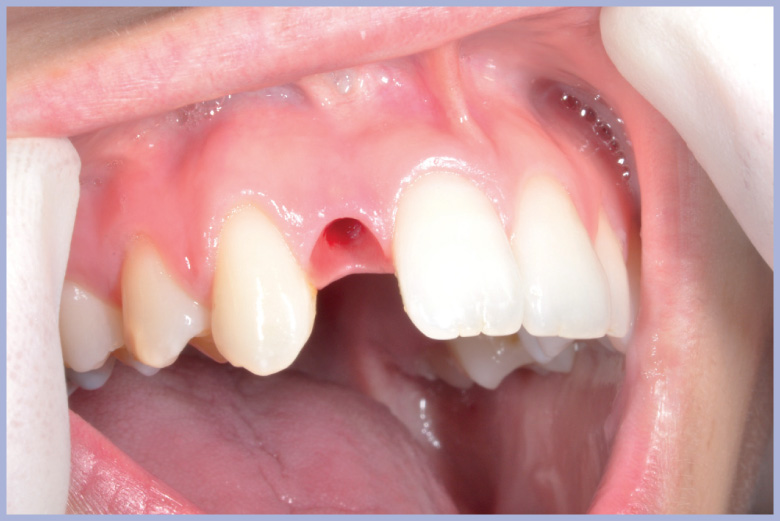
Dopo aver verificato la precisione della dima chirurgica (Figg. 19, 20), anche grazie alle finestre d’ispezione, e dopo il passaggio della fresa pilota (Figg. 21, 22) e della fresa Zero1 (Figg. 23-25), abbiamo inserito l’impianto montato sul carrier per chirurgia guidata, sempre utilizzando la mascherina senza boccola (Figg. 26, 27) come guida (Figg. 28-30).
A questo punto proviamo il moncone temporaneo (Fig. 31) e il provvisorio (Fig. 32), ma notiamo che quest’ultimo non sostiene abbastanza la scarsa gengiva aderente presente e le papille, soprattutto la mesiale; modifichiamo il provvisorio, aggiungendo del composito flow, bombando e allungando il colletto e aumentando in senso apicale i punti di contatto (Figg. 33-35).
Dopo la modifica notiamo che sia la gengiva aderente, che le papille appaiono ischemiche (Fig. 36).
A distanza di quattro mesi (Fig. 37), smontiamo il moncone (Fig. 38) e il provvisorio e notiamo l’ottima maturazione dei tessuti (Figg. 39, 40); prendiamo l’impronta con tecnica sandwich (Figg. 41-43) e proviamo il moncone definitivo e la struttura in zirconia (Figg. 44, 45); dopo aver scelto il colore (Fig. 46), inseriamo di nuovo il moncone temporaneo (Fig. 47) e rimandiamo il manufatto in laboratorio per la finalizzazione protesica.
Quando ci torna il lavoro definitivo dal laboratorio, rimuoviamo il moncone temporaneo (Figg. 48, 49) ed effettuiamo una prova in bocca.
A questo punto cementiamo extra-oralmente la corona sopra il moncone ibrido in titanio zirconia (Figg. 50-53) con un cemento resinoso apposito e posizioniamo il manufatto definitivamente nell’impianto (Figg. 54-57).
Concludiamo sottolineando come la chirurgia guidata sia stata indispensabile per poter effettuare un intervento in sicurezza e come, grazie alla stessa, siamo riusciti fin dall’inizio a migliorare l’estetica del sorriso con soddisfazione della paziente e degli operatori.
- Figg. 1-3 – Situazione iniziale
- Fig. 2
- Fig. 3
- Figg. 4-6 – Esame Cone Beam iniziale
- Fig. 5
- Fig. 6
- Figg. 7-10 – Pianificazione implantare con software 3Diagnosys Leone
- Fig. 8
- Fig. 9
- Fig. 10
- Figg. 11-12 – Guida chirurgica
- Fig. 12
- Figg. 13-15 – Modello master 3D prototipato Digital Service Leone come ausilio alla realizzazione del provvisorio
- Fig. 14
- Fig. 15
- Figg. 16-18 – Estrazione atraumatica dell’elemento dentario 12
- Fig. 17
- Fig. 18
- Figg. 19-20 – Prova della guida chirurgica
- Fig. 20
- Figg. 21-22 – Passaggio guidato della fresa pilota
- Fig. 22
- Figg. 23-25 – Passaggio guidato della fresa Zero1
- Fig. 24
- Fig. 25
- Figg. 26-27 – Rimozione della boccola dalla guida
- Fig. 27
- Figg. 28-30 – Inserimento guidato dell’impianto attraverso la guida senza boccola
- Fig. 29
- Fig. 30
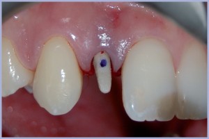
- Fig. 31 – Prova del moncone temporaneo
- Fig. 32 – Prova del provvisorio
- Figg. 33-35 – Aggiunta del composito Flow sul provvisorio per sostenere le papille
- Fig. 34
- Fig. 35
- Fig. 36 – Prova del provvisorio modificato
- Fig. 37 – Dopo 4 mesi dall’intervento
- Figg. 38-40 – Rimozione del provvisorio
- Fig. 39
- Fig. 40
- Fig. 41 – Inserimento del transfer
- Figg. 42-43 – Presa dell’impronta con tecnica sandwich
- Fig. 43
- Figg. 44-45 – Prova del moncone ibrido titanio-zirconia
- Fig. 45
- Fig. 46 – Scelta del colore
- Fig. 47 – Riposizionamento del moncone temporaneo
- Figg. 48-49 – Quando il lavoro è terminato, rimozione del moncone temporaneo
- Fig. 49
- Figg. 50-53 – Cementazione extra-orale della corona sopra il moncone ibrido
- Fig. 51
- Fig. 52
- Fig. 53
- Figg. 54-57 – Posizionamento del lavoro definitivo
- Fig. 55
- Fig. 56
- Fig. 57
Realizzazioni protesiche per la mascherina chirurgica, moncone temporaneo e provvisorio: Odt. Massimiliano Pisa Titolare del laboratorio Dental Giglio – Firenze
Realizzazione protesica definitiva: Laboratorio Odontotecnico Vincenzo Zotti – Benevento

























































