Autori: Dr. Salvatore Belcastro, Dr. Fulvio Floridi, Dr. Leonardo Palazzo, Dr. Mario Guerra.
L’implantologia osteointegrata ha subito nel corso degli ultimi decenni, sin dalla sua nascita ed affermazione scientifica, una serie di evoluzioni concettuali che evidenziavano diversi aspetti ritenuti, in epoche diverse, al centro dell’interesse dei ricercatori e dei clinici che si occupavano dell’argomento.
Dagli anni 70-80, in cui primaria importanza era attribuita all’osteointegrazione, tuttora requisito indispensabile per il successo della terapia implanto-protesica, si è passati agli anni 90, in cui la sperimentazione e l’affermazione clinica di tecniche chirurgiche avanzate, rigenerative e ricostruttive, permettevano l’inserimento di impianti anche in situazioni cliniche caratterizzate da una scarsità quali-quantitativa del substrato osseo disponibile. Parallelamente si affermavano tendenze, tuttora al centro dell’attenzione di clinici e pazienti, quali l’estetica dei manufatti protesici a supporto implantare, l’affidabilità a lungo termine di impianti e sovrastrutture protesiche e, soprattutto, la semplificazione delle procedure. Quest’ultimo orientamento da una parte ha consentito la diffusione dell’implantologia anche al di fuori di strutture ultraspecialistiche, situazione dominante nei decenni che ci hanno preceduto, e, dall’altra, ha reso enormemente più accettabili le procedure da parte dei pazienti.
L’evoluzione macro e micro-morfologica degli impianti e delle componentistiche protesiche ha portato indubbiamente ad un aumento dell’efficacia delle riabilitazioni ed in particolar modo dell’affidabilità a lungo termine, intesa non solo come sopravvivenza implantare e dunque semplice mantenimento dell’osteointegrazione, ma, soprattutto, come assenza o drastica riduzione di complicanze protesiche che molto spesso accompagnano la vita dei manufatti. Tale evoluzione ha riguardato in particolare la connessione impianto-moncone; da connessioni esterne di vario tipo si è passati nel corso degli anni a connessioni interne, volte a migliorare le caratteristiche estetiche dei manufatti e, soprattutto, quelle meccaniche, per ridurre inconvenienti comuni quali lo svitamento o la frattura delle viti di connessione. In questo contesto tende ad affermarsi sempre più il concetto della conometria; l’efficacia e l’affidabilità a lungo termine delle connessioni conometriche, associata ad una drastica riduzione del gap moncone-impianto, l’ottimo mantenimento del livello osseo marginale e conseguentemente del volume e della qualità dei tessuti molli peri-implantari e dell’estetica gengivale, sono tutti motivi per cui alcune tra le più affermate case costruttrici di impianti del mondo sono passate da sistematiche avvitate con geometria della connessione a facce piane, a metodiche caratterizzate da accoppiamento conico ma sempre con la presenza di una vite di connessione.
Se volessimo riassumere in tre punti fondamentali quelle che sono le attuali richieste del mondo dell’implantologia osteointegrata, potremmo parlare di estetica, di semplicità e di affidabilità nel tempo.
La sistematica implantare Exacone® sembra soddisfare appieno queste esigenze, grazie in particolar modo all’omonima connessione, che consente da una parte un’elevata affidabilità nel tempo, grazie alla stabilità meccanica ed all’assenza di viti, e dall’altra un ottimo mantenimento dei tessuti duri e molli peri-implantari, creando dunque le condizioni per il raggiungimento ed il mantenimento dell’estetica gengivale degli elementi implanto-protesici.
A titolo esemplificativo si illustra un caso di riabilitazione implanto-protesica nell’arcata superiore in cui, pur in una situazione di grave carenza ossea, la semplicità dell’approccio chirurgico, associata all’utilizzo di impianti Exacone®, ha portato all’ottenimento di ottimi risultati sia sotto il profilo funzionale che estetico.
Si tratta di una paziente di sesso femminile di 58 anni con assenza degli elementi 23, 24, 25, 26.
La situazione clinica iniziale (figg. 1, 2) manifestava un buon mantenimento dei rapporti scheletrici intermascellari sia sul piano verticale che trasversale.
L’esame OPT (fig. 3) manifestava una scarsa quantità ossea residua, più grave nei settori posteriori.
La presenza comunque di una altezza ossea minima di almeno 5 mm anche a livello degli elementi 25-26, associata a quello che sarebbe stato un buon rapporto corono-implantare, ci faceva optare per un posizionamento implantare mediante mini-rialzo del pavimento del seno mascellare con tecnica osteotomica con l’aggiunta di materiale da innesto, tecnica codificata da Summers come BAOSFE (Bone-Added Osteotome Sinus Floor Elevation).
L’alternativa, quantomeno a livello degli elementi 25-26, avrebbe potuto essere il grande rialzo del pavimento del seno mascellare, procedura indubbiamente più complessa e, soprattutto, associata a tempi di trattamento molto più lunghi.
L’intervento iniziava con una incisione crestale (fig. 4) accompagnata da scarichi marginali a livello del 23 e del 27. Si procedeva dunque a tracciare le sedi implantari tramite la fresa a pallina (fig. 5); l’utilizzo di questa fresa metteva subito in evidenza una scarsa qualità ossea per cui si decideva di continuare la preparazione dei siti implantari con l’utilizzo dei soli osteotomi (fig. 6).
Si procedeva dunque alla preparazione dei siti nelle zone 24, 25, 26 tramite il già citato intervento BAOSFE con l’inserimento di materiale da innesto alloplastico (Biostite, Vebas) (fig. 7).
Venivano dunque posizionati quattro impianti, di cui il primo di 3,3mm di diametro e 12 mm di lunghezza nella zona 23 e gli altri tre di 4,1 mm di diametro e 10 mm di lunghezza nelle rimanenti zone (24, 25, 26) (figg. 8, 9).
Il posizionamento implantare era seguito dalla ricostruzione della cresta ossea tramite microinnesti di osso autologo prelevato nello stesso sito (fig. 10) mescolati a materiale da innesto alloplastico (Biostite, Vebas) (fig. 11).
Tutta l’area veniva ricoperta da una membrana riassorbibile in collagene (Paroguide, Vebas) (fig. 12).
Veniva infine eseguita una rx endorale subito dopo il posizionamento (fig. 13).
A distanza di 4 mesi, la seconda fase chirurgica (figg. 14, 15) metteva in evidenza un’ottima stabilità implantare, confermata dall’analisi radiografica che non mostrava segni di riassorbimento osseo peri-implantare (fig. 16).
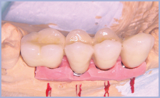
Le fasi protesiche hanno portato all’allestimento di un manufatto di 4 elementi in metallo-ceramica uniti, cementati sui monconi preparati in laboratorio (figg. 17-24).
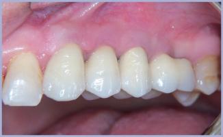
Ciò che si osserva nelle immagini relative alla consegna (figg. 25-27) ai vari controlli clinici, effettuati ad 1 settimana (fig. 28), a 1 mese (fig. 29), a 3 mesi (fig. 30), a 6 mesi (fig. 31) e a 8 mesi (fig. 33), è un notevole miglioramento dell’estetica gengivale, con completo ripristino della normale festonatura e recupero delle papille interdentali. Il recupero estetico gengivale da una parte dipende dalla morfologia protesica con profilo d’emergenza adeguato e corretto posizionamento dei punti di contatto, ma sicuramente un ruolo importante è giocato dalla conometria. Questa, infatti, grazie all’annullamento del gap e dei micro-movimenti moncone-impianto, consente un ottimo mantenimento dell’osso crestale, come evidenziato dalle radiografie di controllo (fig. 32), e una eccellente qualità dei tessuti molli peri-implantari, con importati risvolti sull’estetica gengivale degli elementi implanto-protesici.
- Figg. 1, 2 – Situazione clinica iniziale
- Fig. 2
- Fig. 3 – Rx OPT: si noti l’atrofia ossea
- Fig. 4 – Lembo d’accesso crestale
- Fig. 5 – Preparazione con la fresa a pallina
- Fig. 6 – Preparazione con osteotomi: tecnica BAOSFE
- Fig. 7 – Tecnica BAOSFE
- Figg. 8, 9 – Inserimento implantare
- Fig. 10 – Microinnesti di osso autologo
- Fig. 11 – Ricostruzione della cresta tramite materiale alloplastico e membrana
- Fig. 12 – Membrana riassorbibile in collagene in situ
- Fig. 13 – Rx endorale al momento del posizionamento
- Figg. 14, 15 – Seconda fase chirurgica
- Fig. 15
- Fig. 16 – Rx endorale al momento della seconda fase chirurgica
- Fig. 17 – Guarigione a 2 settimane dalla seconda fase chirurgica
- Fig. 18 – Canali mucosi a 2 settimane dalla seconda fase chirurgica
- Fig. 19 – Transfer da impronta in situ
- Fig. 20 – Monoimpronta in silicone
- Fig. 21 – Prova della struttura metallica
- Fig. 22 – Prova della struttura metallica: verifica dello spazio per la ceramica
- Fig. 23 – Monconi protesici fresati in laboratorio
- Fig. 24 – Manufatto pronto per la consegna
- Fig. 25 – Monconi protesici inseriti ed attivati
- Fig. 26 – Consegna del manufatto: si noti l’immaturità dei tessuti molli e la quasi totale assenza delle papille
- Fig. 27 – Rx endorale al momento della consegna
- Fig. 28 – Controllo clinico ad 1 settimana dalla consegna
- Fig. 29 – Controllo clinico ad 1 mese dalla consegna: si noti il progressivo miglioramento dei tessuti molli
- Fig. 30 – Controllo clinico a 3 mesi dalla consegna
- Fig. 31 – Controllo clinico a 6 mesi dalla consegna: si noti la perfetta restitutio ad integrum del contorno gengivale e delle papille
- Fig. 32 – Controllo radiologico (OPT) a 6 mesi dal posizionamento: si noti l’ottimo mantenimento del livello osseo crestale
- Fig. 33 – Controllo clinico a 8 mesi dalla consegna: perfetta integrazione tissutale del manufatto implanto-protesico
Realizzazioni protesiche: Laboratorio odontotecnico Peducci e Monni – Perugia
































