Autore: Dr. Marc Regrain.
Gli obiettivi di un trattamento implanto-protesico sono dati dalla facilità di impiego della sistematica, da un risultato soddisfacente – in particolar modo per il paziente – sia dal punto di vista estetico che funzionale e dalla durata nel tempo del restauro finale.
Il sistema Exacone®, grazie alle peculiari caratteristiche della sua connessione a cono Morse, può essere considerato una soluzione per i casi di bruxismo e un ulteriore passo in avanti contro la durata limitata degli impianti. Lo scopo di questo lavoro è per noi quello di presentare i grandi vantaggi del cono Morse proprio in un caso di bruxismo, che, in un sistema implantare avvitato, avrebbe rappresentato una controindicazione all’inserimento di impianti.
La paziente, di 58 anni, presenta dei problemi legati alle dimensioni verticali e ad un comportamento bruxista.
Per il posizionamento degli impianti ci si avvale del sistema Simplant (fig. 1), che ci consente di pre-determinarne i siti più idonei e di realizzare quindi delle dime chirurgiche stereolitografiche.
Dopo aver preparato il campo operatorio (figg. 2, 3), si provano sulla paziente le dime chirurgiche (figg. 4, 5).
Accertatisi del loro corretto posizionamento, si procede con l’estrazione dell’elemento 22 e con l’inserimento degli impianti con tecnica bifasica, di cui il 22 come post-estrattivo immediato (figg. 6-13).
Contestualmente al posizionamento degli impianti, si procede al riempimento di una deiscenza ossea in sede 23 con materiale da innesto (figg. 14, 15).
Ad una settimana dall’intervento si effettua un controllo radiografico (fig. 16).
A 8 mesi di distanza si posizionano i tappi di guarigione per il condizionamento tissutale. Si preferisce optare per un’altezza ridotta dei tappi, per evitare contatti prematuri con i denti antagonisti. Questa scelta su alcuni elementi, in seguito ad una ulteriore crescita gengivale, porta persino al rivestimento dei tappi da parte dei tessuti (fig. 17): questo non rappresenta però un problema, poiché i tessuti molli saranno ricondizionati dalla protesi, pertanto sarà questa ultima a operarne il modellamento definitivo.
Dopo un mese si prende l’impronta con tecnica indiretta e si realizzano in laboratorio i manufatti protesici (fig. 18).
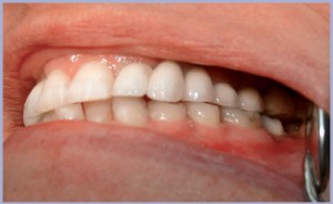
Si sono ripristinate così delle dimensioni verticali corrette, accompagnando tale risultato con una buona estetica (figg. 19-21).
Ad un anno di distanza la cresta ossea si mantiene stabile (fig. 22); si noti l’inserimento, nel frattempo, di altri due impianti Exacone® in posizione 46 e 47.
- Fig. 1 – Interfaccia del software Simplant
- Fig. 2
- Fig. 3
- Figg. 4, 5 – Prova delle dime chirurgiche
- Fig. 5
- Figg. 6, 7 – Incisione e scollamento dei tessuti molli
- Fig. 7
- Figg. 8, 9 – Posizionamento della dima chirurgica e osteotomia
- Fig. 9
- Figg. 10, 11 – Preparazione dei siti implantari
- Fig. 11
- Figg. 12, 13 – Inserimento degli impianti e dei tappi di chiusura
- Fig. 13
- Fig. 14 – Presenza di un difetto osseo in zona 23
- Fig. 15 – Innesto osseo per la correzione del difetto
- Fig. 16 – Controllo radiografico dopo una settimana
- Fig. 17
- Fig. 18
- Fig. 19
- Fig. 20
- Fig. 21
- Fig. 22 – Controllo radiografico dopo un anno
Realizzazioni protesiche: Laboratorio Apex di Michel Legueux – Villemomble (Francia)






















