Autore: Dr. Riccardo Della Ciana.
Questo articolo descrive un caso realizzato in due sole sedute operative, oltre alle visite iniziali e di controllo.
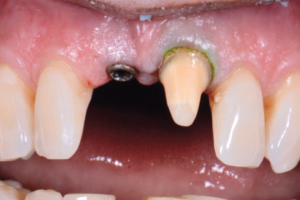
Si presenta al nostro studio una signora di mezza età con anamnesi di pregresso trauma agli incisivi centrali superiori 11 e 21. La paziente presenta un severo riassorbimento pulpare interno con perdita della parete palatale dell’11 e una comunicazione completa endodonto-parodontale (Figg. 1-4). Si decide di rimuovere l’11 sostituendolo con un impianto post-estrattivo. Per ottimizzare l’estetica dei due incisivi, disallineati e parzialmente sovrapposti, si decide di preparare anche il dente 21, già devitalizzato.
La paziente, per impegni personali, chiede di concentrare il lavoro e ridurre al minimo le sedute operative.
- Figg. 1-3 – Situazione clinica iniziale
- Fig. 2
- Fig. 3
- Fig. 4 – OPT iniziale
La prima seduta operativa si svolge come segue:
Si inizia con la scansione dell’arcata superiore con Cerec Omnicam in una cartella di “copia”. Successivamente si prepara l’elemento 21, si estrae l’11 e si inserisce un impianto post-estrattivo immediato (Leone 3,3 x 12 mm). Si prende immediatamente un’impronta con il transfer sull’impianto e il filo sul 21 e si posiziona un tappo di guarigione sull’impianto che rimane filo gengiva (Figg. 5, 6). Si prosegue con la scansione e il progetto in modalità “copia” di un “ponte” 21-11, con corona sul 21 ed elemento intermedio sull’11. Il ponte viene realizzato in Telio CAD, rifinito, scaricato dal tappo di guarigione, lucidato alla poltrona e si dimette la paziente (Fig. 7).
- Fig. 5 – RX endorale post-intervento, impianto Leone 3,3 x 12 mm con tappo di guarigione altezza 7 mm
- Fig. 6 – Visione clinica post-intervento, il tappo di guarigione è a filo gengiva
- Fig. 7 – Ponte provvisorio in Telio CAD in sito
Durante la fase di osteointegrazione si cola l’impronta tradizionale con l’analogo. Si prepara con la fresa un moncone Leone in titanio pieno adattandolo nell’inclinazione e nella forma. Il modello in gesso col moncone viene scansionato e sul modello virtuale si progetta una cappetta in disilicato di litio e.max (Fig. 8). Una volta realizzata, la cappetta viene incollata sul moncone in titanio con Multilink Hybrid Abutment (Figg. 9-11), ottenendo un’unità cappetta-moncone (Fig. 12). Da un duplicato della stessa impronta si fa fare al tecnico una ceratura diagnostica per le corone definitive.
- Fig. 8 – Cappetta in disilicato di litio
- Figg. 9-11 – Cementazione della cappetta in disilicato di litio sul moncone in titanio
- Fig. 12 – Unità cappetta-moncone
La seconda seduta operativa, ad osteointegrazione avvenuta, si svolge come segue:
Dopo aver rimosso il provvisorio e il tappo di guarigione (Figg. 13, 14) si procede ad “inconare” l’unità cappetta-moncone utilizzando un percussore in legno per non rovinare la cappetta. Una volta “inconata” l’unità cappetta-moncone, viene rifinita la preparazione in bocca (Fig. 15). A questo punto si procede alla scansione intraorale dei monconi (Fig. 16), mentre nella cartella di “copia” del Cerec si scansiona la ceratura diagnostica precedentemente preparata dal tecnico. Si procede al progetto delle definitive (Figg. 17-18) e la paziente va in sala d’aspetto nell’attesa delle corone definitive.
- Figg. 13, 14 – Situazione clinica dopo aver rimosso il ponte provvisorio e il tappo di guarigione
- Fig. 14
- Fig. 15 – Unità cappetta-moncone inconata e rifinita
- Fig. 16 – Scansione intraorale dei monconi
- Figg. 17, 18 – Progetto delle corone definitive
- Fig. 18
Terminato il progetto, vengono subito fresate le corone definitive utilizzando Empress CAD Multi A3 (Fig. 19) e lucidate a mano con una serie di gommini per ceramica (Figg. 20-22). Dopo due ore la paziente ritorna alla poltrona e si procede, dopo aver posizionato i fili retrattori, alla cementazione definitiva, alla rimozione del cemento (composito per posteriori), dei fili, alla lucidatura dei margini ecc. e si dimette la paziente (Fig. 23).
- Fig. 19 – Blocchetto Empress CAD Multi A 3
- Fig. 20 – Gommini per la lucidatura a mano della ceramica
- Figg. 21, 22 – Corone definitive lucidate
- Fig. 22
- Fig. 23 – Visione del lavoro protesico alla consegna
Controllo clinico e radiografico ad un mese: buona la risposta dei tessuti e buona l’integrazione estetica (Figg. 24-27).
- Fig. 24 – Controllo clinico a distanza di 1 mese
- Fig. 25 – Controllo radiografico a distanza di 1 mese
- Fig. 26 – Confronto tra la situazione clinica iniziale e ad 1 mese dalla consegna
- Fig. 27 – Il sorriso della paziente ad 1 mese dalla consegna

























