Autore: Dr. Roberto Meli.
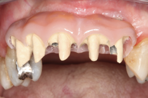
Il Sig. Mauro è un paziente che curo da venticinque anni. Oggi è in pensione, è diabetico e ha una malattia autoimmune (Guillain-Barré). Prende regolarmente metformina. Da ca. 14 anni è portatore di una protesi superiore fissa consistente in un bloccaggio metallo ceramica dal 13 al 22 sui denti pilastro 13-21-22. Si presenta con un ascesso della zona 11, zona edentula da molti anni. Data la situazione di partenza decido di non eseguire indagini RX volumetriche; il paziente acconsente ad un intervento esplorativo “aperto”, lasciandomi piena facoltà di decisione in quel momento.
Dopo adeguata terapia antibiotica procedo all’intervento, che nei miei piani avrebbe potuto andare dalla semplice avulsione di uno o più elementi, alla eventuale GBR dei siti estrattivi, all’inserimento contestuale di impianti. Dopo la rimozione del bloccaggio decido di aprire un lembo (Figg. 1, 2). Lo stato della lesione ossea impone l’avulsione del 21 e degli altri monconi ormai inservibili per un ricondizionamento protesico di questo settore. Considerando le aspettative e la scarsa disponibilità del paziente a sottoporsi a più interventi chirurgici decido di seguire una via risolutiva immediata: eseguo GBR con osso MBCP+ in granuli 0.5-1 mm e membrana riassorbibile EZ Cure dei siti 13,11, 21, inserisco un impianto Leone Max Stability 3,75 x 12 mm in sede 12 ed un identico impianto in modalità post-estrattiva in sede 22. La soluzione protesica provvisoria consiste in un semplice provvisorio in resina con ganci a filo (Fig. 3). La combinazione di GBR, impianti post-estrattivi e provvisorio mobile impongono una tecnica implantare doppia fase.
A sei mesi eseguo l’esposizione minimamente invasiva degli impianti (Fig. 4), e dopo tre settimane procedo alla rilevazione della prima impronta, una in alginato per l’antagonista inferiore e una di precisione superiore in Impregum completa di transfer per tecnica indiretta.
- Fig. 1- Situazione clinica iniziale
- Fig. 2 – Visione della zona e della lesione ossea dopo apertura del lembo
- Fig. 3 – Provvisorio in resina con ganci a filo
- Fig. 4 – Tappi di guarigione posizionati sui due impianti Max Stability 3,75 x 12 mm
Il laboratorio sviluppa il primo modello per la valutazione del caso, la progettazione protesica e la scelta dei monconi per protesi avvitata Leone (Figg. 5, 6). Il modello evidenzia che lo spazio a disposizione non è distribuito in modo ottimale. Si decide di mantenere più possibile le proporzioni dentali e il centro bocca, lasciando un diastema fra la parete distale del 22 della protesi e il 23, successivamente risolvibile con un restauro diretto sul 23 o una faccetta. Viene realizzata una ceratura (Fig. 7), la quale viene provata in bocca (Fig. 8).
- Figg. 5, 6 – Primo modello per la valutazione del caso e la scelta dei monconi per protesi avvitata
- Fig. 6
- Fig. 7 – Ceratura
- Fig. 8 – Prova della ceratura in bocca
Sullo stesso modello con l’ausilio dei monconi di prova in plastica vengono selezionati i monconi ideali sia per inclinazione che per altezza transmucosa. Sono stati scelti 2 monconi per protesi avvitata Exacone® 360° con inclinazione di 15° e altezza transmucosa di 1,5 mm (Figg. 9, 10).
- Figg. 9, 10 – Parallelizzazione dei monconi per protesi avvitata e fissaggio dell’esagono nella posizione più idonea
- Fig. 10
I monconi vengono definitivamente inconati con il percussore Leone negli impianti (Fig. 11) e si rileva con precisione la loro posizione con gli appositi transfer per monconi per protesi avvitata (Figg. 12, 13).
- Fig. 11 – Monconi per protesi avvitata inconati negli impianti
- Fig. 12 – Transfer avvitati sui monconi per protesi avvitata
- Fig. 13 – Transfer per monconi per protesi avvitata nell’impronta
Si sviluppa quindi il modello master con gli analoghi-moncone e si realizza un prototipo in resina per valutare la congruità funzionale ed estetica: precisione, passività, forma dei denti, sporgenze e sostegno labiale (Figg. 14-19).
- Fig. 14 – Cappette calcinabili alte posizionate sugli analoghi moncone inglobati nel modello master
- Figg. 15-18 – Prototipo in resina con elementi dentali smaltati
- Fig. 16
- Fig. 17
- Fig. 18
- Fig. 19 – Prova del prototipo in resina in bocca
Questa prova generale conferma che i passaggi precedenti sono stati corretti e consente di procedere alla finalizzazione del caso partendo dalla riduzione degli elementi dentali in monconi (Figg. 20-22).
Realizzata la fusione (Fig. 23) se ne verifica la precisione e la passività in bocca (Fig. 24); contestualmente si rileva anche il colore della mucosa (Fig. 25).
- Fig. 20 – Inizio della riduzione a struttura
- Fig. 21 – Valutazione spazi struttura
- Fig. 22 – Struttura pronta per la fusione
- Fig. 23 – Struttura in metallo sul modello master
- Fig. 24 – Prova della struttura in metallo in bocca
- Fig. 25 – Rilevamento del colore della mucosa
La fusione viene rifinita, sabbiata e opacizzata e si esegue la ceratura (Figg. 26-30).
Il laboratorio realizza corone monolitiche policromatiche (Fig. 31).
- Fig. 26 – Struttura rifinita e sabbiata
- Fig. 27 – Struttura opacizzata
- Fig. 28 – Cappe in resina calcinabile
- Fig. 29 – Cappe in resina sfilate
- Fig. 30 – Ceratura finita
- Fig. 31 – Corone monolitiche finite
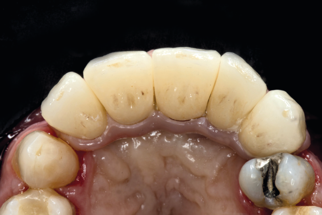
La mucosa viene realizzata in composito stratificato e lucidata con particolare attenzione nella parte inferiore per consentire al paziente di avere una corretta manutenzione della protesi e per agevolare le procedure di pulizia che garantiranno il mantenimento della salute dei tessuti gengivali intorno agli impianti (Figg. 32-35).
- Fig. 32 – Mucosa in composito finita
- Figg. 33-35 – Protesi finita
- Fig. 34
- Fig. 35
La struttura viene avvitata ai monconi nel cavo orale (Fig. 36) e le corone alloggiate sui monconi; oltre alla congruità estetica viene attentamente valutata anche la facilità per il paziente di ispezionare e detergere la protesi (Fig. 37).
- Fig. 36 – Struttura avvitata agli impianti
- Fig. 37 – Valutazione della facilità di detergere la protesi
Si riposiziona la protesi sul modello; le corone sui monconi extra-implantari vengono mordenzate, condizionate (Fig. 38), fissate definitivamente con cemento composito Multilink Hybrid Abutment ed accuratamente ripulite e lucidate fuori dal cavo orale. Infine si riposiziona la protesi definitivamente nel cavo orale (Fig. 39); le viti vengono serrate sui monconi, i camini di accesso alle viti chiusi e le corone cementate con cemento provvisorio (Fig. 40).
- Fig. 38 – Preparazione delle corone extra-implantari per la cementazione con Multilink Hybrid Abutment
- Fig. 39 – Struttura avvitata sui monconi; i canali di accesso alle viti sono stati chiusi
- Fig. 40 – Visione occlusale della protesi dopo la cementazione delle due corone in corrispondenza dei monconi con cemento provvisorio
Nei giorni successivi la parete mediale del 23 viene ricondizionata come previsto per un miglior adattamento estetico e funzionale (Figg. 41-44).
- Fig. 41 – Protesi alla consegna
- Figg. 42, 43 – Protesi dopo il ricondizionamento del 23
- Fig. 43
- Fig. 44 – Situazione finale
Conclusioni
La soluzione di questo caso è stata pienamente soddisfacente per tutti grazie alla scelta di “materiali e metodi” adeguati e al team in completa armonia.
Fin dalla prima fase chirurgica il focus della nostra attenzione è stato il Sig. Mauro e quindi i suoi problemi, le sue aspettative, la scelta della soluzione migliore per il caso specifico.
La chirurgia in una unica fase ha pienamente risposto alle esigenze del paziente cioè di basso impatto clinico. Una rigenerazione dei volumi ossei carenti ed un ripristino di tutti gli elementi dentali su impianti singoli pur rappresentando una eccellente soluzione qui non sarebbe stata né la migliore né la più indicata per il paziente.
La doppia fase implantare imposta dalla presenza di un provvisorio mobile ad appoggio mucoso pur non ideale era inevitabile.
La protesi realizzata dal Sig. Accioli rappresenta a mio avviso una soluzione perfetta in quanto risponde alle aspettative del paziente ma anche dell’odontoiatra: estetica, di semplice igienizzazione domestica ma anche robusta, affidabile, di facile approccio per l’odontoiatra in caso di eventuali manutenzioni future.
Realizzazioni protesiche: Odt. Massimiliano Accioli, Laboratorio Accioli & Puccini – Firenze












































