Autori: Dr. Mario Guerra, Dr. Salvatore Belcastro, Dr. Leonardo Palazzo.
Questo Case report descrive step-by-step il carico immediato con una protesi fissa avvitata su 6 impianti Leone.
L’esigenza del paziente era quella di riabilitare in una sola seduta l’arcata inferiore edentula tramite protesi fissa a supporto implantare. Il moderato grado di atrofia, associato ad un discreto mantenimento dei normali rapporti intermascellari sul piano frontale, verticale ed antero-posteriore, avevano indirizzato la scelta verso una riabilitazione implanto-protesica tipo Toronto Bridge. Questo tipo di protesi permette la sostituzione protesica dei tessuti molli per evitare denti troppo lunghi e inoltre la disposizione implantare non deve necessariamente corrispondere con l’emergenza degli elementi dentali. L’esame radiologico ortopanoramico (Fig. 1) e l’esame Cone Beam effettuato a distanza di alcuni mesi dalle estrazioni (Figg. 2, 3) evidenziavano una sufficiente conservazione della cresta ossea in senso verticale e degli spessori ossei vestibolo-orali per l’inserimento di 6 impianti 4,1 x 12 mm.
- Fig. 1
- Fig. 2
- Fig. 3
In previsione del carico immediato è stata presa inizialmente un’impronta tradizionale dell’arcata superiore (Fig. 4). Poiché era necessario un aumento della dimensione verticale, è stata registrata la corretta relazione tra l’arcata superiore e inferiore con l’aiuto della dentiera e un apposito masticone di cera (Fig. 5).
- Fig. 4
- Fig. 5
La dentiera è servita anche come dima chirurgica permettendo di riportare in arcata la posizione del 2, 4 e 6 (Figg. 6, 7), ovvero le aree in cui si è deciso di inserire gli impianti.
- Fig. 6
- Fig. 7
Dopo l’apertura del lembo (Figg. 8, 9) sono state trasferite sulla cresta ossea le 6 posizioni precedentemente rilevate con l’ausilio della fresa a lancia (Fig. 10) e i 6 siti implantari sono stati preparati il più possibile paralleli tra loro (Figg. 11-16).
- Fig. 8
- Fig. 9
- Fig. 10
- Fig. 11
- Fig. 12
- Fig. 13
- Fig. 14
- Fig. 15
- Fig. 16
In seguito all’inserimento degli impianti sono stati selezionati i monconi per protesi avvitata più idonei per angolazione e altezza gengivale con gli appositi monconi di prova (Fig. 17): sono stati scelti 5 monconi diritti GH 1,5 mm e uno diritto GH 3 mm. Una volta selezionati, si sono prelevati i monconi corrispondenti dalla valigetta All-on-four/All-on-six messa a disposizione dalla Leone. Per facilitare il loro posizionamento in bocca è stata utilizzata la vite lunga polifunzionale (Cat. 126-0015-06) che, avvitandola sulla testa del moncone, si usa come “carrier” rendendo più agevole il posizionamento del moncone in bocca (Figg. 18, 19). In caso di monconi angolati, dopo aver rimosso l’esagono Exacone® 360°, la vite lunga polifunzionale facilita anche la parallelizzazione dei monconi, i quali possono essere ruotati tramite la vite stessa, visualizzando meglio il parallelismo raggiunto. Dopo aver inconato i monconi per protesi avvitata con l’apposito percussore (Fig. 20), su di essi sono stati avvitati i transfer (Figg. 21, 22).
- Fig. 17
- Fig. 18
- Fig. 19
- Fig. 20
- Fig. 21
- Fig. 22
Facendo articolare il paziente con un masticone di cera posizionato sull’arcata superiore si è ottenuto un’ulteriore indicazione dell’altezza e dell’occlusione (Fig. 23); successivamente si è rilevato un’impronta di precisione dei 6 monconi per protesi avvitata già definitivamente fissati agli impianti (Figg. 24-26).
- Fig. 23
- Fig. 24
- Fig. 25
- Fig. 26
Svitati i transfer, le teste filettate dei monconi sono state protette con le apposite cuffie; prima di suturare è stato verificato con attenzione che non ci fosse rimasto del materiale da impronta tra i tessuti (Figg. 27-31).
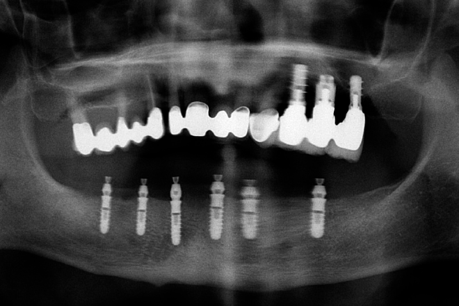
L’esame radiologico ortopanoramico effettuato subito dopo l’intervento ha confermato il corretto posizionamento degli impianti e dei monconi (Fig. 32).
- Fig. 27
- Fig. 28
- Fig. 29
- Fig. 30
- Fig. 31
- Fig. 32
Il tecnico Elia Amicuzi ha realizzato la protesi presso lo studio per ridurre i tempi e permettere la prova in bocca della protesi prima di finalizzarla. Gli analoghi-moncone sono stati avvitati ai transfer e gli insiemi analoghi-transfer sono stati riposizionati nell’impronta (Figg. 33, 34).
Per una maggiore veridicità il tecnico ha applicato della gengiva finta e realizzato il modello master (Figg. 35, 36) per la messa in articolatore (Fig. 37).
- Fig. 33
- Fig. 34
- Fig. 35
- Fig. 36
- Fig. 37
Ha fissato le cappette in titanio sopra gli analoghi-moncone e le ha tagliate in altezza (Figg. 38, 39).
Per rendere la protesi più rigida durante la prova ha realizzato un rinforzo in resina prima di eseguire la disposizione dei denti con la cera (Figg. 40-43).
- Fig. 38
- Fig. 39
- Fig. 40
- Fig. 41
- Fig. 42
- Fig. 43
Dopo solo tre ore la protesi “provvisoria” era pronta per la prova in bocca (Fig. 44).
Dopo aver rimosso le cuffie di protezione, la protesi “provvisoria” è stata provata con cura in bocca. La sua passività è stata verificata anche con la prova di Sheffield, avvitando una sola vite ed esaminando l’appoggio sui monconi lontani dal punto in cui la struttura è stata avvitata (Figg. 45-50).
- Fig. 44
- Fig. 45
- Fig. 46
- Fig. 47
- Fig. 48
- Fig. 49
- Fig. 50
Anche il fatto che tutte le viti sono scese senza resistenza fino a fine corsa conferma l’assoluta passività della struttura (Fig. 51). In caso di misfit della struttura si verifica un repentino e anticipato aumento di torque della vite. Dalla prova è inoltre emerso che la protesi nella zona anteriore comprimeva i tessuti e necessitava quindi di essere scaricata in quella zona (Fig. 52).
- Fig. 51
- Fig. 52
Dopo aver rimosso tutti i precontatti (Figg. 53, 54) si è restituito la protesi all’odontotecnico per la sua finalizzazione. Per la fabbricazione della protesi da consegnare al paziente, l’odontotecnico ha avvitato la protesi “provvisoria” con le viti lunghe polifunzionali sul modello (Fig. 55), realizzato una mascherina in silicone (Figg. 56, 57), rimontato i denti all’interno della mascherina (Figg. 58-60) e riempito le cavità residue con resina (Fig. 61).
- Fig. 53
- Fig. 54
- Fig. 55
- Fig. 56
- Fig. 57
- Fig. 58
- Fig. 59
- Fig. 60
- Fig. 61
Una volta polimerizzata, rifinita e lucidata (Figg. 62, 63) la protesi è stata consegnata al paziente (Figg. 64-67).
I canali di accesso alle viti sono stati chiusi alla prima visita di controllo una settimana dopo l’intervento.
- Fig. 62
- Fig. 63
- Fig. 64
- Fig. 65
- Fig. 66
- Fig. 67
Il carico immediato con i monconi per protesi avvitata Leone si è rivelato semplice e veloce. I monconi di prova hanno facilitato la scelta dei monconi idonei. Grazie alla valigetta All-on-four/All-on-six Leone abbiamo avuto a disposizione tutti i materiali che sarebbero potuti servire per il carico immediato. Il fissaggio dei monconi agli impianti è stato agevole e sicuro, la vite lunga polifunzionale ha semplificato sia il posizionamento dei monconi in bocca che la preparazione della protesi definitiva e inoltre il sistema di rilevamento dell’impronta si è dimostrato valido portando immediatamente ad una protesi perfettamente passiva. Anche il masticone di cera utilizzato per il rilevamento dell’altezza e dell’occlusione ha dato risultati corretti. Infine è da sottolineare che gestire una sola vite è sicuramente più semplice che gestirne due. La vite protesica Leone è estremamente grande con il suo diametro di 2 mm, rendendo più agevole il suo posizionamento e fissaggio. Inoltre è una vite estremamente robusta che di sicuro non avrà problemi di svitamento o di frattura nel futuro.
Realizzazioni protesiche: Odt. Elia Amicuzi – Roma



































































