Autore: Dott. Marco Buscia.
Giunge alla nostra osservazione un paziente di 40 anni deciso a inserire un impianto in zona 35 per una riabilitazione protesica. Dopo aver analizzato l’ortopantomografia (Figg. 1, 2), decidiamo di inserire un impianto Leone Ø 4,1 di 10 mm di lunghezza.
Cerchiamo di non danneggiare la papilla gengivale per ottenere poi un risultato estetico accettabile (Figg. 3,4). Trovandoci di fronte ad un osso molto tenero, decidiamo di usare anche l’osteotomo convesso della Leone, che oltre a completare la preparazione del sito implantare, compatta anche l’osso migliorando la stabilità primaria della fixture (Figg. 5-8).
Ogni volta che c’è la possibilità , quando utilizziamo una tecnica bifasica, cerchiamo di proteggere il nostro impianto con un dispositivo protesico. Tale manovra, in associazione alle caratteristiche degli impianti Leone, in numerosi casi è stata seguita dalla formazione di un’eccellente osteointegrazione che spesso ha addirittura coperto la testa della fixture costringendoci ad una piccola osteoplastica per rimuovere il tappo di chiusura. In questo caso, considerata la qualità dell’osso presente, dopo aver accertato che ci sia un adeguato spazio di masticazione, optiamo per l’utilizzo di un ragnetto con dei cavalieri in metallo (Figg. 9-11). Tale dispositivo può essere facilmente realizzato e la presenza di alette metalliche lo rende stabile e resistente alla masticazione.
In apertura chirurgica per l’inserimento di un tappo di guarigione troviamo, come ci aspettavamo, un osso crestale che è andato addirittura a coprire in parte la testa della fixture (Figg. 12, 13).
Dopo aver preso l’impronta (Figg. 14, 15) prepariamo il manufatto protesico e dopo le prove cliniche ed estetiche consegniamo il lavoro (Figg. 16-18).
Il controllo clinico e radiografico a 2 mesi dalla consegna del lavoro testimoniano l’ottimo stato di salute dei tessuti periimplantari (Figg. 19, 20).
- Fig. 1 – Ortopantomografia
- Fig. 2 – RX pre-intervento
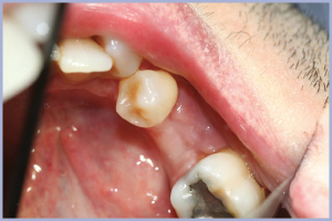
- Fig. 3 – Situazione clinica iniziale
- Fig. 4 – Scollamento del lembo
- Fig. 5 – Dima chirurgica per la demarcazione della sede d’impianto
- Fig. 6 – Sito chirurgico dopo il passaggio della fresa elicoidale di 2.8mm di diametro
- Fig. 7 – Utilizzo della punta compattatrice degli strumenti per chirurgia Leone per completare il sito chirurgico e compattare l’osso
- Fig. 8 – RX post-intervento: impianto Exacone 4,1 x 10mm con il tappo di chiusura in biopolimero
- Fig. 9 – Ragnetto con cavalieri in metallo
- Fig. 10 – Situazione clinica a 2 settimane dall’intervento
- Fig. 11 – Applicazione del ragnetto
- Fig. 12 – Situazione clinica alla riapertura a 5 mesi dall’intervento
- Fig. 13 – Inserimento di un tappo di guarigione 4,1 standard
- Fig. 14 – Situazione clinica dopo 2 settimane
- Fig. 15 – Presa dell’impronta con un transfer 4,1 standard
- Fig. 16 – Inconamento del moncone definitivo
- Figg. 17, 18 – Cementazione della corona definitiva
- Fig. 18
- Fig. 19 – RX di controllo a 2 mesi dalla consegna della protesi definitiva
- Fig. 20 – Situazione clinica a 2 mesi
Realizzazioni protesiche:Â Laboratorio odontotecnico Guglielmi e Pianosi – Pesaro




















