Autori: Dott. Nazario Russo, Dott. Giacomo Coppola,Dott. Davide Montisci.
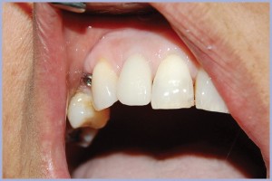
Nel giugno del 2011 si è presentata alla nostra osservazione, presso il reparto di implantologia dell’Università degli Studi di Cagliari, una paziente di 48 anni alla quale mancavano numerosi elementi dentari (Fig. 1). La richiesta della paziente è stata quella di poter essere riabilitata con protesi fissa, ma di dare precedenza all’incisivo laterale superiore destro che le procurava dolore e disagio estetico (Fig. 2).
Decidemmo di iniziare a trattare la paziente cominciando quindi dall’incisivo laterale, per poi continuare con gli altri elementi dentari, la cui riabilitazione non sarà però descritta nel presente articolo.
A noi pluriennali utilizzatori del sistema implantare Leone, proprio in quel periodo, veniva data l’opportunità di impiegare i nuovi impianti Max Stability. Questi impianti, grazie al loro design con spire aggressive di altezza aumentata rispetto agli impianti standard, sono particolarmente indicati in quelle situazioni cliniche nelle quali cerchiamo una stabilità primaria ottimale nonostante le condizioni di partenza non siano delle migliori. Infatti le indicazioni di utilizzo di questo impianto sono date dal posizionamento in siti con osso di scarsa densità e in siti post-estrattivi. Nella nostra pratica clinica ne abbiamo fatto uso anche in casi di inserimento di impianti in siti guariti dopo innesti e/o rigenerazioni, in casi di preparazione del sito con osteotomi e contestuale inserimento di bioinnesto e in casi di split crest, in presenza di spessore osseo ridotto.
Il caso in esame ci è sembrato ideale per l’impiego di un impianto Max Stability.
Dopo aver fatto l’anestesia plessica si è proceduto all’estrazione dell’elemento 12, nel pieno rispetto dei tessuti (Figg. 3, 4); eseguito un lembo a tutto spessore, paramarginale rispetto alle papille, si è fatta una toilette chirurgica del sito post-estrattivo e si è controllato che le pareti alveolari fossero integre (Fig. 5). A questo punto, lavorando con apparecchiatura piezoelettrica Piezosurgery, abbiamo creato un sito chirurgico più palatale rispetto al sito anatomico, per prevenire un eventuale riassorbimento della cresta alveolare vestibolare. Quindi abbiamo preparato il sito implantare, utilizzando esclusivamente le punte osteotomiche compattatrici, fino a una profondità di 14 mm dalla cresta.
A questo punto si è inserito un impianto 4,5 mm di diametro per 12 mm di lunghezza (Fig. 6), in posizione endocrestale (Figg. 7, 8). Poi si è posizionato un moncone temporaneo in ultrapolimero peek angolato a 15° (Fig. 9) e lo si è fresato intra-oralmente (Fig. 10). Dopo aver ribasato una corona provvisoria in resina, conferendole il giusto profilo d’emergenza, la si è fissata al moncone extra-oralmente con cemento per uso temporaneo (Figg. 11, 12). Dopo aver posizionato il manufatto sull’impianto si è attivata la connessione (Figg. 13, 14); quindi, dopo aver controllato che fossero assenti i contatti occlusali sia in massima intercuspidazione sia nei movimenti di protrusione e lateralità , si è proceduto alla sutura chirurgica a punti staccati (Fig. 15).
A distanza di quattro mesi dal posizionamento dell’impianto, dopo aver verificato l’ottimo ripristino dell’estetica e l’eccellente integrazione del manufatto provvisorio (Fig. 16), si è rimosso la corona provvisoria e si è proceduto al rilevamento dell’impronta con tecnica sandwich, utilizzando un transfer Ø 4,1 mm piattaforma Standard (Fig. 17). Da notare la perfetta festonatura gengivale che abbiamo ottenuto, grazie al corretto profilo di emergenza dell’elemento provvisorio (Figg. 18, 19).
All’appuntamento seguente abbiamo fatto una prova di inserimento del moncone in titanio e della corona definitiva in disilicato di litio (Figg. 20, 21). Successivamente, a distanza di cinque mesi dal posizionamento implantare, abbiamo proceduto alla consegna del restauro protesico definitivo, previa cementazione extra-orale (Figg. 22-25). Si ricorda come, per la corretta applicazione di questa procedura, sia fondamentale prima verificare l’inserimento passivo dell’insieme moncone+corona nell’impianto e poi applicare un’adeguata forza impulsiva di attivazione, preferibilmente su di un apposito jig realizzato in precedenza dal laboratorio.
Nei mesi successivi il follow-up periodico del caso evidenziava la stabilità tissutale peri-implantare (Figg. 26-28).
L’ultimo controllo, a distanza di 20 mesi dal posizionamento implantare (febbraio 2013), mostrava un ottimo mantenimento dell’architettura gengivale con pieno recupero estetico (Fig. 29).
- Fig. 1 – OPT iniziale
- Fig. 2 – Situazione clinica iniziale
- Fig. 3 – L’apertura del lembo consentiva di visualizzare la lesione apicale
- Fig. 4 – Estrazione dell’elemento 12
- Fig. 5 – Verifica dell’integrità delle pareti del sito
- Fig. 6 – Dopo aver iniziato l’inserimento dell’impianto con il raccordo per manipolo, si ultima il posizionamento con il cricchetto collegato alla prolunga. Per una migliore visibilità intra-operatoria si è rimosso il gommino colorato dal carrier
- Figg. 7, 8 – Visione vestibolare e occlusale dell’impianto appena inserito. Si può osservare come sia posizionato oltre 1 mm sotto cresta e a ridosso della parete palatale
- Fig. 8
- Fig. 9 – Inserimento del moncone temporaneo angolato
- Fig. 10 – Preparazione intra-orale del moncone
- Fig. 11 – Prova della corona provvisoria
- Fig. 12 – Cementazione extra-orale della corona provvisoria al moncone
- Figg. 13-14 – Inserimento del manufatto provvisorio nell’impianto
- Fig. 14
- Fig. 15 – Sutura a punti staccati
- Fig. 16 – Situazione clinica a distanza di quattro mesi dal posizionamento implantare
- Fig. 17 – Presa dell’impronta
- Figg. 18-19 – Condizionamento gengivale ottenuto con la protesi provvisoria. Si noti la perfetta festonatura dei tessuti
- Fig. 19
- Figg. 20-21 – Prova in bocca del moncone definitivo e della corona in disilicato di litio
- Fig. 21
- Fig. 22 – Stato di salute dei tessuti al momento della consegna della protesi definitiva, a distanza di quattro mesi dal posizionamento implantare
- Fig. 23 – Posizionamento del moncone definitivo
- Figg. 24-25 – Consegna del manufatto finale
- Fig. 25
- Fig. 26 – Situazione clinica a distanza di 2 mesi dalla consegna protesica
- Fig. 27 – Situazione clinica a distanza di 10 mesi dalla consegna protesica
- Fig. 28 – Situazione clinica a distanza di 12 mesi dalla consegna protesica
- Fig. 29 – Situazione clinica a distanza di 15 mesi dalla consegna protesica. Si notino la perfetta integrazione dei tessuti e l’ottimo recupero estetico
Realizzazioni protesiche: Laboratorio Odontotecnico Vincenzo Zotti – Benevento





























