Autore: Dott. Livio Sacchi.
Paziente di sesso maschile, 48 anni, edentulo, viso rettangolare, lineamenti marcati.
Si procede, dopo una attenta valutazione dell’esame ortopanoramico, all’inserimento nella zona mascellare di 6 impianti Exacone® Leone con tecnica bifasica (Fig.1).
Costatato l’integrazione degli impianti a distanza di 6 mesi dall’intervento, si prosegue il caso seguendo il protocollo consolidato: condizionamento dei tessuti molli con tappi di guarigione standard, presa d’impronta con transfer standard, realizzazione di un primo modello per la scelta dei monconi per protesi avvitata, fissaggio definitivo dei monconi in bocca (Fig. 2), presa d’impronta della posizione dei monconi (Fig. 3), realizzazione di un secondo modello con gli analoghi per monconi per protesi avvitata sul quale si progetta il Toronto Bridge.
Si costruiscono placche di masticazione per individuare la verticentrica, prove fonetiche ed estetiche del montaggio dei denti (Figg. 4, 5), da qui si ricava un prototipo in acrilico utilizzando sistemi di stampaggio per velocizzare tempi ed economizzare materiali mantenendo il progetto iniziale (Figg. 6, 7). Appoggiandosi a un centro di fresaggio Sirona, si fa realizzare con l’utilizzo della tecnologia CAD-CAM una struttura di sostegno in titanio, una garanzia non solo per l’accoppiamento passivo della struttura stessa ai monconi per protesi avvitata, ma anche per l’alta qualità del materiale utilizzato (Figg. 8, 9).
Si ricopre la struttura di sostegno in titanio con il composito ottenendo un fondo luminoso e colorato al fine di rendere il passaggio di luce nel settore frontale il più naturale possibile (Figg. 10, 11). Segue la cementazione adesiva del rivestimento estetico in disilicato di litio pressato nella zona frontale, mentre nella zona dei diatorici si opta per un rivestimento estetico in metallo ceramica cementato con un cemento provvisorio facilmente rimovibile. Nella realizzazione della parte estetica si usa la tecnica di modellazione AFG (Anatomic Functional Geometry) che si basa sulla memorizzazione del sottofondo invisibile del dente con l’obiettivo finale di avere una riabilitazione su impianti funzionale ed estetica (Figg. 12-17).
Si consegna la protesi finita (Figg. 18-21) con il vantaggio di aver ottenuto un risultato estetico e terapeutico ottimale, con la possibilità di poter facilmente svitare la riabilitazione nei controlli programmati.
- Fig. 1 – OPT di controllo
- Fig. 2 – Monconi per protesi avvitata definitivamente fissati in bocca
- Fig. 3 – Impronta della posizione dei monconi
- Fig. 4 – Prova montaggio di massima
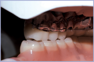
- Fig. 5 – Prova montaggio in bocca: visione palatale
- Fig. 6 – Prototipo in acrilico
- Fig. 7 – Prototipo in acrilico su sistema di stampaggio
- Figg. 8, 9 – Prova della struttura in titanio realizzata con tecnologia CAD/CAM
- Fig. 9
- Figg. 10, 11 – Struttura in titanio ricoperta da composito
- Fig. 11
- Figg. 12-17 – Tecnica di modellazione AFG (Anatomic Functional Geometry)
- Fig. 13
- Fig. 14
- Fig. 15
- Fig. 16
- Fig. 17
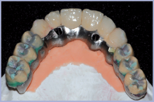
- Fig. 18 – Visione palatale della parte posteriore del ponte con incavo per decementazione
- Fig. 19, 20 – Visione frontale e palatale della protesi definitiva tipo Toronto Bridge
- Fig. 20
- Fig. 21 – Consegna del Toronto Bridge
Realizzazioni protesiche: Laboratorio odontotecnico Diego Corrisio – Spino D’Adda (CR)





















