Autore: Prof. Carlo Mangano.
Caso 1
Paziente uomo, di 65 anni, portatore da circa 20 anni di protesi mobile, con notevoli problemi di stabilità dovuti al marcato riassorbimento della cresta mandibolare. Si inseriscono quattro impianti in zona interforaminale.
Durante l’osteotomia i pin parallelizzanti facilitano l’ottenimento di una corretta direzione e posizione degli impianti (figg. 1-3). In seguito si inseriscono i tappi di guarigione (fig. 4). Dopo la maturazione dei tessuti molli (fig. 5) si prende l’impronta con i transfer (fig. 6) che rimangono inglobati nell’impronta (fig. 7).
In laboratorio si sviluppa il modello in gesso e si inseriscono gli appositi monconi per la barra (fig. 8). Sui monconi si modellano le cappette, utilizzando una resina calcinabile (figg. 9,10) e quindi si saldano i segmenti di barra alle cappette (fig. 11). Dopo aver provato la struttura in bocca al paziente (fig. 12), si prende un’impronta per inserire nella posizione corretta i cavalieri all’interno della protesi. Lavoro terminato (fig. 13) e RX di controllo (fig. 14).
Realizzazioni protesiche:Â Laboratorio LAB3 di Roberto Cavagna di Bergamo
Caso 2
Recentemente la Leone ha introdotto sul mercato delle cappette preformate per i monconi per barra, che permettono di semplificare il lavoro a carico del laboratorio e di aumentare la precisione di accoppiamento della protesi sui monconi.
Paziente donna di 59 anni con notevole riassorbimento osseo. Analogamente al caso precedente si inseriscono quattro impianti nella regione anteriore della mandibola. Si posizionano le cappette sui monconi presenti nel modello in gesso e si uniscono ai segmenti di barra con resina per saldature (figg. 1,2).
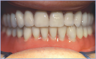
Si salda la barra (figg. 3,4), si fissano i cavalieri all’interno della protesi (fig. 5) e si prova la struttura completa in laboratorio (figg. 6,7). Si ancora e si avvita la barra sui monconi (figg. 8,9).
Infine, si applica la protesi sopra la barra (fig. 10).
- Fig. 1
- Fig. 2
- Fig. 3
- Fig. 5
- Fig. 6
- Fig. 7
- Fig. 8
- Fig. 10
- Fig. 11
- Fig. 12
- Fig. 13
- Fig. 14
Realizzazioni protesiche:Â Laboratorio LAB3 di Roberto Cavagna di Bergamo












