Autore:Â Prof. F. Roberto Grassi.
Paziente donna di anni 28. Si provvede all’avulsione dell’elemento 12 con conservazione della teca alveolare (figg. 1-3). Si prepara il sito implantare con il passaggio delle frese (fig. 4) e si controlla la lunghezza dell’alveolo con il profondimetro (fig. 5). Si inserisce un impianto Ø 3,3 mm lunghezza 14 mm in tecnica sommersa (figg. 6-8).
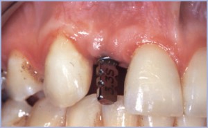
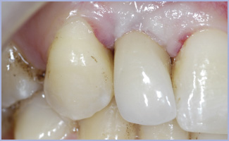
In seconda fase si scopre l’impianto tramite l’apertura di un lembo (figg. 9,10), si inserisce il tappo di guarigione (fig. 11) e si applicano i punti di sutura (fig. 12). Dopo la guarigione dei tessuti molli si prende un’impronta con i transfer per la realizzazione della protesi (figg. 13,14). Il lavoro terminato (figg. 15-17).
- Fig. 1
- Fig. 2
- Fig. 3
- Fig. 4
- Fig. 5
- Fig. 6
- Fig. 7
- Fig. 8
- Fig. 9
- Fig. 10
- Fig. 11
- Fig. 12
- Fig. 13
- Fig. 14
- Fig. 15
- Fig. 16
- Fig. 17
Realizzazioni protesiche:Â Laboratorio Tecnodental di Ciardelli e Macci di Bari

















