Autori:Â Dott. Mario Rocco Russomanno, Dott. Salvatore Belcastro, Dott. Leonardo Palazzo, Dott. Mario Guerra.
Introduzione
La gestione dei casi complessi, dalla diagnosi alla riabilitazione implanto-protesica, rappresenta ormai un’importante sfida per il team odontoiatrico.
Il concetto di successo implanto-protesico si è evoluto negli anni rispetto alla ricerca della semplice osteointegrazione e la quantità e qualità dell’osso disponibile, ormai, non sono più gli unici fattori condizionanti l’organizzazione del progetto terapeutico da realizzare.
L’attenzione si è adesso spostata sugli obiettivi estetici da realizzare nei diversi settori del cavo orale ed il mantenimento a lungo termine dei risultati ottenuti.
Il CAD/CAM (computer-aided design/computer-aided manufacturing) si è affermato ormai con forza in implantologia come valido ausilio per l’odontoiatra nella pianificazione del progetto terapeutico, dalla diagnosi al posizionamento implantare computer guidato, alle restaurazioni protesiche.
Nuovi materiali, grazie all’uso del CAD/CAM si sono aggiunti a quelli già disponibili ed il più importante fra tutti è sicuramente la zirconia che, una volta fresato e sinterizzato, diventa un materiale durissimo, resistentissimo ma anche, essendo dello stesso colore dei denti, esteticamente imbattibile.
Il caso clinico, piuttosto complesso, di seguito illustrato, riguarda il restauro implanto-protesico, completo per l’arcata superiore, e parziale per quella inferiore, con l’utilizzo di manufatti in zirconia.
Presentazione del caso
Paziente adulto con seri problemi parodontali, anomali rapporti occlusali, sia sul piano sagittale che su quello verticale, ed estetica compromessa (figg. 1-4).
- Fig. 1 – Visione intraorale frontale
- Fig. 2 – Visione intraorale laterale
- Fig. 3 – Si noti l’eccessivo overjet
- Fig. 4 – Il problema parodontale è evidente
L’ortopanoramica confermava la severa parodontopatia con riassorbimento osseo generalizzato sia orizzontale che verticale (fig. 5).
L’analisi integrata degli ausiliari diagnostici a disposizione indirizzava verso una riabilitazione implanto-protesica completa sull’arcata superiore, ed un restauro parziale dell’arcata inferiore.
Il montaggio diagnostico suggeriva un trattamento che prevedesse il riposizionamento del gruppo frontale superiore in una posizione più arretrata al fine di garantire un’estetica migliore con overjet ed overbite più adeguati (fig. 6).
- Fig. 5 – OPT iniziale
- Fig. 6 – I frontali inferiori sono in vestiboloversione
Trattamento chirurgico
Si optava per la rimozione di tutti gli elementi dentali superiori, del gruppo frontale inferiore e di 45-47-48, con posizionamento di 8 impianti sul mascellare superiore e di 4 sulla mandibola (figg. 7-11).
- Fig. 7 – La ceratura diagnostica è utile ai fini della organizzazione del progetto implantoprotesico
- Figg. 8, 9 – Chirurgia flapless e post-estrattivi immediati
- Fig. 9
- Fig. 10 – Gli impianti sono stati posizionati
- Fig. 11 – Monofase sommersa senza materiale di riempimento
- Fig. 12 – Il provvisorio replica la ceratura diagnostica
Gli impianti erano da posizionare contestualmente alle estrazioni dentali ed in chirurgia flapless. Minirialzi erano necessari sull’emiarcata superiore sinistra.
Si optava per una chirurgia in due tempi per via della presenza dei provvisori rimovibili.
Quest’ultimi venivano realizzati secondo il nuovo montaggio derivante dalla ceratura diagnostica e consegnati contestualmente alla chirurgia (fig. 12).
- Fig. 13 – OPT di controllo
- Fig. 14 – Rx endorali di controllo
Opt di controllo ed rx endorali consentivano di seguire nel tempo l’avvenuta osteointegrazione degli impianti (figg. 13-14).
Fase protesica
Dalla seconda chirurgia si passava alle impronte (fig. 15) al fine di realizzare una riabilitazione in zirconia grazie all’uso del CAD/CAM.
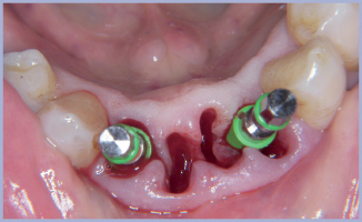
Gli abutments venivano scelti direttamente in bocca e verificati sul modello grazie al kit monconi di prova Exacone® 360° (fig. 16).
- Fig. 15 – L’impronta superiore
- Fig. 16 – La scelta degli abutment direttamente in bocca grazie al kit di monconi di prova Exacone® 360°
La scansione del modello consentiva la realizzazione di un cast verification index, utile ai fini della verifica della corrispondenza tra la posizione degli abutment sul modello ed in bocca (figg. 17-18).
- Fig. 17 – Tutti i monconi sono Exacone® 360°
- Fig. 18 – Cast verification index
Si procedeva quindi al fresaggio della barra di zirconia con prova del fitting sui monconi in bocca. La registrazione in cera dell’articolazione completava la prova (figg. 19-20).
- Fig. 19 – Una cera di articolazione completa la verifica
- Fig. 20 – La prova della travata di zirconia
Gli abutment venivano inconati e lasciati in bocca grazie all’uso di un provvisorio fisso in resina al fine di valutare con attenzione l’estetica, la fonetica ed i rapporti occlusali (fig. 21).
- Fig. 21 – Si inconano i monconi e si consegna il provvisorio
Il manufatto protesico, una volta ceramizzato veniva consegnato al paziente con cemento provvisorio (figg. 22-24).
- Fig. 22 – Alla consegna del manufatto finale i tessuti non sono ancora completamente organizzati
- Fig. 23 – Visione intraorale
- Fig. 24 – L’arretramento linguale del gruppo frontale evidenzia abbondanti tessuti vestibolari
Rx endorali, sia alla consegna che nel follow-up evidenziavano l’ottima condizione dei tessuti duri (figg. 25-28). Una buona visione d’insieme si ottiene con l’OPT a sei mesi dalla consegna (fig. 33). Si noti la stabilità dei tessuti periimplantari (figg. 29-32).
- Figg. 25, 26, 27, 28 – I livelli ossei sono ben al di sopra della connessione
- Fig. 26
- Fig. 27
- Fig. 28
- Fig. 29 – Nel follow-up a distanza il manufatto appare perfettamente integrato nell’ecosistema orale
- Fig. 30 – Nella visione a bocca chiusa si notano i nuovi rapporti interarcata
- Fig. 31 – Si noti il buon fitting del manufatto protesico ed i livelli ossei periimplantari
- Fig. 32 – La caratterizzazione della ceramica rende più naturale la ricostruzione
- Fig. 33 – L’OPT di controllo conferma l’ottima stabilità dei tessuti duri
Conclusioni
Una corretta pianificazione del trattamento implanto-protesico deve iniziare con un’anamnesi ed un esame obiettivo accurati seguiti dalla realizzazione di una ceratura diagnostica con organizzazione del piano terapeutico più adatto per ciascun paziente. La disponibilità delle tecniche CAD/CAM rende possibile l’uso di materiali, quale la zirconia, ad alta resa estetica, ai fini dell’ottenimento del miglior manufatto protesico per ciascun paziente.
Il follow-up, clinico e radiologico, conferma la corretta pianificazione diagnostico-terapeutica con il mantenimento di una buona estetica a lungo termine associata ad una adeguata stabilità dei tessuti duri e molli, di sostegno, periimplantari.
Realizzazioni protesiche: Laboratorio Odontotecnico FA.RO. srl – Roma

































