Autori: Dott. Alberto Frezzato, Dott.ssa Irene Frezzato.
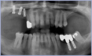
A metà 2003 giunge alla nostra osservazione paziente maschio di anni 54 portatore di parodontite settorialmente grave e complicata da lesioni infraossee circumferenziali purulente a carico di alcuni elementi dentari (15, 16, 35, 36, 47): questi appaiono senza possibilità di recupero, come evidenziabile da indagine radiologica iniziale (fig. 1), e vengono sottoposti ad estrazione.
La ortopantomografia iniziale mostra altresì una grave perdita ossea verticale a carico delle selle edentule superiori sia nella componente crestale, sia nella componente sinusale.
Al paziente, dopo adeguata preparazione iniziale, si prospetta il ripristino funzionale dei quadranti 1 e 3, corrispondentemente agli elementi estratti.
Il quadro iniziale, ad estrazioni avvenute, si configura in: edentulia distale al 1° e 2° quadrante (Kennedy 1), edentulia intercalata di due elementi al 3° quadrante (Kennedy 3), edentulia distale al 4° quadrante (Kennedy 2).
Considerazioni di tipo clinico ed il desiderio del paziente di ridurre il disagio ed accorciare il più possibile i tempi di trattamento portano alla formulazione di un piano di trattamento che escluda un innesto osseo a ripristinare la componente ossea crestale perduta, e fanno optare per una riabilitazione implanto-protesica al 1° quadrante mediante rialzo sinusale con approccio laterale (grande rialzo). Il 3° quadrante appare adeguato per spessore ed altezza ossea, cosicché si escludono procedure rigenerative e si prospetta una procedura implantare standard.
Nell’ottobre 2003 si pratica l’intervento al 1° quadrante, che nelle intenzioni degli operatori dovrebbe essere di solo innesto sub-sinusale, come preparazione di futuro sito implantare (fig. 2).
Si apre lembo a tutto spessore mediante incisione crestale longitudinale e rilascio distale al 14, con risparmio della papilla (fig. 3). Lo scollamento del lembo permette di evidenziare la parete ossea vestibolare su cui si pratica finestrella ovoidale di circa 12 mm ribattuta in profondità durante lo scollamento della membrana sinusale (fig. 4). Si verifica l’integrità della membrana sinusale mediante manovra del Valsalva. La cresta ossea residua appare gravemente atrofica, per un’altezza ≤ 3mm.
Ugualmente, si riesce a inserire due impianti in posizione 15 (diametro 3,3 mm) (fig. 5) ed in posizione 17 (diametro 4,1 mm) (fig. 6) con sufficiente stabilità  primaria. Si pratica innesto sub-sinusale mescolando bone chips a prelievo dal tuber di destra (figg. 7, 8) e idrossiapatite di sintesi (fig. 9). Si copre la finestrella con una membrana di collagene (fig. 10) e si sutura a punti staccati (fig. 11). Le radiografie del primo intervento (figg. 12, 13) evidenziano un incompleto scollamento/riempimento sub-sinusale mesiale.
In attesa della maturazione tissutale si procede, dopo due mesi, all’inserimento di due impianti al 3° quadrante. Si scolla lembo a tutto spessore in sede 35 e 36 (fig. 14) e si inseriscono due impianti diametro 4,1 mm in posizione di 36 (fig. 15) essendo il sito 35 non completamente calcificato.
A distanza di due mesi, si protesizzano tali impianti mediante protesi metallo-ceramica di tre elementi (figg. 16, 17).
A quattro mesi dal primo intervento al 1° quadrante, si interviene con secondo tempo chirurgico a posizionare un terzo impianto di diametro 4,1 mm intermedio ai precedenti due (figg. 18-20).
A giugno 2004, si pratica il rientro chirurgico per la connessione dei monconi (figg. 21 e 22) e si procede al confezionamento e consegna della protesi in metallo-ceramica (figg. 23, 24).
La ortopantomografia e l’endorale mostrano un corretto livello dell’osso crestale (figg. 25, 26).
Si rivede il paziente nel giugno 2009 a distanza di 5 anni: come emerge dall’esame clinico (figg. 27, 31) i tessuti appaiono sani e notevolmente migliorati rispetto al tempo della consegna della protesi. Le immagini radiografiche (figg. 28-30, 32) permettono di evidenziare il mantenimento di una corretta osteointegrazione, un aumento verticale di osso a carico della cresta del primo quadrante e, soprattutto, un mantenimento osseo crestale periimplantare ottimale, senza alcun riassorbimento, esattamente sovrapponibile al tempo zero.
L’evidenza di tale risultato a carico di due siti dalle caratteristiche anatomiche e cliniche diverse ci fa riflettere sulla necessità di perseguire come obiettivo primario la stabilità tissutale nel tempo. Questa significa stabilità funzionale e stabilità estetica, e può essere ottenuta dalla sommatoria di più variabili: un corretto piano di trattamento, una chirurgia precisa e rispettosa dei tessuti, le caratteristiche macro e microscopiche degli impianti, il tipo di connessione moncone-impianto, la qualità della protesi implantare, e, fondamentale, la compliance del paziente.
- Fig. 1 – Opt iniziale
- Fig. 2 – Sede dell’intervento
- Fig. 3 – Scollamento del lembo
- Fig. 4 – Grande rialzo del seno mascellare (approccio laterale)
- Fig. 5 – Inserimento impianto mesiale, sede 15
- Fig. 6 – Inserimento impianto distale, sede 17
- Fig. 7 – Prelievo dal tuber dx
- Fig. 8 – Innesto sub-sinusale
- Fig. 9 – Completamento innesto osseo con idrossiapatite di sintesi
- Fig. 10 – Copertura della finestrella laterale con collagene
- Fig. 11 – Sutura
- Fig. 12 – Opt primo intervento
- Fig. 13 – Particolare primo impianto
- Fig. 14 – Intervento 3° quadrante – apertura lembo
- Fig. 15 – Inserimento impianti 3° quadrante
- Fig. 16 – Consegna protesi 3° quadrante
- Fig. 17 – Rx alla consegna della protesi 3° quadrante
- Fig. 18 – Secondo intervento 1° quadrante – rientro a 4 mesi
- Fig. 19 – Inserimento di impianto intermedio
- Fig. 20 – Opt secondo intervento al 1° e 3° quadrante
- Fig. 21 – Connessione monconi 1° quadrante
- Fig. 22 – Rx connessione monconi
- Fig. 23 – Consegna protesi 1° quadrante
- Fig. 24 – Visione occlusale protesi 1° quadrante
- Fig. 25 – Opt consegna anno 2004
- Fig. 26 – Particolare alla consegna protesi 1° quadrante – anno 2004
- Fig. 27 – Controllo 1° quadrante a 5 anni – anno 2009
- Fig. 28 – Opt a 5 anni – anno 2009
- Fig. 29 – Rx particolare a 5 anni – anno 2009
- Fig. 30 – Rx controllo anno 2009 con diversa proiezione
- Fig. 31 – Controllo anno 2009, 3° quadrante
- Fig. 32 – Rx controllo anno 2009, 3° quadrante
Realizzazioni protesiche:Â Laboratorio odontotecnico Ceramodent di Paolo Morbiato e C. – Padova
































