Autori: Dott. Leonardo Targetti, Dott. Mario Guerra, Dott. Salvatore Belcastro, Dott. Roberto Meli, Dott. Mario Russomanno.
Benefici clinici
Il mantenimento dell’osso periimplantare nel tempo sembra essere strettamente legato al sigillo batteriologico della connessione impianto/moncone. Infatti come è noto dalla Letteratura, il gap tra impianto e abutment è causa di passaggio batterico, che suscita una reazione infiammatoria dei tessuti periimplantari e un conseguente riassorbimento osseo. Solo una connessione con gap zero e quindi ermetica può pertanto prevenire una simile risposta da parte dell’organismo; l’assenza di infiltrato infiammatorio che ne deriva determina, inoltre, un elevato grado di salute nei tessuti molli periimplantari, con significativo miglioramento dell’estetica gengivale dei restauri protesici.1-6 Nella connessione a cono Morse dell’impianto Exacone®, oltre a queste due caratteristiche si va ad aggiungere il “Platform Switching” design del sistema, che porta alla formazione di un maggior volume di tessuti molli periimplantari e, quindi, a un miglior sigillo dei tessuti stessi, facilitandone l’azione difensiva contro la penetrazione batterica. Tali fattori determinano un buon mantenimento osseo periimplantare nel tempo.7-11
Casi clinici e follow-up a lungo termine
La selezione di immagini e/o radiografie di casi clinici, realizzati da vari professionisti usando distinte tecniche chirurgiche e protesiche, vogliono testimoniare il mantenimento del tessuto osseo periimplantare negli anni e come questo, costituendo un valido sostegno, garantisca stabilità ed estetica del tessuto molle.
Caso 1 – Dente singolo in zona 46 – Follow-up a 5 anni (Figg. 1-4)
- Fig. 1 – Inserimento impianto zona 46 con tecnica doppia fase chirurgica, controllo radiografico
- Fig. 2 – Applicazione della protesi
- Fig. 3 – Follow-up a 5 anni, controllo radiografico
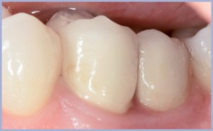
- Fig. 4 – Follow-up a 5 anni, aspetto del tessuto molle
Caso 2 – Dente singolo in zona 36 – Follow-up a 5 anni (Figg. 5-8)
- Fig. 5 – Inserimento impianto zona 36 con tecnica fase chirurgica unica, controllo radiografico
- Fig. 6 – Applicazione della protesi
- Fig. 7 – Follow-up a 5 anni, controllo radiografico
- Fig. 8 – Follow-up a 5 anni, aspetto del tessuto molle
Caso 3 – Dente singolo in zona 23 – Follow-up a 3 anni (Figg. 9-13)
- Fig. 9 – Applicazione del moncone con corona cementata extraoralmente su impianto in zona 23
- Fig. 10 – Applicazione della protesi, controllo radiografico
- Fig. 11 – Applicazione della protesi
- Fig. 12 – Follow-up a 3 anni, controllo radiografico
- Fig. 13 – Follow-up a 3 anni, aspetto del tessuto molle
Caso 4 – Dente singolo in zona 24 – Follow-up a 1 anno (Figg. 14-17)
- Fig. 14 – Controllo radiografico al momento dell’applicazione della protesi su impianto in zona 24
- Fig. 15 – Applicazione della protesi
- Fig. 16 – Follow-up a 1 anno, controllo radiografico
- Fig. 17 – Follow-up a 1 anno, aspetto del tessuto molle
Caso 5 – Dente singolo in zona 46 – Follow-up a 3 anni (Figg. 18-22)
- Fig. 18 – Aspetto del tessuto molle a 1 settimana dalla applicazione della protesi in zona 46
- Fig. 19 – Follow-up a 1 anno controllo radiografico
- Fig. 20 – Follow-up a 1 anno, aspetto del tessuto molle
- Fig. 21 – Follow-up a 3 anni, controllo radiografico
- Fig. 22 – Follow-up a 3 anni, aspetto del tessuto molle
Caso 6 – Sella edentula in zona 44, 45 – Follow-up a 6 anni (Figg. 23, 24)
- Fig. 23 – Applicazione protesi su impianti in zona 44 e 45
- Fig. 24 – Follow-up a 6 anni, aspetto del tessuto molle
Caso 7 – Dente singolo in zona 46 – Follow-up a 1 anno (Figg. 25, 26)
- Fig. 25 – Applicazione protesi in zona 46
- Fig. 26 – Follow-up a 1 anno, aspetto del tessuto molle
Caso 8 – Dente singolo in zona 21 – Follow-up a 7 anni (Figg. 27, 28)
- Fig. 27 – Inserimento impianto in zona 21 con tecnica chirurgica a fase unica, controllo radiografico
- Fig. 28 – Follow-up a 7 anni, controllo radiografico
Caso 9 – Sella edentula in zona 34, 35 e 36 – Follow-up a 6 anni (Figg. 29, 30)
- Fig. 29 – Applicazione della protesi su impianti in zona 34 e 36, controllo radiografico
- Fig. 30 – Follow-up a 6 anni, controllo radiografico
Caso 10 – Dente singolo in zona 35 – Follow-up a 7 anni (Figg. 31, 32)
- Fig. 31 – Applicazione della protesi su impianto in zona 35, controllo radiografico
- Fig. 32 – Follow-up a 7 anni, controllo radiografico
Realizzazioni protesiche: Laboratori Dental Giglio di M. Pisa di Firenze, Picchi-Perugi-Santoni di Firenze, Peducci e Monni di Perugia, Wilocs di Roma
Bibliografia:
1. Gherlone E, Mascardi A, Paracchini L, Capuano A, Targetti L, Grassi R. Valutazioni geometriche e strutturali tra elementi costituenti impianti dentali. Il Dentista Moderno Maggio 2002; 59-70.
2. Dibart S, Warbington M, Su MF, Skobe Z. In vitro evaluation of the implant-abutment bacterial seal: the locking taper system. Int J Oral Maxillofac Implants 2005 Sep-Oct;20(5):732-737.
3. Gherlone E, Mascardi A, Ferraris S, Paracchini L, Pastoni F, Strola G. Permeabilità alla colonizzazione batterica di due diversi tipi di impianti. Il Dentista Moderno, giugno 2001,69-75.
4. Milazzo I, Blandini G, Nicoletti G, Baglio O, Pappalardo S. Impianti dentali a connessione conometrica versus impianti dentali a connessione avvitata: studio microbiologico e al microscopio elettronico a scansione. GIMMOC Vol XI N° 1,2007;XI:8-14(564).
5. Jansen VK, Conrads G, Richter E-J. Microbial Leakage and Marginal Fit of the Implant-Abutment Interface. Int J Oral Maxillofac Implants 1997;12:527-540(606).
6. Eccellente T, Piombino M, Piattelli A. Valutazione clinica della mucosa peri-implantare su 100 impianti sommersi ad accoppiamento conico ad 1 anno dal carico. Quintessence International 2002;7/8:257-261.
7. Bedini R, Ioppolo P, Pecci R, Rizzo F, Di Carlo F, Quaranta M. Studio in vitro sulla connessione di sistemi implantari dentali. Rapporti ISTISAN 07/7, 27 p.
8. Hermann F, Lerner H, Palti A. Factors Influencing the Preservation of the Periimplant Marginal Bone. Implant Dent 2007 Jun 6(2):165-175.
9. Becker J, Ferrari D, Herten M, Kirsch A, Schaer A, Schwarz F. Influence of platform switching on crestal bone changes at non-submerged titanium implants: a histomorphometrical study in dogs. J Clin Periodontol 2007 Dec; 34(12):1089-96.
10. Lotto M, Facchini SE, Tondo M, Negri P. Il platform switching: una metodica per migliorare il successo in implantologia. Doctor Os 2008 Nov-Dic; 19(9):1075-1081.
11. Canullo L, Rasperini G. La conservazione dei tessuti periimplantari molli e duri grazie al cambio di piattaforma in impianti collocati in cavità postestrattive: studio dimostrativo di concetto con controlli tra 12 e 36 mesi. Quintessenza Internazionale 2008;24(5):59-66
































