Autori: Dr. Salvatore Belcastro, Dr. Fesal El Zoobi, Dr. Leonardo Palazzo, Dr. Mario Guerra.
L’implantologia attuale, sempre più “protesicamente guidata”, deve affrontare molto spesso casi caratterizzati da forte carenza di osso disponibile, sia da un punto di vista quantitativo che qualitativo. I metodi possibili per superare tale difficoltà sono essenzialmente di due tipi: rigenerativo o conservativo.
Nell’ambito del secondo tipo di approccio si inserisce l’utilizzo, sempre più diffuso, di impianti di lunghezza e diametro ridotti con l’obiettivo di sfruttare al massimo l’osso disponibile ai fini implantologici evitando interventi più invasivi. Tale approccio risulta facilitato attualmente dal miglioramento della merceologia implantare (impianti con superfici trattate) e dal rapido sviluppo delle capacità diagnostiche con l’introduzione, sempre su più larga scala, di ausiliari come le TC dentali, Dentascan® o maxiscan, il cui utilizzo rende indubbiamente più agevole la valutazione pre-chirurgica di osso disponibile ai fini implantologici.
Fino a non molti anni fa era opinione comune, in alcuni casi avvalorata da evidenze scientifiche, che l’utilizzo di impianti di dimensioni ridotte fosse correlato ad una più bassa sopravvivenza degli stessi a breve ed a lungo termine. Tali opinioni erano basate su una serie di considerazioni biomeccaniche che ipotizzavano la minore efficacia degli impianti di lunghezza e diametro ridotti nel sostenere un carico protesico; l’alterato rapporto corona-radice che spesso si realizza utilizzando impianti corti, aggravato dai momenti flettenti derivanti da un posizionamento implantare angolato, associato al fatto che gli stessi impianti corti sono spesso posizionati nei settori posteriori dove frequentemente il volume osseo residuo non è ideale e per contro i carichi occlusali sono elevati, sono tutte condizioni prognostiche negative per la sopravvivenza a lungo termine delle riabilitazioni protesiche a supporto implantare. Tali considerazioni, che sul piano teorico appaiono plausibili, in realtà sono state gradualmente smentite dalla letteratura scientifica internazionale(1,2,3,4,5,6,7,8) che ha dimostrato con i numeri e non semplicemente con le sensazioni cliniche che la sopravvivenza degli impianti di lunghezza ridotta (uguale o inferiore a 10 mm) è pressoché sovrapponibile a quella degli impianti di lunghezza standard.
Molto interessante a questo proposito appare uno studio di Misch(9) il quale utilizzando impianti di lunghezza compresa tra 7 e 9 mm nei settori posteriori di entrambi i mascellari ha riportato una percentuale di sopravvivenza implantare pari al 99%; tali risultati, ovviamente, come riferisce lo stesso Misch, sono subordinati all’osservanza di semplici regole occlusali e di progettazione implanto-protesica volte a ridurre il sovraccarico occlusale sugli stessi impianti. Una modellazione dei tavolati occlusali tendente al piatto con cuspidi poco pronunciate e fosse poco profonde, una distribuzione omogenea dei contatti sia in massima intercuspidazione che, soprattutto, nelle escursioni eccentriche, l’utilizzo del maggior numero possibile di impianti compatibilmente con le esigenze di mantenimento igienico, lo splintaggio degli impianti tramite sovrastrutture protesiche unite sono tutti accorgimenti suggeriti da Misch, e da noi appieno condivisi, che rendono l’utilizzo degli impianti di lunghezza ridotta una metodica predicibile e dagli ottimi risultati.
In ogni caso bisogna sempre tener presente che l’alternativa all’utilizzo di impianti corti, in caso di volume osseo residuo insufficiente, è rappresentata o dalla rinuncia alla protesi ad ancoraggio implantare oppure dall’applicazione di tutte quelle tecniche rigenerative-ricostruttive i cui alti costi biologici ed economici non sempre sono accompagnati da una predicibilità di risultati superiore a quella dell’utilizzo degli impianti corti.
Nella nostra pratica clinica abbiamo da sempre dato preferenza ad un approccio di tipo conservativo cercando di utilizzare al massimo l’osso disponibile residuo ed impiegando molto spesso impianti di lunghezza ridotta; ovviamente le semplici regole occlusali sopra menzionate hanno da sempre accompagnato i nostri progetti implanto-protesici.
In particolare, per le riabilitazioni complesse la tendenza generale è sempre quella di unire il più possibile gli impianti tra di loro; le protesi su barra sono di gran lunga preferite alle protesi rimovibili su attacchi singoli cosi come le arcate edentule da riabilitare con protesi fisse prevedono nella maggior parte dei casi l’utilizzo di 8 impianti come supporto per 12 elementi in mono-fusione. In linea generale la quantità di osso disponibile in senso verticale che noi consideriamo sufficiente ad intervenire senza l’ausilio di tecniche rigenerative-ricostruttive è di circa 8 mm nell’arcata inferiore, sufficiente per accogliere impianti della stessa lunghezza, e di 5- 6 mm nell’arcata superiore, dove, con semplici interventi di mini-rialzo del pavimento del seno mascellare o del naso, si riesce ugualmente ad utilizzare impianti di 8 mm. Operando in questo modo le percentuali di successo degli impianti corti – cioè uguali o inferiori a 10 mm – si sono dimostrate quasi sovrapponibili a quelle ottenute utilizzando impianti più lunghi (grafici 1, 2, 3); quando si tratta di riabilitazioni estese che prevedono l’uso di più impianti splintati le rispettive percentuali di successo si avvicinano ulteriormente. I dati illustrati derivano dall’analisi di un campione di 1253 impianti Exacone®* inseriti dal nostro gruppo di lavoro con follow-up variabile da 6 mesi a tre anni.
- Grafico 1 – Impianti inseriti per lunghezza
- Grafico 2 – Sopravvivenza totale
- Grafico 3 – Sopravvivenza per lunghezze
Caso 1
A titolo esemplificativo si illustra un caso di riabilitazione nel secondo quadrante; la radiografia iniziale dimostra quantità ossee ridotte ma comunque compatibili con l’inserimento di 3 impianti rispettivamente di 10, 8, 8 mm nelle zone 24, 26, 27, cui è seguito l’allestimento di un ponte di 4 elementi in metallo-ceramica (figg. 1-17).
- Fig. 1 – Opt iniziale: necessità di estrazione dei 25, 28
- Fig. 2 – Situazione clinica dopo le estrazioni
- Fig. 3 – Preparazione dei siti implantari
- Figg. 4-5-6 – Uso degli osteotomi per il mini-rialzo del seno mascellare
- Fig. 5
- Fig. 6
- Figg. 7-8-9 – Inserimento degli impianti
- Fig. 8
- Fig. 9
- Fig. 10 – Impronta con transfer
- Fig. 11 – Impronta con analoghi posizionati sopra i transfer
- Figg. 12-13 – Manufatto pronto per la consegna
- Fig. 13
- Fig. 14 – Tessuti molli al momento della consegna del manufatto
- Fig. 15 – Monconi inseriti
- Figg. 16-17 – Consegna del manufatto
- Fig. 17
Realizzazioni protesiche: Laboratorio Odontotecnico Wilocs – Roma
Caso 2
Nel caso di riabilitazioni singole le variabili biologiche (quantità e qualità ossea) ed occlusali dello specifico caso determineranno la scelta dell’utilizzo di impianti corti o di procedure volte ad aumentare la quantità di osso disponibile per non incorrere in insuccessi, a volte anche tardivi, legati spesso ad errata programmazione e riabilitazione del caso. Il caso esemplificativo (figg. 18-29) di seguito riportato dimostra come volersi spingere troppo nell’utilizzo degli impianti corti, soprattutto in caso di edentulia singola, possa portare ad un fallimento anche tardivo della terapia. Nel caso riportato il posizionamento implantare è stato effettuato in condizioni non ideali; l’intervento ha previsto, infatti, il mini rialzo del pavimento del seno mascellare utilizzando una quantità di osso disponibile scarso sia dal punto di vista qualitativo che quantitativo (circa 4 mm di osso di qualità 3-4).
- Fig. 18 – Endorale iniziale, si noti la scarsità di osso residuo
- Figg. 19-20 – Situazione clinica iniziale
- Fig. 20
- Fig. 21 – Apertura del lembo
- Fig. 22 – Mini rialzo del seno mascellare
- Fig. 23 – Inserimento dell’impianto diametro 4,1 x 8 mm
- Fig. 24 – Impianto inserito
- Fig. 25 – Impianto con tappo di chiusura
- Figg. 26-27 – Inserimento del moncone protesico piattaforma slim
- Fig. 27
- Fig. 28 – Consegna della corona metallo-ceramica
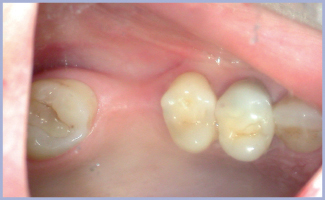
- Fig. 29 – Fallimento tardivo: 1 anno dopo il carico
Realizzazioni protesiche: Laboratorio Odontotecnico Peducci e Monni – Perugia
Bibliografia
1. Renouard F, Nisand D, Short implants in the severely resorbed maxilla: a 2-year retrospective clinical study, Clin Implant Dent Relat Res, 2005; 7(Suppl.1):S104-10
2. Feldman S, Boitel N, Weng D, Kohles SS, Stach RM, Five-year survival distribution of short-length (10mm or less) machined-surfaced and Osseotite implants, Clin Implant Dent Relat Res, 2004; 6(1):16-23
3. Hagi D, Deporter DA, Pilliar RM, Arenovich T, A targeted review of study outcomes with short (< or = 7mm) endosseous dental implants placed in partially edentulous patients, J Periodontol, 2004 Jun; 75(6):798-804
4. Griffin TJ, Cheung WS, The use of short, wide implants in posterior areas with reduced bone height: a retrospective investigation, J Prosthet Dent, 2004 Aug; 92(2):139-44
5. Pierrisnard L, Renouard F, Renault P, Barquins M, Influence of implant length and bicortical anchorage on implant stress distribution, Clin Implant Dent Relat Res, 2003; 5(4):254-62
6. Nedir R, Bischof M, Briaux JM, Beyer S, Szmukler-Moncler S, Bernard JP, A 7-year life table analysis from a prospective study on ITI implants with special emphasis on the use of short implants. Results from a private practice, Clin Oral Implants Res, 2004 Apr; 15(2):150-7
7. Tawil G, Younan R, Clinical evaluation of short, machined-surface implants followed for 12 to 92 months, Int J Oral Maxillofac Implants, 2003 Nov-Dec; 18(6):894-901
8. Friberg B, Grondahl K, Lekholm U, Bränemark PI, Long-term follow-up of severely atrophic edentulous mandibles reconstructed with short Bränemark implants, Clin Implant Dent Relat Res, 2000; 2(4):184-9
9. Misch CE, Short dental implants: a literature review and rationale for use, Dent Today, 2005 Aug; 24(8):64-6, 68.
































