Autore: Dott. Roberto Meli
Ho conosciuto gli impianti Morse Taper nel 1991, quando da studente partecipai ad una Lecture del Dr. Shepherd, allora referente principale dell’azienda produttrice dei primi impianti dentali Morse Taper al mondo, gli impianti Bicon. Ricordo perfettamente che lasciai quell’aula universitaria con un progetto: se mai avessi messo impianti nella mia vita, sarebbero stati impianti Morse Taper!
Da quel tempo non ho mai smesso di avere dubbi, di fare domande, di tentare di evolvere, cercando di imparare dai miei sbagli, frequentando corsi, insegnando agli altri, partecipando ad eventi nazionali ed internazionali, per ampliare le mie vedute, mettere in discussione le mie convinzioni del momento e combattere i miei pregiudizi.
Negli ultimi dieci anni il “nuovo” ha rivoluzionato ogni singolo aspetto della mia realtà professionale: dai protocolli clinici ai materiali, dalla comunicazione al marketing. Oggi non c’è più niente che sia rimasto invariato: niente … tranne il Morse Taper, che ancora oggi rimane la mia Vision implantare.
Dal 2003 gli impianti Leone sono i miei affidabili impianti che hanno assecondato l’evoluzione e da sempre mi permettono di fare promesse alle persone che mi affidano il recupero del sorriso, loro bene inestimabile, e di mantenere sempre quelle promesse.
Il caso che desidero condividere esprime perfettamente tutte queste considerazioni.
Nel 2006, 12 anni fa, conobbi Tommaso, allora 33enne, per un fastidio localizzato all’arcata inferiore; il motivo risultò essere la frattura della radice distale del 36, precedentemente devitalizzato e protesizzato. Vista l’età, le condizioni generali della bocca e lo stato di salute della radice mesiale, trovai opportuno proporre e mettere in atto il seguente piano terapeutico:
– rizectomia del 36 con estrazione della radice distale, lasciando la corona preesistente opportunamente modificata con composito come provvisorio (Figg. 1, 2);
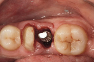
– a tre mesi, impianto nel sito dell’estrazione, tecnica monofase con tappo di guarigione modificato in composito per il condizionamento della mucosa, nuovo provvisorio in forma di premolare sulla radice rizectomizzata (Figg. 3-8);
– dopo tre mesi di guarigione, due corone metallo ceramica, una su impianto e una sulla radice mesiale del 36 (Figg. 9-17).
Oggi alcune di queste scelte mi lascerebbero quantomeno perplesso!
La rizectomia è una pratica che nel tempo mi ha dato soddisfazione anche se nei siti estrattivi dei molari inferiori ho notato negli anni un forte riassorbimento crestale, soprattutto quando non è stato ripristinato l’elemento perso; se le radici sono grandi e ben distanziate la probabilità di successo è maggiore. In definitiva, in questo paziente la rizectomia è una delle possibilità che anche oggi terrei in considerazione, se non altro per la invasività ridotta rispetto alle altre soluzioni.
La prima opzione che sicuramente cambierei è la tecnica di inserimento dell’impianto.
Ripensando alle perfette condizioni dell’alveolo post-estrattivo in quell’occasione, con l’esperienza maturata oggi avrei inserito l’impianto nella stessa seduta.
L’impianto post-estrattivo nel dente singolo si è rivelato nella mia pratica estremamente congeniale agli impianti Morse Taper per più motivi:
– l’effetto “One Piece” che si concretizza fra impianto e moncone è un reale gap inattivo che rende la giunzione invisibile ai tessuti perimplantari eliminando di fatto ogni preoccupazione relativa al posizionamento del collo implantare rispetto alla cresta ossea: l’unica variabile sensibile rimane la stabilità primaria, specialmente in caso di carico immediato;
– quando le condizioni iniziali dei tessuti sia molli che duri sono adeguate, questa scelta si rivela vincente: l’intervento complessivo risulta minimamente invasivo, i tessuti molli mantengono i volumi pre-estrattivi a tutto vantaggio dell’estetica naturale del nostro restauro;
– oggi la possibilità di utilizzare un moncone provvisorio in PEEK rende l’intervento semplice e al tempo stesso sicuro, con una ottimizzazione dei tempi e del valore stesso della prestazione: il paziente riceve subito una soluzione estetica gratificante!
La scelta di utilizzare un tappo di guarigione modificato (Fig. 5) in questo caso rappresenta una anticipazione di questa realtà oggi consolidata.
Un altro aspetto che sicuramente oggi cambierei riguarda la scelta del protocollo e del materiale protesico.
La rivoluzione digitale ha letteralmente sconvolto le mie certezze di un tempo.
Soltanto dieci anni fa nel caso pur semplice in oggetto la procedura protesica era la seguente:
– preparazione del dente naturale con filo retrattore, margine protesico sotto gengiva, provvisorio;
– a venti-trenta giorni, dopo rivalutazione, impronta tradizionale con polietere del dente e del transfer;
– prova del moncone e della struttura metallica (fitting);
– prova biscotto, valutazione dei punti di contatto, occlusione e colore;
– consegna.
Oggi lo stesso caso lo affronto con un protocollo molto più snello:
– preparazione del dente naturale a filo mucosa, impronta tradizionale contestuale;
– progetto digitale da scannerizzazione dei modelli in laboratorio, realizzazione dei manufatti in materiale monolitico, disilicato o zirconia sul dente naturale, zirconia sull’impianto. Questa scelta è dettata dalla capacità della zirconia di mascherare completamente il metallo del moncone;
– seduta di prova/consegna: i manufatti arrivano finiti, se tutte le prove relative a occlusione, punti di contatto, estetica risultano soddisfacenti, dopo la cementazione extra-orale della corona sul moncone implantare e la cementazione al dente naturale la protesi implantare viene inconata.
Ho seguito il paziente fino ad oggi. Tommaso è molto abile nell’igiene domiciliare, si presenta con puntualità ai richiami di igiene professionale, non fuma.
Al primo follow-up, a due anni, la mucosa attorno ai restauri si presentava migliorata rispetto alla partenza (Fig. 18).
Negli anni successivi il monitoraggio è stato costante.
A 4 anni il restauro implantoprotesico appare invariato, mentre lo spazio interprossimale fra dente e impianto risulta lievemente allargato (Figg. 19, 20).
A 10 anni la radice del dente naturale risulta leggermente esposta, mentre ancora una volta il restauro implantoprotesico è invariato (Fig. 21).
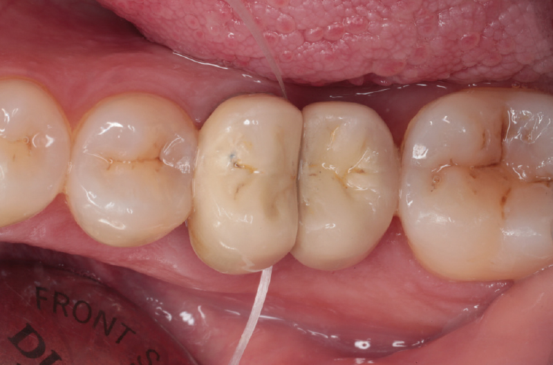
Nell’ultimo controllo, a 12 anni, marzo 2018, la OPT e l’immagine clinica mostrano un’ulteriore evoluzione:
– la mucosa del dente naturale mostra una retrazione leggermente più marcata;
– lo spazio interprossimale dente-impianto è francamente allargato;
– il restauro implantoprotesico ancora si presenta inalterato (Figg. 22, 23).
In aprile 2018, per chiudere lo spazio interprossimale dente-impianto, si rimuove la protesi su impianto, cementata all’epoca con TempBond, si mordenzano le pareti interprossimali della ceramica con acido fluoridrico e si ripristina il punto di contatto con composito (Figg. 24, 25).
Conclusioni
Gli impianti e i denti sono entità completamente diverse.
Nel caso di Tommaso, le condizioni di partenza dipendenti dal paziente erano le stesse, ma nel tempo il dente e l’impianto hanno subito una diversa evoluzione.
Dente: la protesi, il biotipo parodontale piuttosto sottile e la nuova configurazione anatomica hanno favorito nel tempo la leggera ma significativa perdita di attacco parodontale; la tendenza dei denti naturali alla mesializzazione probabilmente ha generato l’allargamento dello spazio interprossimale.
Impianto: il condizionamento di partenza della mucosa perimplantare insieme all’eccellente controllo di placca del paziente e la cura dell’igiene sono la chiave di lettura di questo ottimo risultato a 12 anni.
I tessuti così ben rappresentati, la scelta di un impianto di diametro adeguato agli spazi disponibili, l’effetto “One Piece” degli impianti Morse Taper completano le ragioni di una salute ineccepibile.
Diverso sarebbe il caso se l’impianto fosse stato sovradimensionato, i tessuti molli non fossero stati preparati accuratamente, la giunzione impianto moncone avesse generato un gap attivo, veicolo di batteri.
La monofase si è rivelata anche in questo caso una tecnica dotata di grandi vantaggi a zero rischi: il tappo di guarigione modificato ha in pratica permesso di ottenere tessuti perfettamente maturi al momento della protesizzazione, senza incorrere nei rischi legati ad un impianto post-estrattivo in una zona posteriore, lasciando una facilità di pulizia migliore in un sito per certi versi atipico, stretto e di difficile accesso.
Tutti i denti sono a rischio parodontite, tutti gli impianti sono a rischio perimplantite.
Un dente parodontopatico grazie alla presenza del parodonto avrà sempre una banda di gengiva aderente rappresentata a 360° che ne prolungherà la permanenza in bocca.
Un impianto non correrà rischi finché l’ampiezza biologica rimane ben espressa e i tessuti perimplantari sigillano l’interfaccia con il cavo orale.
In nessun caso un impianto può sopportare la presenza di batteri all’interno del solco gengivale. Se lasciato in preda alla mucosite, i batteri colonizzano la superficie implantare, un ambiente trattato per assecondare e mantenere l’osteointegrazione ma che purtroppo diventa un’ottima nicchia ecologica: l’instaurarsi di una perimplantite è molto probabile e la perdita irrimediabile dell’impianto ad oggi quasi certa.
Le soluzioni sono:
– assicurare in fase progettuale e chirurgica il corretto rapporto impianto-tessuti di sostegno:
lo slogan “+ osso – titanio” esprime perfettamente questo concetto;
– assicurare la corretta rappresentazione dell’ampiezza biologica: una adeguata banda di gengiva aderente intorno ai nostri impianti è essenziale per il mantenimento a lungo termine. Il platform switching rappresenta in questo senso un elemento strutturale di grande aiuto;
– evitare la presenza di un gap attivo dinamico all’interno del solco: se la giunzione impianto-moncone è posizionata pari o sotto cresta deve necessariamente essere inerte, scongiurare micro-movimenti e non veicolare batteri. L’effetto “One Piece” degli impianti Morse Taper mi conferma anno dopo anno questa semplice quanto indispensabile condizione;
– controllare e mantenere la perfetta igiene.
L’effetto “One Piece” facilita soprattutto due aspetti:
– in fase realizzativa permette di evitare manovre chirurgiche di innesto di tessuti duri e molli: poter scegliere la quota di posizionamento rispetto alla cresta ossea semplifica le procedure senza esporre a rischi;
– nel tempo contribuisce a mantenere estremamente stabili i risultati ottenuti.
Come espresso nel titolo, “lunga vita senza vite per gli impianti Morse Taper”.
Realizzazioni protesiche: Laboratorio Dental Giglio – Firenze

























