Autori:Â Dott. Davide Montisci, Dott. Giacomo Coppola, Dott. Massimiliano Ciaravolo, Dott. Nazario Russo
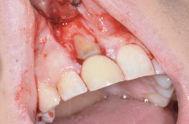
È giunta alla nostra osservazione, presso il Reparto d’Implantologia dell’Università degli Studi di Cagliari, una paziente di 25 anni lamentando dolore e ripetuti episodi di gonfiore in regione 11. All’esame obiettivo si nota la presenza di una corona sull’elemento in questione, arrossamento e tumefazione della gengiva libera (Fig. 1).
La Rx endorale non fornisce elementi utili per formulare una diagnosi (Fig. 2); decidiamo, a questo punto, di eseguire un lembo ispettivo, praticando un’incisione a spessore parziale intrasulculare da 13 a 21 senza tagli di rilascio (Fig. 3).
Notata la presenza di tessuto connettivo infiammatorio, che ha provocato la perdita d’attacco epiteliale, decidiamo di eseguire un curettage a cielo aperto della regione (Fig. 4). Dopo aver allestito un provvisorio, che va a sostituire la corona che avevamo precedentemente tagliato e che riproduce il principio del platform switching (Fig. 5), eseguiamo una sutura a punti staccati, a livello delle papille (Fig. 6).
A distanza di sei mesi la paziente riferisce che la situazione parodontale è migliorata, ma non la sintomatologia dolorosa (Fig. 7). Decidiamo di eseguire un esame CBCT della regione (Fig. 8); analizzando le assiali da 59 a 64 notiamo una grossa lesione periapicale dell’11 con presenza di materiale da otturazione canalare oltre apice e perdita di tessuto osseo che interessa anche la parete vestibolare.
Decidiamo di estrarre l’elemento dentario e di inserire contestualmente un impianto. Eseguiamo un lembo rettangolare, a spessore totale, che non coinvolge le papille interdentali e che si estende fino al fornice. Dopo aver scollato verifichiamo che non è presente tessuto infiammatorio (Fig. 9), ma notiamo la presenza di una frattura vestibolare verticale della radice (Fig. 10), che si apprezza maggiormente dopo aver tolto il perno moncone in fibra (Fig. 11), insieme alla frattura anche della parete palatale (Fig. 12).
Dopo aver estratto i due monconi di radice (Fig. 13), eseguiamo una revisione chirurgica dell’alveolo, eliminando il tessuto di granulazione e il materiale da otturazione canalare finito oltre apice, apprezzando la fenestrazione vestibolare e la presenza di un sottile cercine di corticale vestibolare integro (Figg. 14, 15).
Utilizziamo la fresa a lancia per creare un invito più palatale, ad un paio di millimetri più coronali rispetto all’apice della radice (Fig. 16) e, in successione, l’elicoidale da 2,2 e da 2,8 (Figg. 17, 18) montate su prolunga.
Durante il passaggio delle frese abbiamo avuto la percezione di un osso di bassa densità , per cui decidiamo di utilizzare un compattatore come ultimo passaggio per creare il sito implantare, fino ad una profondità di 16 mm palatale e di circa 9 mm vestibolare (Fig. 19). A questo punto posizioniamo un impianto Exacone 4,1 x 14 mm con il contrangolo (Figg. 20, 21), fino a percepire una certa resistenza dovuta all’elevato torque d’inserimento per poi completarne l’avvitamento con il cricchetto (Figg. 22, 23).
Dopo aver posizionato il tappo di chiusura (Figg. 24, 25), utilizziamo granuli di MBCP+ (Fig. 26) per colmare il grosso deficit vestibolare e il gap presente tra impianto e alveolo naturale, facendo attenzione a riempire anche la fenestrazione presente a livello del terzo apicale (Fig. 27). Completiamo la fase di rigenerazione utilizzando una membrana riassorbibile EZ Cure, a totale copertura del sito (Figg. 28, 29) e suturiamo (Fig. 30); la radiografia endorale di controllo conferma il corretto riempimento (Fig. 31).
A distanza di quattro mesi pratichiamo un’ortopantomografia che mostra un ottimo livello di cresta ossea, senza segni di riassorbimento (Fig. 32). Dopo altri tre mesi procediamo alla scopertura dell’impianto eseguendo un’incisione in cresta più palatale rispetto all’emergenza implantare, per recuperare altra gengiva aderente (Figg. 33, 34) e scolliamo delicatamente sulla parete vestibolare, dove sono visibili ancora granuli (Fig. 35); posizionato il tappo di guarigione (Figg. 36, 37), suturiamo e applichiamo un provvisorio che solidarizziamo con i denti contigui (Figg. 38, 39).
A distanza di dieci giorni togliamo il tappo di guarigione, notando una buona maturazione dei tessuti (Figg. 40, 41) e prendiamo l’impronta con tecnica sandwich (Figg. 42, 43).
Facciamo fresare un moncone in titanio, dal Laboratorio Odontotecnico, che allestisce anche un provvisorio in resina che modifichiamo nel profilo, utilizzando del composito flow (Figg. 44, 45).
Inseriamo il manufatto protesico, dopo aver cementato extraoralmente il provvisorio sul moncone (Fig. 46).
A distanza di quindici giorni, crediamo che il provvisorio abbia condizionato a sufficienza i tessuti (Figg. 47, 48), per cui passiamo alla fase di finalizzazione facendo confezionare dal Laboratorio Odontotecnico una struttura in zirconia che, dopo la prova (Fig. 49) e la scelta del colore (Fig. 50), viene rivestita in ceramica e consegnata alla paziente, ottenendo un buon risultato estetico (Figg. 51, 52).
Il controllo clinico a distanza di 2 anni (Figg. 53-55) dalla consegna della corona definitiva mostra un risultato estetico ottimale: i tessuti perimplantari sono sani e stabili e le papille interprossimali sono state mantenute.
Il controllo radiografico a 2 anni (Fig. 56) rivela un eccellente mantenimento dei livelli ossei perimplantari.
Realizzazioni protesiche: Odt. Vincenzo Mutone, Varcaturo (NA)
























































